G6PD Recombinant monoclonal antibody

G6PD Uni-rAb® Recombinant Antibody for WB, ELISA
Cat No. 86240-2-RR
Clone No.250831F2

Host / Isotype

Rabbit / IgG

Reactivity

human, mouse, rat

Applications

WB, ELISA

EC:1.1.1.49, G6P, G6PD1, Glucose-6-phosphate 1-dehydrogenase

Formulation:  PBS, Azide, Glycerol
PBS, Azide, Glycerol
PBS Only
Conjugate:  Unconjugated
Unconjugated
Size/Concentration: 

-/ -

Freight/Packing: -

Quantity

Please visit your regions distributor:


Tested Applications

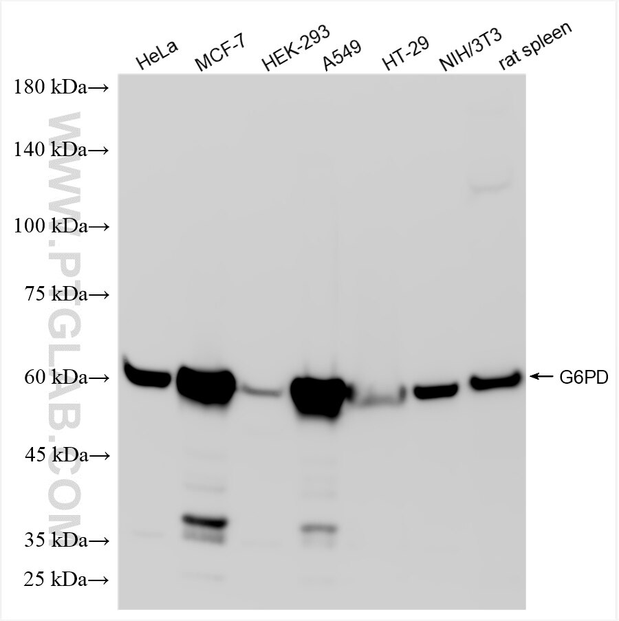
Positive WB detected inHeLa cells, MCF-7 cells, HEK-293 cells, A549 cells, HT-29 cells, NIH-3T3 cells, rat spleen tissue

Recommended dilution

ApplicationDilution
Western Blot (WB)WB : 1:5000-1:50000
It is recommended that this reagent should be titrated in each testing system to obtain optimal results.
Sample-dependent, Check data in validation data gallery.

Product Information

86240-2-RR targets G6PD in WB, ELISA applications and shows reactivity with human, mouse, rat samples.

Tested Reactivity human, mouse, rat
Host / Isotype Rabbit / IgG
Class Recombinant
Type Antibody
Immunogen

CatNo: Ag21862

Product name: Recombinant human G6PD protein

Source: e coli.-derived, PET28a

Tag: 6*His

Domain: 1-515 aa of BC000337

Sequence: MAEQVALSRTQVCGILREELFQGDAFHQSDTHIFIIMGASGDLAKKKIYPTIWWLFRDGLLPENTFIVGYARSRLTVADIRKQSEPFFKATPEEKLKLEDFFARNSYVAGQYDDAASYQRLNSHMNALHLGSQANRLFYLALPPTVYEAVTKNIHESCMSQIGWNRIIVEKPFGRDLQSSDRLSNHISSLFREDQIYRIDHYLGKEMVQNLMVLRFANRIFGPIWNRDNIACVILTFKEPFGTEGRGGYFDEFGIIRDVMQNHLLQMLCLVAMEKPASTNSDDVRDEKVKVLKCISEVQANNVVLGQYVGNPDGEGEATKGYLDDPTVPRGSTTATFAAVVLYVENERWDGVPFILRCGKALNERKAEVRLQFHDVAGDIFHQQCKRNELVIRVQPNEAVYTKMMTKKPGMFFNPEESELDLTYGNRYKNVKLPDAYERLILDVFCGSQMHFVRSDELREAWRIFTPLLHQIELEKPKPIPYIYGSRGPTEADELMKRVGFQYEGTYKWVNPHKL

Predict reactive species
Full Name glucose-6-phosphate dehydrogenase
Calculated Molecular Weight 59 kDa
Observed Molecular Weight 60 kDa
GenBank Accession NumberBC000337
Gene Symbol G6PD
Gene ID (NCBI) 2539
Conjugate Unconjugated
FormLiquid
Purification MethodProtein A purification
UNIPROT IDP11413
Storage Buffer PBS with 0.02% sodium azide and 50% glycerol, pH 7.3.
Storage ConditionsStore at -20°C. Stable for one year after shipment. Aliquoting is unnecessary for -20oC storage. 20ul sizes contain 0.1% BSA.

Background Information

G6PD(Glucose-6-phosphate 1-dehydrogenase) belongs to the glucose-6-phosphate dehydrogenase family. It is a housekeeping enzyme encoded in mammals by an X-linked gene. G6PD has important functions in intermediary metabolism because it catalyzes the first step in the pentose phosphate pathway and provides reductive potential in the form of NADPH.(PMID:7489710). This protein has 3 isoforms produced by alternative splicing.

Protocols

Product Specific Protocols
WB protocol for G6PD antibody 86240-2-RRDownload protocol
Standard Protocols
Click here to view our Standard Protocols
Loading...
||
New chat Able
正在加载,请稍候...