Tested Applications
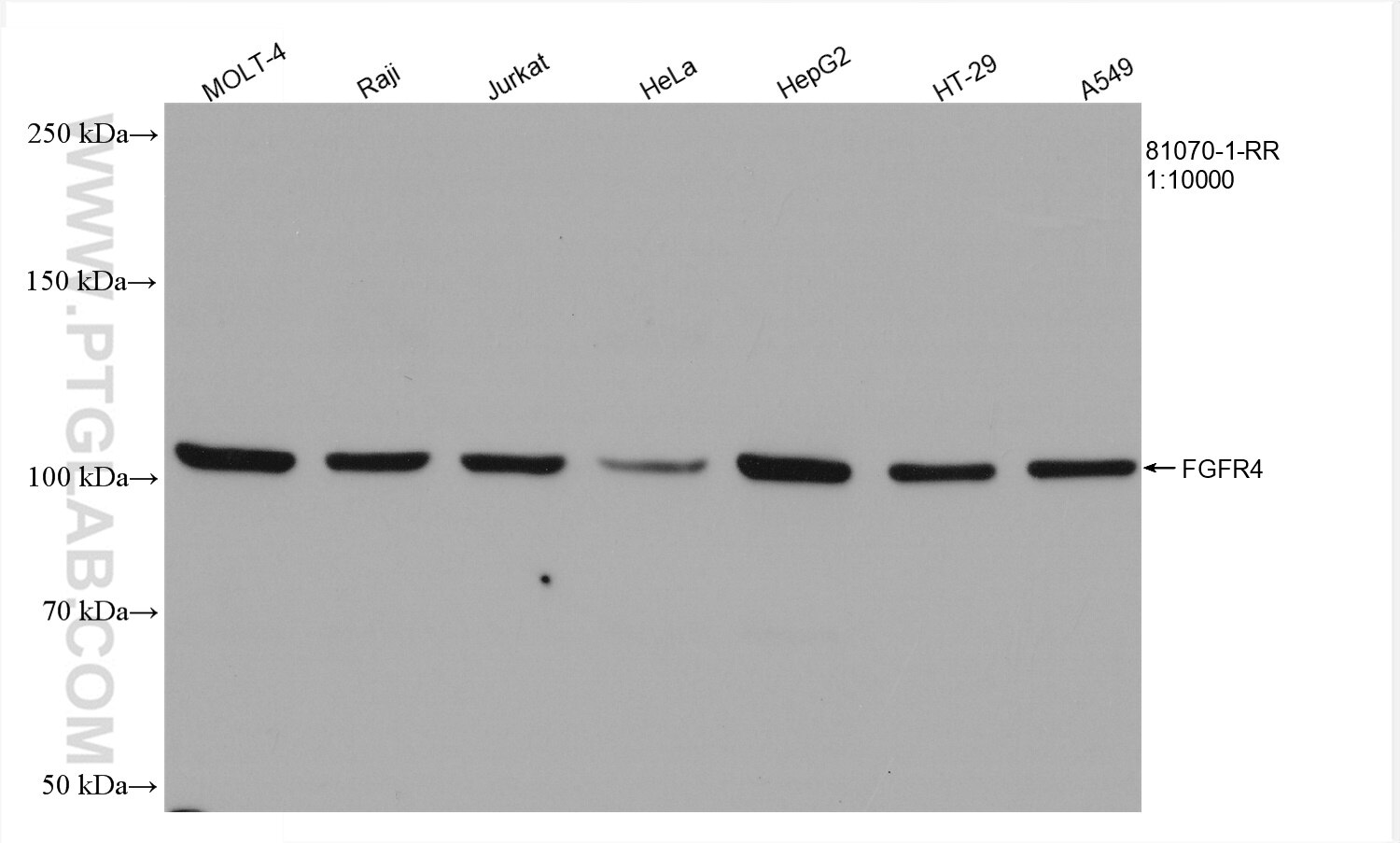
| Positive WB detected in | MOLT-4 cells, Raji cells, Jurkat cells, HeLa cells, HepG2 cells, HT-29 cells, A549 cells |
Recommended dilution
| Application | Dilution |
|---|---|
| Western Blot (WB) | WB : 1:4000-1:40000 |
| It is recommended that this reagent should be titrated in each testing system to obtain optimal results. | |
| Sample-dependent, Check data in validation data gallery. | |
Product Information
81070-1-RR targets FGFR4 in WB, ELISA applications and shows reactivity with Human samples.
| Tested Reactivity | Human |
| Host / Isotype | Rabbit / IgG |
| Class | Recombinant |
| Type | Antibody |
| Immunogen |
CatNo: Ag31013 Product name: Recombinant human FGFR4 protein Source: e coli.-derived, PET28a Tag: 6*His Domain: 742-802 aa of BC011847 Sequence: ALDKVLLAVSEEYLDLRLTFGPYSPSGGDASSTCSSSDSVFSHDPLPLGSSSFPFGSGVQT Predict reactive species |
| Full Name | fibroblast growth factor receptor 4 |
| Calculated Molecular Weight | 88 kDa |
| Observed Molecular Weight | 100-110 kDa |
| GenBank Accession Number | BC011847 |
| Gene Symbol | FGFR4 |
| Gene ID (NCBI) | 2264 |
| Conjugate | Unconjugated |
| Form | Liquid |
| Purification Method | Protein A purification |
| UNIPROT ID | P22455 |
| Storage Buffer | PBS with 0.02% sodium azide and 50% glycerol, pH 7.3. |
| Storage Conditions | Store at -20°C. Aliquoting is unnecessary for -20oC storage. 20ul sizes contain 0.1% BSA. |

