Tested Applications
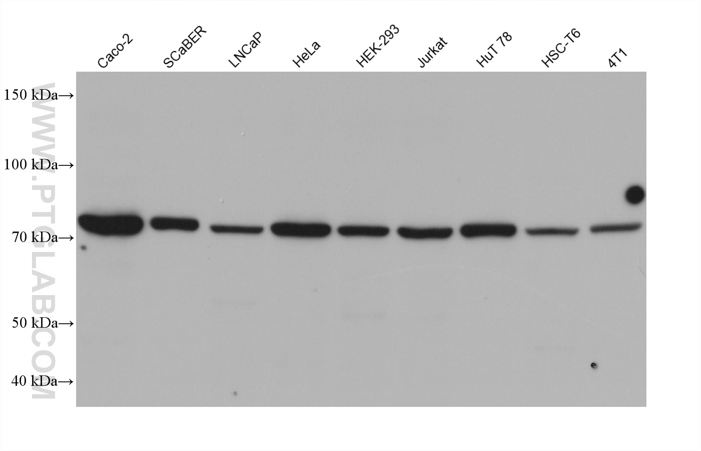
| Positive WB detected in | Caco-2 cells, HeLa cells, SCaBER cells, LNCaP cells, HEK-293 cells, Jurkat cells, HuT 78 cells, HSC-T6 cells, 4T1 cells, HepG2 cells |
| Positive IHC detected in | rat kidney tissue, human thyroid cancer tissue, mouse kidney tissue, rat ovary tissue Note: suggested antigen retrieval with TE buffer pH 9.0; (*) Alternatively, antigen retrieval may be performed with citrate buffer pH 6.0 |
| Positive IF/ICC detected in | HeLa cells |
| Positive FC (Intra) detected in | HeLa cells |
Recommended dilution
| Application | Dilution |
|---|---|
| Western Blot (WB) | WB : 1:5000-1:50000 |
| Immunohistochemistry (IHC) | IHC : 1:500-1:2000 |
| Immunofluorescence (IF)/ICC | IF/ICC : 1:400-1:1600 |
| Flow Cytometry (FC) (INTRA) | FC (INTRA) : 0.50 ug per 10^6 cells in a 100 µl suspension |
| It is recommended that this reagent should be titrated in each testing system to obtain optimal results. | |
| Sample-dependent, Check data in validation data gallery. | |
Published Applications
| WB | See 2 publications below |
| IHC | See 4 publications below |
| IF | See 3 publications below |
Product Information
66695-1-Ig targets TNFAIP3 in WB, IHC, IF/ICC, FC (Intra), ELISA applications and shows reactivity with human, mouse, rat samples.
| Tested Reactivity | human, mouse, rat |
| Cited Reactivity | human, mouse |
| Host / Isotype | Mouse / IgG1 |
| Class | Monoclonal |
| Type | Antibody |
| Immunogen |
CatNo: Ag18150 Product name: Recombinant human TNFAIP3 protein Source: e coli.-derived, PET28a Tag: 6*His Domain: 441-790 aa of BC114480 Sequence: EAYEPLAWNPEESTGGPHSAPPTAPSPFLFSETTAMKCRSPGCPFTLNVQHNGFCERCHNARQLHASHAPDHTRHLDPGKCQACLQDVTRTFNGICSTCFKRTTAEASSSLSTSLPPSCHQRSKSDPSRLVRSPSPHSCHRAGNDAPAGCLSQAARTPGDRTGTSKCRKAGCVYFGTPENKGFCTLCFIEYRENKHFAAASGKVSPTASRFQNTIPCLGRECGTLGSTMFEGYCQKCFIEAQNQRFHEAKRTEEQLRSSQRRDVPRTTQSTSRPKCARASCKNILACRSEELCMECQHPNQRMGPGAHRGEPAPEDPPKQRCRAPACDHFGNAKCNGYCNECFQFKQMYG Predict reactive species |
| Full Name | tumor necrosis factor, alpha-induced protein 3 |
| Calculated Molecular Weight | 790 aa, 90 kDa |
| Observed Molecular Weight | 80 kDa |
| GenBank Accession Number | BC114480 |
| Gene Symbol | TNFAIP3 |
| Gene ID (NCBI) | 7128 |
| RRID | AB_2882048 |
| Conjugate | Unconjugated |
| Form | Liquid |
| Purification Method | Protein G purification |
| UNIPROT ID | P21580 |
| Storage Buffer | PBS with 0.02% sodium azide and 50% glycerol, pH 7.3. |
| Storage Conditions | Store at -20°C. Stable for one year after shipment. Aliquoting is unnecessary for -20oC storage. 20ul sizes contain 0.1% BSA. |
Background Information
TNFAIP3, also named A20, is a cytoplasmic zinc finger protein that inhibits nuclear factor kappa-B (NFKB) activity and tumor necrosis factor (TNF)-mediated programmed cell death. A20 is a ubiquitin-editing enzyme that contains both ubiquitin ligase and deubiquitinase activities, and involved in immune and inflammatory responses signaled by cytokines, such as TNF-alpha and IL-1 beta, or pathogens via Toll-like receptors (TLRs) through terminating NF-kappa-B activity.
Protocols
| Product Specific Protocols | |
|---|---|
| FC protocol for TNFAIP3 antibody 66695-1-Ig | Download protocol |
| IF protocol for TNFAIP3 antibody 66695-1-Ig | Download protocol |
| IHC protocol for TNFAIP3 antibody 66695-1-Ig | Download protocol |
| WB protocol for TNFAIP3 antibody 66695-1-Ig | Download protocol |
| Standard Protocols | |
|---|---|
| Click here to view our Standard Protocols |
Publications
| Species | Application | Title |
|---|---|---|
Biochim Biophys Acta Mol Basis Dis Rhythm gene PER1 mediates ferroptosis and lipid metabolism through SREBF2/ALOX15 axis in polycystic ovary syndrome | ||
Biology (Basel) Interleukin-10 Deficiency Impacts on TNF-Induced NFκB Regulated Responses In Vivo | ||
Cell Death Dis A20 targets PFKL and glycolysis to inhibit the progression of hepatocellular carcinoma. | ||
Immunity Integrated computational analysis identifies therapeutic targets with dual action in cancer cells and T cells | ||
Sci Total Environ Alpha-ketoglutarate alleviates cadmium-induced inflammation by inhibiting the HIF1A-TNFAIP3 pathway in hepatocytes | ||
BMC Biol Delivering miR-23b-3p by small extracellular vesicles to promote cell senescence and aberrant lipid metabolism |
Reviews
The reviews below have been submitted by verified Proteintech customers who received an incentive for providing their feedback.
FH jackie (Verified Customer) (12-11-2025) | This antibody is a strong choice for labs investigating TNFAIP3’s role in NF-κB regulation and inflammatory signaling, with robust validation data and compatibility across standard cell biology workflows.
|























