Tested Applications
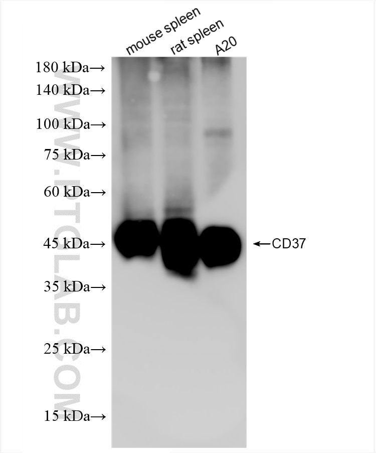
| Positive WB detected in | mouse spleen tissue, rat spleen tissue, A20 cells |
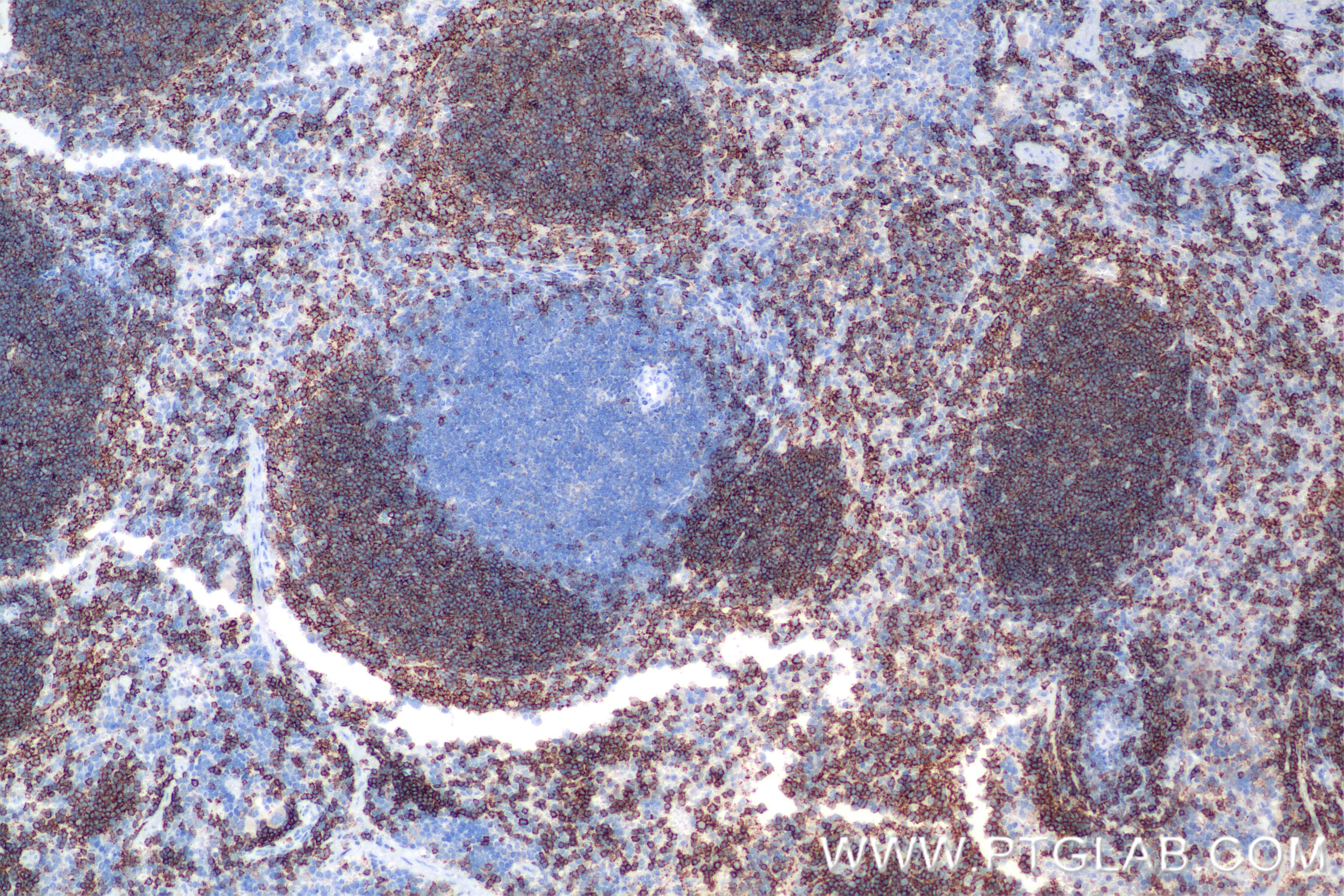
| Positive IHC detected in | mouse spleen tissue Note: suggested antigen retrieval with TE buffer pH 9.0; (*) Alternatively, antigen retrieval may be performed with citrate buffer pH 6.0 |
| Positive IF-P detected in | rat spleen tissue, mouse spleen tissue |
| Positive IF/ICC detected in | A20 cells |
Recommended dilution
| Application | Dilution |
|---|---|
| Western Blot (WB) | WB : 1:1000-1:6000 |
| Immunohistochemistry (IHC) | IHC : 1:250-1:1000 |
| Immunofluorescence (IF)-P | IF-P : 1:50-1:500 |
| Immunofluorescence (IF)/ICC | IF/ICC : 1:250-1:1000 |
| It is recommended that this reagent should be titrated in each testing system to obtain optimal results. | |
| Sample-dependent, Check data in validation data gallery. | |
Product Information
85917-1-RR targets CD37 in WB, IHC, IF/ICC, IF-P, ELISA applications and shows reactivity with mouse, rat samples.
| Tested Reactivity | mouse, rat |
| Host / Isotype | Rabbit / IgG |
| Class | Recombinant |
| Type | Antibody |
| Immunogen |
CatNo: Eg2729 Product name: Recombinant Mouse CD37 protein (rFc Tag) Source: mammalian cells-derived, V37 Tag: C-rFc Domain: 112-241 aa of NM_007645.4 Sequence: RVRLERRVQELVLRTIQSYRTNPDETAAEESWDYAQFQLRCCGWQSPRDWNKAQMLKANESEEPFVPCSCYNSTATNDSTVFDKLFFSQLSRLGPRAKLRQTADICALPAKAHIYREGCAQSLQKWLHNN Predict reactive species |
| Full Name | CD37 antigen |
| Calculated Molecular Weight | 32 kDa |
| Observed Molecular Weight | 45 kDa |
| GenBank Accession Number | NM_007645.4 |
| Gene Symbol | Cd37 |
| Gene ID (NCBI) | 12493 |
| RRID | AB_3744472 |
| Conjugate | Unconjugated |
| Form | Liquid |
| Purification Method | Protein A purification |
| UNIPROT ID | Q61470 |
| Storage Buffer | PBS with 0.02% sodium azide and 50% glycerol, pH 7.3. |
| Storage Conditions | Store at -20°C. Stable for one year after shipment. Aliquoting is unnecessary for -20oC storage. 20ul sizes contain 0.1% BSA. |
Background Information
CD37 is a membrane protein of the tetraspanin superfamily which are characterized by the presence of four conserved transmembrane regions. Many of these members are expressed on leukocytes and have been implicated in signal transduction, cell-cell interactions, and cellular activation and development. CD37 plays a role in B-cell function, and may also play a role in T-cell-B-cell interactions (PMID: 10891477).
Protocols
| Product Specific Protocols | |
|---|---|
| IF protocol for CD37 antibody 85917-1-RR | Download protocol |
| IHC protocol for CD37 antibody 85917-1-RR | Download protocol |
| WB protocol for CD37 antibody 85917-1-RR | Download protocol |
| Standard Protocols | |
|---|---|
| Click here to view our Standard Protocols |











