Tested Applications
| Positive WB detected in | HT-29 cells, HuH-7 cells, HeLa cells |
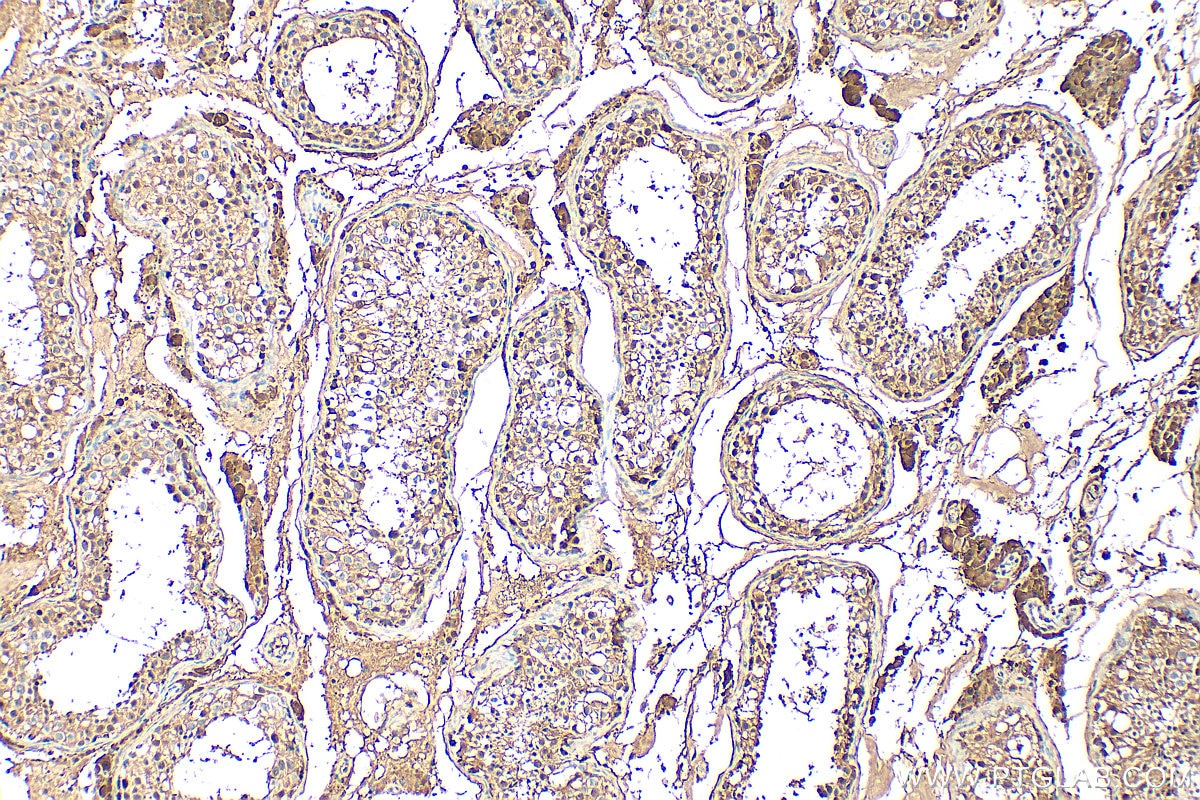
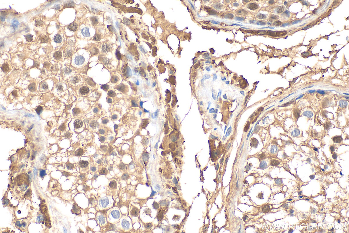
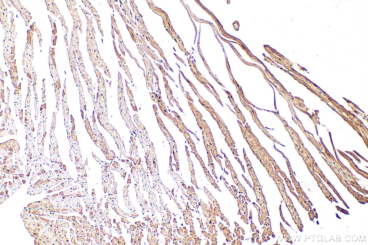
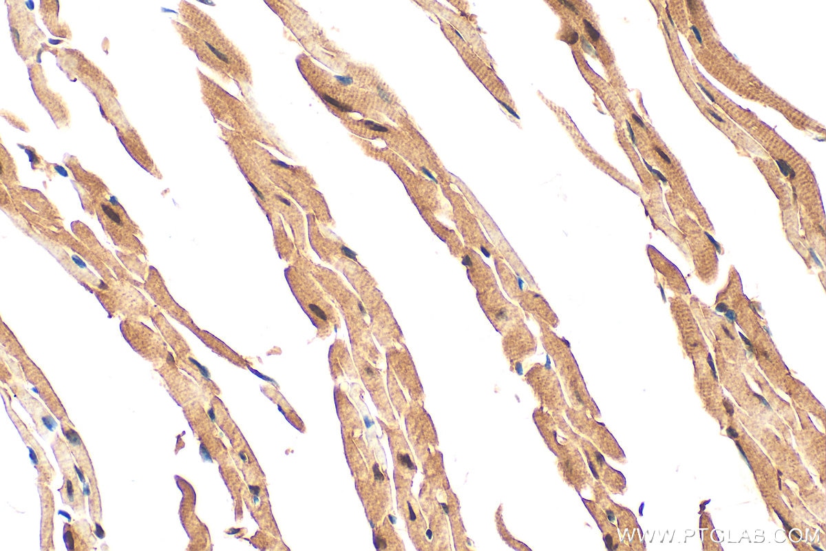
| Positive IHC detected in | human testis tissue, mouse heart tissue Note: suggested antigen retrieval with TE buffer pH 9.0; (*) Alternatively, antigen retrieval may be performed with citrate buffer pH 6.0 |
| Positive IF/ICC detected in | HeLa cells |
Recommended dilution
| Application | Dilution |
|---|---|
| Western Blot (WB) | WB : 1:500-1:2000 |
| Immunohistochemistry (IHC) | IHC : 1:200-1:800 |
| Immunofluorescence (IF)/ICC | IF/ICC : 1:50-1:500 |
| It is recommended that this reagent should be titrated in each testing system to obtain optimal results. | |
| Sample-dependent, Check data in validation data gallery. | |
Published Applications
| WB | See 2 publications below |
Product Information
12394-1-AP targets UNG in WB, IHC, IF/ICC, ELISA applications and shows reactivity with human, mouse, rat samples.
| Tested Reactivity | human, mouse, rat |
| Cited Reactivity | human |
| Host / Isotype | Rabbit / IgG |
| Class | Polyclonal |
| Type | Antibody |
| Immunogen |
CatNo: Ag3072 Product name: Recombinant human UNG protein Source: e coli.-derived, PGEX-4T Tag: GST Domain: 1-304 aa of BC015205 Sequence: MGVFCLGPWGLGRKLRTPGKGPLQLLSRLCGDHLQAIPAKKAPAGQEEPGTPPSSPLSAEQLDRIQRNKAAALLRLAARNVPVGFGESWKKHLSGEFGKPYFIKLMGFVAEERKHYTVYPPPHQVFTWTQMCDIKDVKVVILGQDPYHGPNQAHGLCFSVQRPVPPPPSLENIYKELSTDIEDFVHPGHGDLSGWAKQGVLLLNAVLTVRAHQANSHKERGWEQFTDAVVSWLNQNSNGLVFLLWGSYAQKKGSAIDRKRHHVLQTAHPSPLSVYRGFFGCRHFSKTNELLQKSGKKPIDWKEL Predict reactive species |
| Full Name | uracil-DNA glycosylase |
| Calculated Molecular Weight | 304 aa, 34 kDa |
| Observed Molecular Weight | 28 kDa, 34-40 kDa |
| GenBank Accession Number | BC015205 |
| Gene Symbol | UNG |
| Gene ID (NCBI) | 7374 |
| RRID | AB_10734597 |
| Conjugate | Unconjugated |
| Form | Liquid |
| Purification Method | Antigen affinity purification |
| UNIPROT ID | P13051 |
| Storage Buffer | PBS with 0.02% sodium azide and 50% glycerol, pH 7.3. |
| Storage Conditions | Store at -20°C. Stable for one year after shipment. Aliquoting is unnecessary for -20oC storage. 20ul sizes contain 0.1% BSA. |
Background Information
UNG(Uracil-DNA glycosylase) removes uracil in DNA resulting from deamination of cytosine or replicative incorporation of dUMP instead of dTMP. Thus, UNG plays a role in suppressing GC-to-AT transition mutations.The UNG gene encodes 2 isoforms that are individually targeted to the mitochondria and the nucleus(PMID:12369930). Defects in UNG are a cause of immunodeficiency with hyper-IgM type 5 (HIGM5).
Protocols
| Product Specific Protocols | |
|---|---|
| IF protocol for UNG antibody 12394-1-AP | Download protocol |
| IHC protocol for UNG antibody 12394-1-AP | Download protocol |
| WB protocol for UNG antibody 12394-1-AP | Download protocol |
| Standard Protocols | |
|---|---|
| Click here to view our Standard Protocols |
Publications
| Species | Application | Title |
|---|---|---|
Mol Cell Uracil processing by SMUG1 in the absence of UNG triggers homologous recombination and selectively kills BRCA1/2-deficient tumors | ||
Dev Cell Fam72a functions as a cell-cycle-controlled gene during proliferation and antagonizes apoptosis through reprogramming PP2A substrates |













