Tested Applications
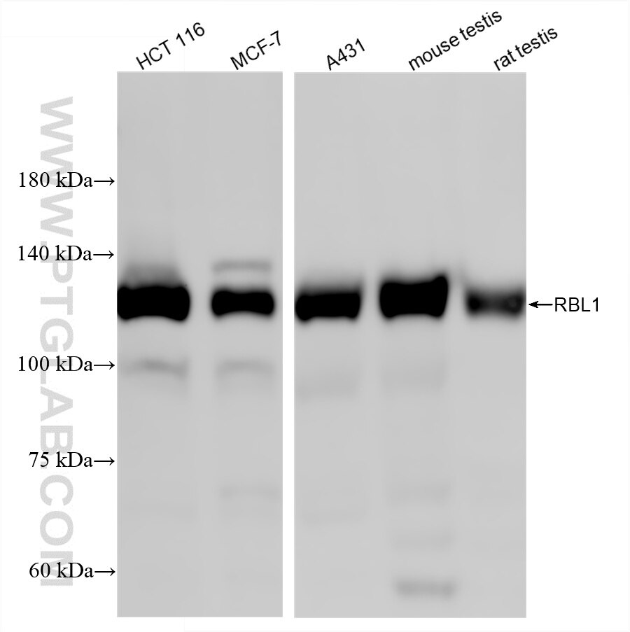
| Positive WB detected in | HCT 116 cells, MCF-7 cells, A431 cells, mouse testis tissue, rat testis tissue |
| Positive IP detected in | MCF-7 cells |
Recommended dilution
| Application | Dilution |
|---|---|
| Western Blot (WB) | WB : 1:1000-1:4000 |
| Immunoprecipitation (IP) | IP : 0.5-4.0 ug for 1.0-3.0 mg of total protein lysate |
| It is recommended that this reagent should be titrated in each testing system to obtain optimal results. | |
| Sample-dependent, Check data in validation data gallery. | |
Product Information
87119-3-RR targets p107 in WB, IP, ELISA applications and shows reactivity with human, mouse, rat samples.
| Tested Reactivity | human, mouse, rat |
| Host / Isotype | Rabbit / IgG |
| Class | Recombinant |
| Type | Antibody |
| Immunogen |
CatNo: Ag4146 Product name: Recombinant human RBL1 protein Source: e coli.-derived, PGEX-4T Tag: GST Domain: 1-351 aa of BC032247 Sequence: MFEDKPHAEGAAVVAAAGEALQALCQELNLDEGSAAEALDDFTAIRGNYSLEGEVTHWLACSLYVACRKSIIPTVGKGIMEGNCVSLTRILRSAKLSLIQFFSKMKKWMDMSNLPQEFRERIERLERNFEVSTVIFKKYEPIFLDIFQNPYEEPPKLPRSRKQRRIPCSVKDLFNFCWTLFVYTKGNFRMIGDDLVNSYHLLLCCLDLIFANAIMCPNRQDLLNPSFKGLPSDFHTADFTASEEPPCIIAVLCELHDGLLVEAKGIKEHYFKPYISKLFDRKILKGECLLDLSSFTDNSKAVNKEYEEYVLTVGDFDERIFLGADAEEEIGTPRKFTRDTPLGKLTAQANV Predict reactive species |
| Full Name | retinoblastoma-like 1 (p107) |
| Calculated Molecular Weight | 1068 aa, 119 kDa |
| Observed Molecular Weight | 119 kDa |
| GenBank Accession Number | BC032247 |
| Gene Symbol | p107 |
| Gene ID (NCBI) | 5933 |
| Conjugate | Unconjugated |
| Form | Liquid |
| Purification Method | Protein A purification |
| UNIPROT ID | P28749 |
| Storage Buffer | PBS with 0.02% sodium azide and 50% glycerol, pH 7.3. |
| Storage Conditions | Store at -20°C. Stable for one year after shipment. Aliquoting is unnecessary for -20oC storage. 20ul sizes contain 0.1% BSA. |
Background Information
Retinoblastoma-like protein 1, also named RBL1, p107, is a member of E1A-binding proteins, which contains a A/B pocket, or pRb. Via this structure, RBL1 can bind to viral oncoproteins and other perteins containing LXCXE motif. It regulates cell proliferation via phosphorylation-sensitive interactions with E2F transcription factors and other proteins. Key regulator of entry into cell division. Directly involved in heterochromatin formation by maintaining overall chromatin structure and, in particular, that of constitutive heterochromatin by stabilizing histone methylation. Recruits and targets histone methyltransferases SUV420H1 and SUV420H2, leading to epigenetic transcriptional repression.(uniprot). It has been reported there are two transcirpts variants of RBL1, which encode a 119-kd protein and a 68-kd protein(PMID:7490090).
Protocols
| Product Specific Protocols | |
|---|---|
| IP protocol for p107 antibody 87119-3-RR | Download protocol |
| WB protocol for p107 antibody 87119-3-RR | Download protocol |
| Standard Protocols | |
|---|---|
| Click here to view our Standard Protocols |





