FLI1 Recombinant monoclonal antibody

FLI1 Uni-rAb® Recombinant Antibody for WB, IHC, IF/ICC, ELISA
Cat No. 85931-1-RR
Clone No.250294F12

Host / Isotype

Rabbit / IgG

Reactivity

human, mouse

Applications

WB, IHC, IF/ICC, ELISA

FLI 1, FLI-1, Friend leukemia virus integration 1, Proto-oncogene Fli-1

Formulation:  PBS, Azide, Glycerol
PBS, Azide, Glycerol
PBS Only
Conjugate:  Unconjugated
Unconjugated
Size/Concentration: 

-/ -

Freight/Packing: -

Quantity

Please visit your regions distributor:


Tested Applications

Positive WB detected inJurkat cells, HL-60 cells, U-937 cells, A20 cells, RAW 264.7 cells
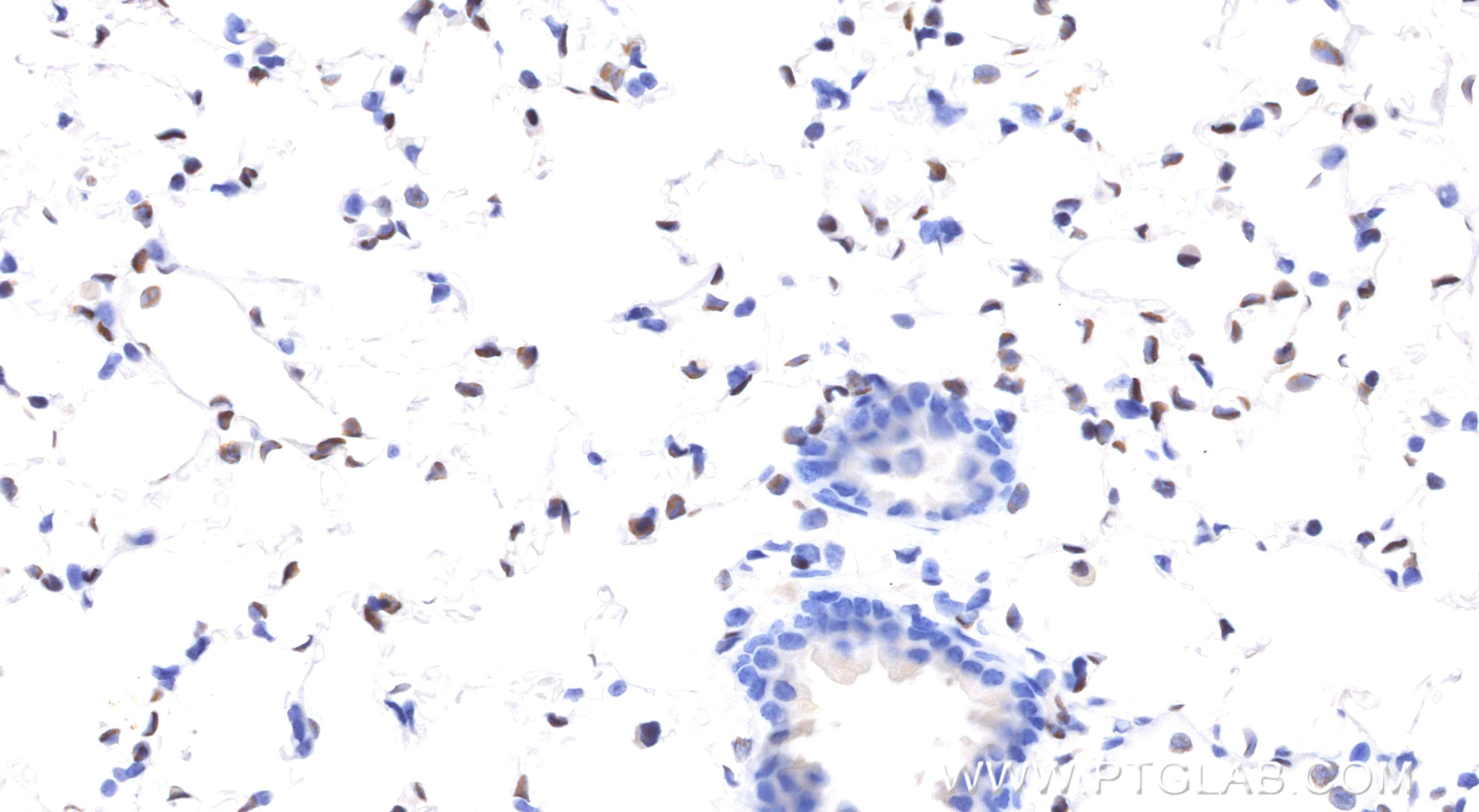
Positive IHC detected inmouse lung tissue, human breast cancer tissue
Note: suggested antigen retrieval with TE buffer pH 9.0; (*) Alternatively, antigen retrieval may be performed with citrate buffer pH 6.0
Positive IF/ICC detected inHEL cells, Jurkat cells

Recommended dilution

ApplicationDilution
Western Blot (WB)WB : 1:5000-1:50000
Immunohistochemistry (IHC)IHC : 1:500-1:2000
Immunofluorescence (IF)/ICCIF/ICC : 1:500-1:2000
It is recommended that this reagent should be titrated in each testing system to obtain optimal results.
Sample-dependent, Check data in validation data gallery.

Product Information

85931-1-RR targets FLI1 in WB, IHC, IF/ICC, ELISA applications and shows reactivity with human, mouse samples.

Tested Reactivity human, mouse
Host / Isotype Rabbit / IgG
Class Recombinant
Type Antibody
Immunogen

CatNo: Ag36169

Product name: Recombinant human FLI1 protein

Source: e coli.-derived, PET28a

Tag: 6*His

Domain: 103-452 aa of BC010115

Sequence: NSYMDEKNGPPPPNMTTNERRVIVPADPTLWTQEHVRQWLEWAIKEYSLMEIDTSFFQNMDGKELCKMNKEDFLRATTLYNTEVLLSHLSYLRESSLLAYNTTSHTDQSSRLSVKEDPSYDSVRRGAWGNNMNSGLNKSPPLGGAQTISKNTEQRPQPDPYQILGPTSSRLANPGSGQIQLWQFLLELLSDSANASCITWEGTNGEFKMTDPDEVARRWGERKSKPNMNYDKLSRALRYYYDKNIMTKVHGKRYAYKFDFHGIAQALQPHPTESSMYKYPSDISYMPSYHAHQQKVNFVPPHPSSMPVTSSSFFGAASQYWTSPTGGIYPNPNVPRHPNTHVPSHLGSYY

Predict reactive species
Full Name Friend leukemia virus integration 1
Calculated Molecular Weight 452 aa, 51 kDa
Observed Molecular Weight51 kDa
GenBank Accession NumberBC010115
Gene Symbol FLI1
Gene ID (NCBI) 2313
Conjugate Unconjugated
FormLiquid
Purification MethodProtein A purification
UNIPROT IDQ01543
Storage Buffer PBS with 0.02% sodium azide and 50% glycerol, pH 7.3.
Storage ConditionsStore at -20°C. Stable for one year after shipment. Aliquoting is unnecessary for -20oC storage. 20ul sizes contain 0.1% BSA.

Background Information

Friend leukemia virus integration1 (FLI1) that is also termed EWSR2 encodes a sequence-specific transcriptional activator involved in Ewing's sarcoma (EWS), a malignant small, round, blue cell tumour. It is a rare disease in which cancer cells are found in the bone or in soft tissue. The most common areas in which it occurs are the pelvis, the femur, the humerus, the ribs and clavicle. EWS occurs most frequently in teenagers and young adults. FLI1 protein may act as an aberrant transcription factor, but exact mechanisms of oncogenesis remains unknown.

Protocols

Product Specific Protocols
IF protocol for FLI1 antibody 85931-1-RRDownload protocol
IHC protocol for FLI1 antibody 85931-1-RRDownload protocol
WB protocol for FLI1 antibody 85931-1-RRDownload protocol
Standard Protocols
Click here to view our Standard Protocols
Loading...
||
New chat Able
正在加载,请稍候...