Use Able AI chat for product recommendations

PRSS21 Polyclonal antibody

PRSS21 Polyclonal Antibody for WB, IHC, FC (Intra), ELISA

Cat No. 32522-1-AP

Host / Isotype

Rabbit / IgG

Reactivity

human, mouse

Applications

WB, IHC, FC (Intra), ELISA

EC:3.4.21.-, Eosinophil serine protease 1, ESP1, ESP-1, Serine protease 21

Formulation:  PBS, Azide, Glycerol
PBS, Azide, Glycerol
Conjugate:  Unconjugated
Unconjugated
Size/Concentration: 

-/ -

Freight/Packing: -

Quantity

Please visit your regions distributor:


Tested Applications

Positive WB detected inmouse testis tissue
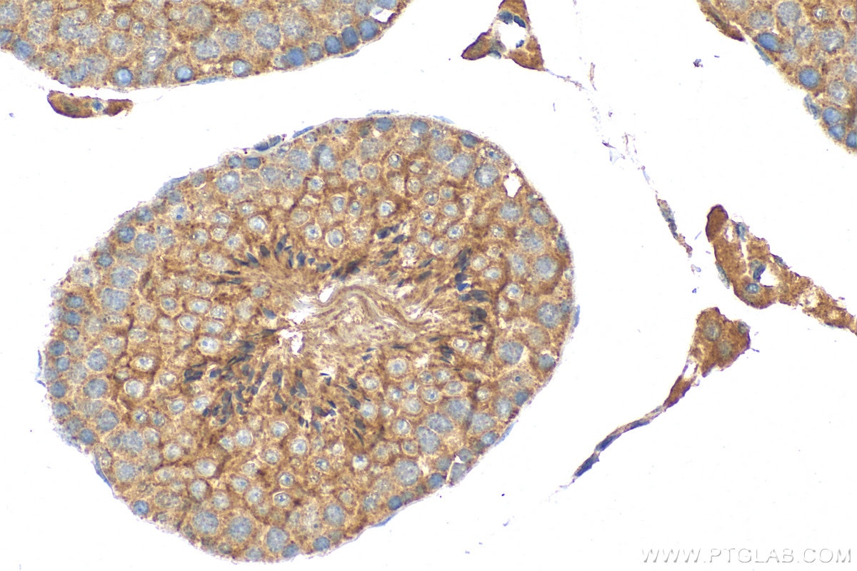
Positive IHC detected inmouse testis tissue
Note: suggested antigen retrieval with TE buffer pH 9.0; (*) Alternatively, antigen retrieval may be performed with citrate buffer pH 6.0
Positive FC (Intra) detected inA431 cells

Recommended dilution

ApplicationDilution
Western Blot (WB)WB : 1:500-1:2000
Immunohistochemistry (IHC)IHC : 1:200-1:800
Flow Cytometry (FC) (INTRA)FC (INTRA) : 0.25 ug per 10^6 cells in a 100 µl suspension
It is recommended that this reagent should be titrated in each testing system to obtain optimal results.
Sample-dependent, Check data in validation data gallery.

Product Information

32522-1-AP targets PRSS21 in WB, IHC, FC (Intra), ELISA applications and shows reactivity with human, mouse samples.

Tested Reactivity human, mouse
Host / Isotype Rabbit / IgG
Class Polyclonal
Type Antibody
Immunogen

CatNo: Ag38156

Product name: Recombinant human PRSS21 protein

Source: e coli.-derived, PGEX-4T

Tag: GST

Domain: 1-314 aa of BC074999

Sequence: MGARGALLLALLLARAGLRKPESQEAAPLSGPCGRRVITSRIVGGEDAELGRWPWQGSLRLWDSHVCGVSLLSHRWALTAAHCFETYSDLSDPSGWMVQFGQLTSMPSFWSLQAYYTRYFVSNIYLSPRYLGNSPYDIALVKLSAPVTYTKHIQPICLQASTFEFENRTDCWVTGWGYIKEDEALPSPHTLQEVQVAIINNSMCNHLFLKYSFRKDIFGDMVCAGNAQGGKDACFGDSGGPLACNKNGLWYQIGVVSWGVGCGRPNRPGVYTNISHHFEWIQKLMAQSGMSQPDPSWPLLFFPLLWALPLLGPV

Predict reactive species
Full Name protease, serine, 21 (testisin)
Calculated Molecular Weight 314 aa, 35 kDa
GenBank Accession NumberBC074999
Gene Symbol PRSS21
Gene ID (NCBI) 10942
Conjugate Unconjugated
FormLiquid
Purification MethodAntigen affinity purification
UNIPROT IDQ9Y6M0
Storage Buffer PBS with 0.02% sodium azide and 50% glycerol, pH 7.3.
Storage ConditionsStore at -20°C. Stable for one year after shipment. Aliquoting is unnecessary for -20oC storage. 20ul sizes contain 0.1% BSA.

Background Information

PRSS21 (Serine Protease 21), a trypsin family member, may be active on peptide linkages involving the carboxyl group of lysine or arginine. In terms of disease association, PRSS21 is implicated in various cancers, such as gastric cancer, testicular cancer, and ovarian cancer.

Protocols

Product Specific Protocols
FC protocol for PRSS21 antibody 32522-1-APDownload protocol
IHC protocol for PRSS21 antibody 32522-1-APDownload protocol
WB protocol for PRSS21 antibody 32522-1-APDownload protocol
Standard Protocols
Click here to view our Standard Protocols
Loading...
||
New chat

Able

正在加载,请稍候...