Tested Applications
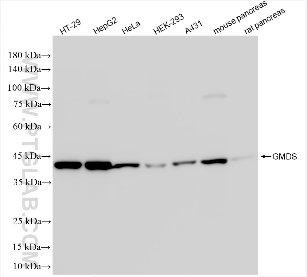
| Positive WB detected in | HT-29 cells, HepG2 cells, HeLa cells, HEK-293 cells, A431 cells, mouse pancreas tissue, rat pancreas tissue |
Recommended dilution
| Application | Dilution |
|---|---|
| Western Blot (WB) | WB : 1:5000-1:50000 |
| It is recommended that this reagent should be titrated in each testing system to obtain optimal results. | |
| Sample-dependent, Check data in validation data gallery. | |
Product Information
86435-1-RR targets GMDS in WB, ELISA applications and shows reactivity with human, mouse, rat samples.
| Tested Reactivity | human, mouse, rat |
| Host / Isotype | Rabbit / IgG |
| Class | Recombinant |
| Type | Antibody |
| Immunogen |
CatNo: Ag7319 Product name: Recombinant human GMDS protein Source: e coli.-derived, PET28a Tag: 6*His Domain: 1-372 aa of BC000117 Sequence: MAHAPARCPSARGSGDGEMGKPRNVALITGITGQDGSYLAEFLLEKGYEVHGIVRRSSSFNTGRIEHLYKNPQAHIEGNMKLHYGDLTDSTCLVKIINEVKPTEIYNLGAQSHVKISFDLAEYTADVDGVGTLRLLDAVKTCGLINSVKFYQASTSELYGKVQEIPQKETTPFYPRSPYGAAKLYAYWIVVNFREAYNLFAVNGILFNHESPRRGANFVTRKISRSVAKIYLGQLECFSLGNLDAKRDWGHAKDYVEAMWLMLQNDEPEDFVIATGEVHSVREFVEKSFLHIGKTIVWEGKNENEVGRCKETGKVHVTVDLKYYRPTEVDFLQGDCTKAKQKLNWKPRVAFDELVREMVHADVELMRTNPNA Predict reactive species |
| Full Name | GDP-mannose 4,6-dehydratase |
| Calculated Molecular Weight | 42 kDa |
| Observed Molecular Weight | 42 kDa |
| GenBank Accession Number | BC000117 |
| Gene Symbol | GMDS |
| Gene ID (NCBI) | 2762 |
| Conjugate | Unconjugated |
| Form | Liquid |
| Purification Method | Protein A purification |
| UNIPROT ID | O60547 |
| Storage Buffer | PBS with 0.02% sodium azide and 50% glycerol, pH 7.3. |
| Storage Conditions | Store at -20°C. Stable for one year after shipment. Aliquoting is unnecessary for -20oC storage. 20ul sizes contain 0.1% BSA. |
Background Information
GDP-D-mannose-4,6-dehydratase (GMDS) is the key enzyme in the 'de novo' pathway of GDP-L-fucose biosynthesis(PMID:10462046). The enzyme is also named as GMD and belongs to the GDP-mannose 4,6-dehydratase family. The gene encodes a 42 kDa protein that catalyzes the conversion of GDP-mannose to GDP-4-keto-6-deoxymannose, the first step in the synthesis of GDP-fucose from GDP-mannose, using NADP+ as a cofactor.
Protocols
| Product Specific Protocols | |
|---|---|
| WB protocol for GMDS antibody 86435-1-RR | Download protocol |
| Standard Protocols | |
|---|---|
| Click here to view our Standard Protocols |

