Tested Applications
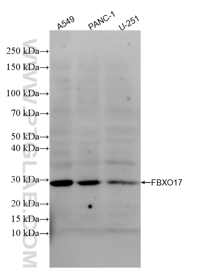
| Positive WB detected in | A549 cells, PANC-1 cells, U-251 cells |
| Positive IHC detected in | human heart tissue Note: suggested antigen retrieval with TE buffer pH 9.0; (*) Alternatively, antigen retrieval may be performed with citrate buffer pH 6.0 |
Recommended dilution
| Application | Dilution |
|---|---|
| Western Blot (WB) | WB : 1:500-1:1000 |
| Immunohistochemistry (IHC) | IHC : 1:250-1:1000 |
| It is recommended that this reagent should be titrated in each testing system to obtain optimal results. | |
| Sample-dependent, Check data in validation data gallery. | |
Product Information
85936-1-RR targets FBXO17 in WB, IHC, ELISA applications and shows reactivity with human samples.
| Tested Reactivity | human |
| Host / Isotype | Rabbit / IgG |
| Class | Recombinant |
| Type | Antibody |
| Immunogen |
CatNo: Ag3867 Product name: Recombinant human FBXO17 protein Source: e coli.-derived, T-HIS Tag: 6*His Domain: 1-278 aa of BC012385 Sequence: MGARLSRRRLPADPSLALDALPPELLVQVLSHVPPRSLVTRCRPVCRAWRDIVDGPTVWLLQLARDRSAEGRALYAVAQRCLPSNEDKEEFPLCALARYCLRAPFGRNLIFNSCGEQGFRGWEVEHGGNGWAIEKNLTPVPGAPSQTCFVTSFEWCSKRQLVDLVMEGVWQELLDSAQIEICVADWWGARENCGCVYQLRVRLLDVYEKEVVKFSASPDPVLQWTERGCRQVSHVFTNFGKGIRYVSFEQYGRDVSSWVGHYGALVTHSSVRVRIRLS Predict reactive species |
| Full Name | F-box protein 17 |
| Calculated Molecular Weight | 278 aa, 31 kDa |
| Observed Molecular Weight | 29 kDa |
| GenBank Accession Number | BC012385 |
| Gene Symbol | FBXO17 |
| Gene ID (NCBI) | 115290 |
| Conjugate | Unconjugated |
| Form | Liquid |
| Purification Method | Protein A purification |
| UNIPROT ID | Q96EF6 |
| Storage Buffer | PBS with 0.02% sodium azide and 50% glycerol, pH 7.3. |
| Storage Conditions | Store at -20°C. Stable for one year after shipment. Aliquoting is unnecessary for -20oC storage. 20ul sizes contain 0.1% BSA. |
Background Information
FBXO17, also named as FBG4, FBX17, FBX26 and FBXO26, is a substrate-recognition component of the SCF (SKP1-CUL1-F-box protein)-type E3 ubiquitin ligase complex.
Protocols
| Product Specific Protocols | |
|---|---|
| IHC protocol for FBXO17 antibody 85936-1-RR | Download protocol |
| WB protocol for FBXO17 antibody 85936-1-RR | Download protocol |
| Standard Protocols | |
|---|---|
| Click here to view our Standard Protocols |



