Tested Applications
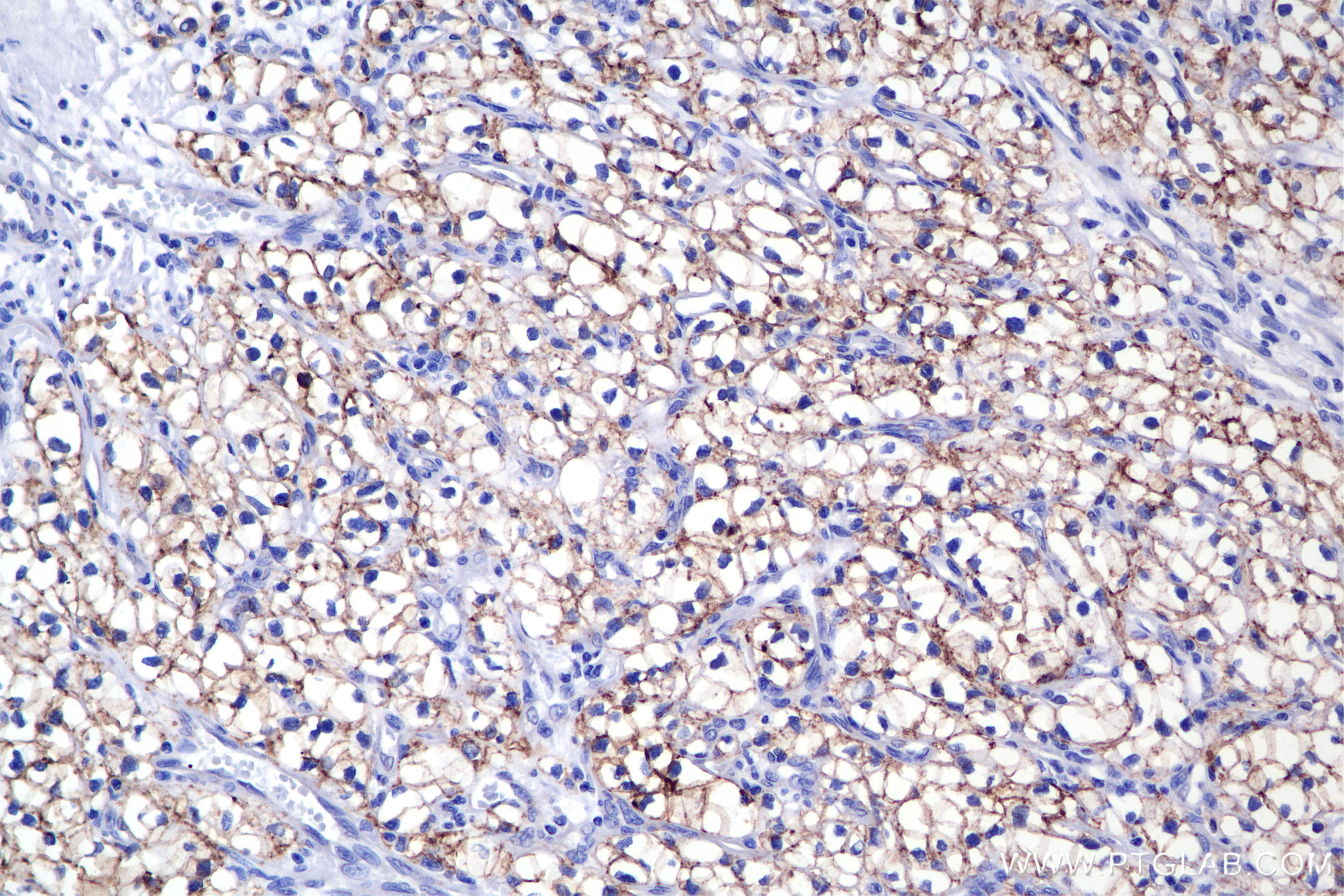
| Positive IHC detected in | mouse stomach tissue, Human Kidney(renal cell) Cancer Note: suggested antigen retrieval with TE buffer pH 9.0; (*) Alternatively, antigen retrieval may be performed with citrate buffer pH 6.0 |
Recommended dilution
| Application | Dilution |
|---|---|
| Immunohistochemistry (IHC) | IHC : 1:1000-1:4000 |
| It is recommended that this reagent should be titrated in each testing system to obtain optimal results. | |
| Sample-dependent, Check data in validation data gallery. | |
Product Information
84233-1-RR targets Carbonic Anhydrase IX/CA9 in IHC, ELISA applications and shows reactivity with human, mouse samples.
| Tested Reactivity | human, mouse |
| Host / Isotype | Rabbit / IgG |
| Class | Recombinant |
| Type | Antibody |
| Immunogen |
CatNo: Ag36941 Product name: Recombinant human CA9 protein Source: e coli.-derived, PGEX-4T Tag: GST Domain: 32-408 aa of BC014950 Sequence: LMPVHPQRLPRMQEDSPLGGGSSGEDDPLGEEDLPSEEDSPREEDPPGEEDLPGEEDLPGEEDLPEVKPKSEEEGSLKLEDLPTVEAPGDPQEPQNNAHRDKEGDDQSHWRYGGDPPWPRVSPACAGRFQSPVDIRPQLAAFCPALRPLELLGFQLPPLPELRLRNNGHSVQLTLPPGLEMALGPGREYRALQLHLHWGAAGRPGSEHTVEGHRFPAEIHVVHLSTAFARVDEALGRPGGLAVLAAFLEEGPEENSAYEQLLSRLEEIAEEGSETQVPGLDISALLPSDFSRYFQYEGSLTTPPCAQGVIWTVFNQTVMLSAKQLHTLSDTLWGPGDSRLQLNFRATQPLNGRVIEASFPAGVDSSPRAAEPVQLNS Predict reactive species |
| Full Name | carbonic anhydrase IX |
| Calculated Molecular Weight | 459 aa, 50 kDa |
| GenBank Accession Number | BC014950 |
| Gene Symbol | CA9 |
| Gene ID (NCBI) | 768 |
| RRID | AB_3671786 |
| Conjugate | Unconjugated |
| Form | Liquid |
| Purification Method | Protein A purification |
| UNIPROT ID | Q16790 |
| Storage Buffer | PBS with 0.02% sodium azide and 50% glycerol, pH 7.3. |
| Storage Conditions | Store at -20°C. Stable for one year after shipment. Aliquoting is unnecessary for -20oC storage. 20ul sizes contain 0.1% BSA. |
Background Information
CA9 (Carbonic anhydrase 9) may be involved in the control of cell proliferation and transformation and appears to be a novel specific biomarker for a cervical neoplasia (PMID:18703501). It is a tumor-associated antigen that has been shown to have diagnostic utility in identifying cervical dysplasia and carcinoma.The protein is presentboth on the plasma membrane and in the nucleus of cells and has the molecular. (PMID: 31819036).
Protocols
| Product Specific Protocols | |
|---|---|
| IHC protocol for Carbonic Anhydrase IX/CA9 antibody 84233-1-RR | Download protocol |
| Standard Protocols | |
|---|---|
| Click here to view our Standard Protocols |







