Tested Applications
| Positive WB detected in | mouse brain tissue |
| Positive IP detected in | HEK-293 cells |
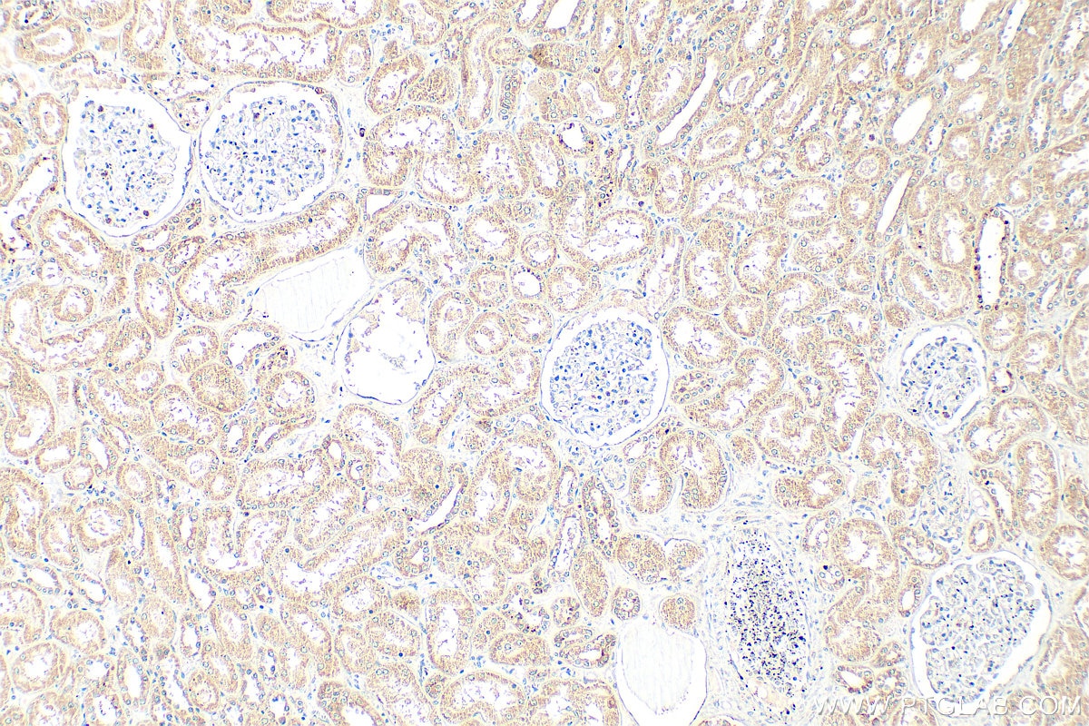
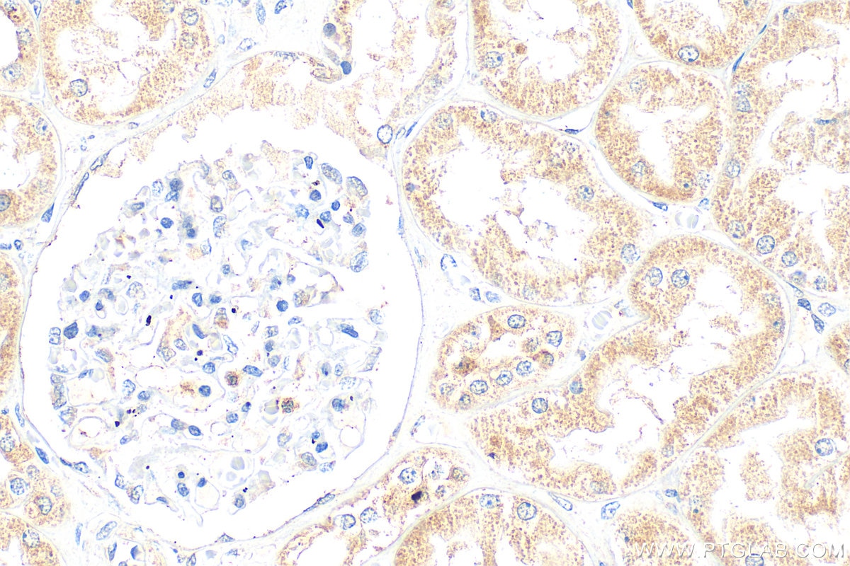
| Positive IHC detected in | human kidney tissue, human testis tissue Note: suggested antigen retrieval with TE buffer pH 9.0; (*) Alternatively, antigen retrieval may be performed with citrate buffer pH 6.0 |
| Positive IF/ICC detected in | HEK-293 cells |
Recommended dilution
| Application | Dilution |
|---|---|
| Western Blot (WB) | WB : 1:1000-1:6000 |
| Immunoprecipitation (IP) | IP : 0.5-4.0 ug for 1.0-3.0 mg of total protein lysate |
| Immunohistochemistry (IHC) | IHC : 1:200-1:800 |
| Immunofluorescence (IF)/ICC | IF/ICC : 1:20-1:200 |
| It is recommended that this reagent should be titrated in each testing system to obtain optimal results. | |
| Sample-dependent, Check data in validation data gallery. | |
Published Applications
| WB | See 2 publications below |
Product Information
24750-1-AP targets WWC2 in WB, IHC, IF/ICC, IP, ELISA applications and shows reactivity with human, mouse samples.
| Tested Reactivity | human, mouse |
| Cited Reactivity | human, mouse |
| Host / Isotype | Rabbit / IgG |
| Class | Polyclonal |
| Type | Antibody |
| Immunogen |
CatNo: Ag20479 Product name: Recombinant human WWC2 protein Source: e coli.-derived, PET28a Tag: 6*His Domain: 1080-1165 aa of BC017957 Sequence: QSRLNDELQALRDLRQKLEELKAQGETDLPPGVLEDERFQRLLKQAEKQAEQSKEEQKQGLNAEKLMRQVSKDVCRLREQSQKVPR Predict reactive species |
| Full Name | WW and C2 domain containing 2 |
| Calculated Molecular Weight | 1192 aa, 134 kDa |
| Observed Molecular Weight | 150 kDa |
| GenBank Accession Number | BC017957 |
| Gene Symbol | WWC2 |
| Gene ID (NCBI) | 80014 |
| RRID | AB_2879704 |
| Conjugate | Unconjugated |
| Form | Liquid |
| Purification Method | Antigen affinity purification |
| UNIPROT ID | Q6AWC2 |
| Storage Buffer | PBS with 0.02% sodium azide and 50% glycerol, pH 7.3. |
| Storage Conditions | Store at -20°C. Stable for one year after shipment. Aliquoting is unnecessary for -20oC storage. 20ul sizes contain 0.1% BSA. |
Background Information
WWC2 alson named as BOMB or WW and C2 domain containing 2 is 1192 amino acid protein, which contains 1 C2 domain and 2 WW domains. WWC2 localizes in cytoplasm and belongs to the WWC family. , WWC2 exists as seven alternatively spliced isoforms and is encoded by a gene located on human chromosome 4q35.1. WWC2 may be expressed in liver, brain, prostate and kidney. The function of WWC2 is still non-known and need to be further studied.
Protocols
| Product Specific Protocols | |
|---|---|
| IF protocol for WWC2 antibody 24750-1-AP | Download protocol |
| IHC protocol for WWC2 antibody 24750-1-AP | Download protocol |
| IP protocol for WWC2 antibody 24750-1-AP | Download protocol |
| WB protocol for WWC2 antibody 24750-1-AP | Download protocol |
| Standard Protocols | |
|---|---|
| Click here to view our Standard Protocols |
Publications
| Species | Application | Title |
|---|---|---|
Nucleic Acids Res TEAD1 regulates cell proliferation through a pocket-independent transcription repression mechanism | ||
Cell Signal An integrative pan-cancer analysis of WWC family genes and functional validation in lung cancer |

















