Tested Applications
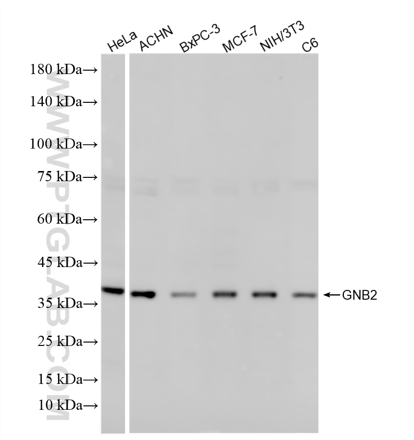
| Positive WB detected in | HeLa cells, ACHN cells, BxPC-3 cells, MCF-7 cells, NIH/3T3 cells, C6 cells |
Recommended dilution
| Application | Dilution |
|---|---|
| Western Blot (WB) | WB : 1:500-1:2000 |
| It is recommended that this reagent should be titrated in each testing system to obtain optimal results. | |
| Sample-dependent, Check data in validation data gallery. | |
Product Information
86469-1-RR targets GNB2 in WB, ELISA applications and shows reactivity with human, mouse samples.
| Tested Reactivity | human, mouse |
| Host / Isotype | Rabbit / IgG |
| Class | Recombinant |
| Type | Antibody |
| Immunogen |
CatNo: Ag9125 Product name: Recombinant human GNB2 protein Source: e coli.-derived, PGEX-4T Tag: GST Domain: 1-340 aa of BC010073 Sequence: MSELEQLRQEAEQLRNQIRDARKACGDSTLTQITAGLDPVGRIQMRTRRTLRGHLAKIYAMHWGTDSRLLVSASQDGKLIIWDSYTTNKVHAIPLRSSWVMTCAYAPSGNFVACGGLDNICSIYSLKTREGNVRVSRELPGHTGYLSCCRFLDDNQIITSSGDTTCALWDIETGQQTVGFAGHSGDVMSLSLAPDGRTFVSGACDASIKLWDVRDSMCRQTFIGHESDINAVAFFPNGYAFTTGSDDATCRLFDLRADQELLMYSHDNIICGITSVAFSRSGRLLLAGYDDFNCNIWDAMKGDRAGVLAGHDNRVSCLGVTDDGMAVATGSWDSFLKIWN Predict reactive species |
| Full Name | guanine nucleotide binding protein (G protein), beta polypeptide 2 |
| Calculated Molecular Weight | 340 aa, 37 kDa |
| Observed Molecular Weight | 37 kDa |
| GenBank Accession Number | BC010073 |
| Gene Symbol | GNB2 |
| Gene ID (NCBI) | 2783 |
| Conjugate | Unconjugated |
| Form | Liquid |
| Purification Method | Protein A purification |
| UNIPROT ID | P62879 |
| Storage Buffer | PBS with 0.02% sodium azide and 50% glycerol, pH 7.3. |
| Storage Conditions | Store at -20°C. Stable for one year after shipment. Aliquoting is unnecessary for -20oC storage. 20ul sizes contain 0.1% BSA. |
Background Information
GNB2(Guanine nucleotide-binding protein G(I)/G(S)/G(T) subunit beta-2) is also named as G protein subunit beta-2, transducin beta chain 2 and belongs to the WD repeat G protein beta family. G proteins are involved as a modulator or transducer in various transmembrane signaling systems. The beta and gamma chains are required for the GTPase activity, for replacement of GDP by GTP, and for G protein-effector interaction.
Protocols
| Product Specific Protocols | |
|---|---|
| WB protocol for GNB2 antibody 86469-1-RR | Download protocol |
| Standard Protocols | |
|---|---|
| Click here to view our Standard Protocols |

