Tested Applications
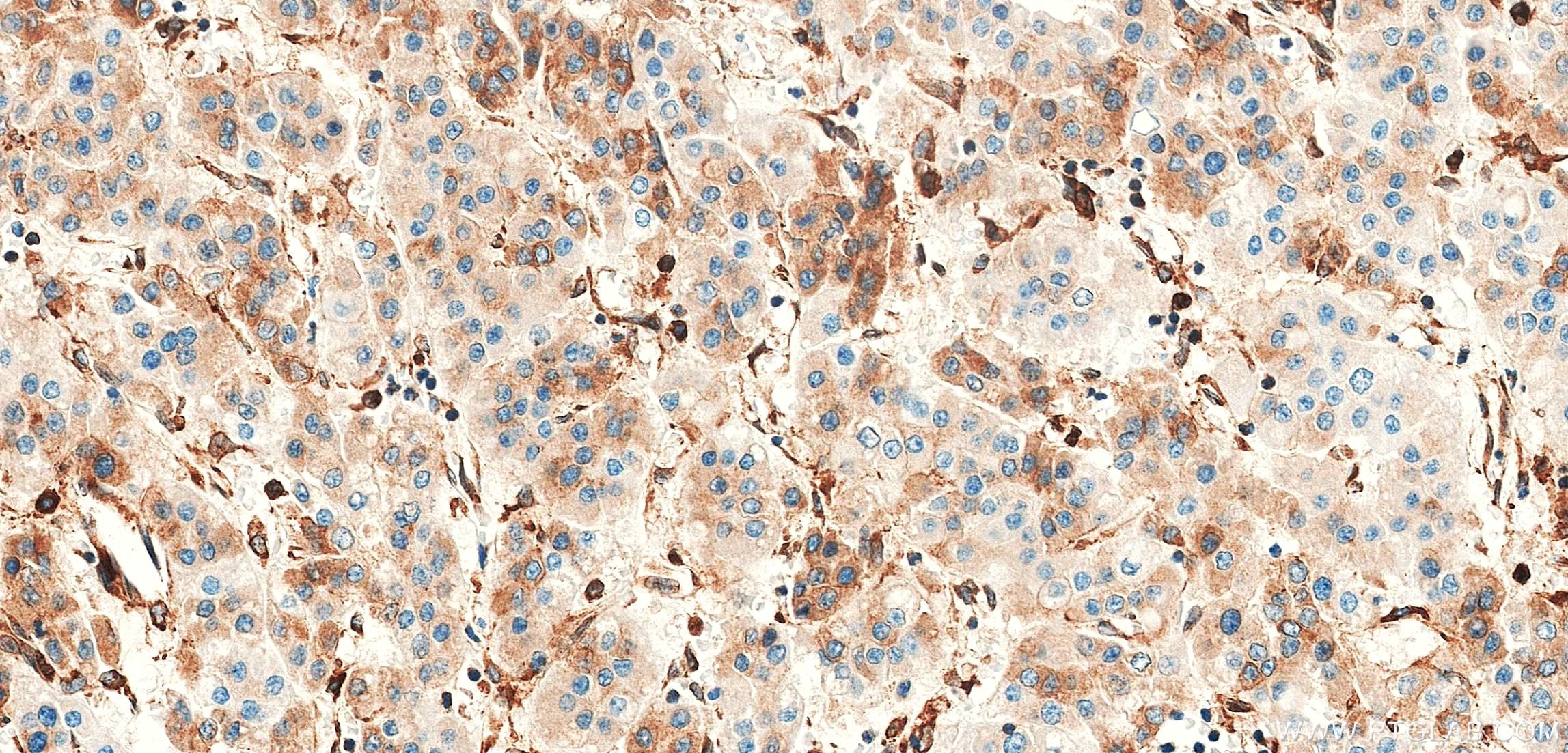
| Positive IHC detected in | Human Hepatocellular cancer, mouse testis tissue Note: suggested antigen retrieval with TE buffer pH 9.0; (*) Alternatively, antigen retrieval may be performed with citrate buffer pH 6.0 |
| Positive IF/ICC detected in | HuH-7 cells |
| Positive FC (Intra) detected in | A549 cells |
Recommended dilution
| Application | Dilution |
|---|---|
| Immunohistochemistry (IHC) | IHC : 1:500-1:2000 |
| Immunofluorescence (IF)/ICC | IF/ICC : 1:125-1:500 |
| Flow Cytometry (FC) (INTRA) | FC (INTRA) : 0.25 ug per 10^6 cells in a 100 µl suspension |
| It is recommended that this reagent should be titrated in each testing system to obtain optimal results. | |
| Sample-dependent, Check data in validation data gallery. | |
Product Information
83546-3-RR targets MBOAT7 in IHC, IF/ICC, FC (Intra), ELISA applications and shows reactivity with human, mouse samples.
| Tested Reactivity | human, mouse |
| Host / Isotype | Rabbit / IgG |
| Class | Recombinant |
| Type | Antibody |
| Immunogen |
CatNo: Ag24466 Product name: Recombinant human MBOAT7 protein Source: e coli.-derived, PGEX-4T Tag: GST Domain: 284-344 aa of BC006309 Sequence: SSPEKAASLEYDYETIRNIDCYSTDFCVRVRDGMRYWNMTVQWWLAQYIYKSAPARSYVLR Predict reactive species |
| Full Name | membrane bound O-acyltransferase domain containing 7 |
| Calculated Molecular Weight | 472 aa, 53 kDa |
| GenBank Accession Number | BC006309 |
| Gene Symbol | MBOAT7 |
| Gene ID (NCBI) | 79143 |
| RRID | AB_3671165 |
| Conjugate | Unconjugated |
| Form | Liquid |
| Purification Method | Protein A purfication |
| UNIPROT ID | Q96N66 |
| Storage Buffer | PBS with 0.02% sodium azide and 50% glycerol, pH 7.3. |
| Storage Conditions | Store at -20°C. Stable for one year after shipment. Aliquoting is unnecessary for -20oC storage. 20ul sizes contain 0.1% BSA. |
Background Information
MBOAT7 (membrane-bound O-acyltransferase domain containing 7), also known as LPIAT, LENG4, or BB1, belongs to the MBOAT superfamily. MBOAT7 acylates lyso-phosphatidylinositol (lyso-PI) with arachidonyl-CoA and is involved in phosphatidylinositol acyl-chain remodeling in the Lands cycle (PMID: 30959108; PMID: 35509994). MBOAT7 deficiency in humans leads to developmental disorders of the central nervous system, with intellectual disability, epilepsy, and autism spectrum disorder (PMID: 37316513). The calculated molecular weight of MBOAT7 is 53 kDa. This antibody can recognize the 45 kDa isoform of MBOAT7.
Protocols
| Product Specific Protocols | |
|---|---|
| FC protocol for MBOAT7 antibody 83546-3-RR | Download protocol |
| IF protocol for MBOAT7 antibody 83546-3-RR | Download protocol |
| IHC protocol for MBOAT7 antibody 83546-3-RR | Download protocol |
| Standard Protocols | |
|---|---|
| Click here to view our Standard Protocols |
Reviews
The reviews below have been submitted by verified Proteintech customers who received an incentive for providing their feedback.
FH Eui Jung (Verified Customer) (12-05-2024) | Very good in IFM and validated in KO liver
|













