Tested Applications
| Positive WB detected in | HeLa cells |
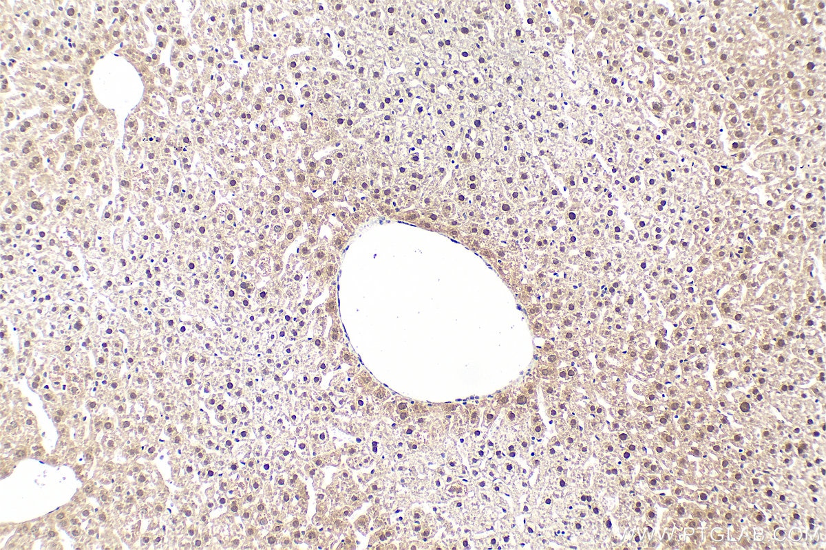
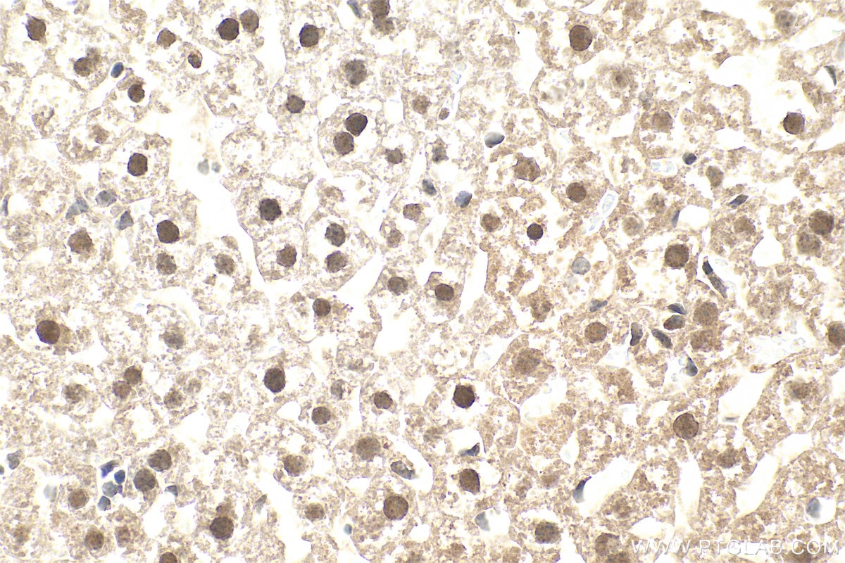
| Positive IHC detected in | mouse liver tissue Note: suggested antigen retrieval with TE buffer pH 9.0; (*) Alternatively, antigen retrieval may be performed with citrate buffer pH 6.0 |
Recommended dilution
| Application | Dilution |
|---|---|
| Western Blot (WB) | WB : 1:500-1:2000 |
| Immunohistochemistry (IHC) | IHC : 1:200-1:800 |
| It is recommended that this reagent should be titrated in each testing system to obtain optimal results. | |
| Sample-dependent, Check data in validation data gallery. | |
Product Information
66141-1-Ig targets AEBP2 in WB, ELISA applications and shows reactivity with human, pig samples.
| Tested Reactivity | human, pig |
| Host / Isotype | Mouse / IgG1 |
| Class | Monoclonal |
| Type | Antibody |
| Immunogen |
CatNo: Ag17905 Product name: Recombinant human AEBP2 protein Source: e coli.-derived, PET28a Tag: 6*His Domain: 1-295 aa of BC015624 Sequence: MSSDGEPLSRMDSEDSISSTIMDVDSTISSGRSTPAMMNGQGSTTSSSKNIAYNCCWDQCQACFNSSPDLADHIRSIHVDGQRGGVFVCLWKGCKVYNTPSTSQSWLQRHMLTHSGDKPFKCVVGGCNASFASQGGLARHVPTHFSQQNSSKVSSQPKAKEESPSKAGMNKRRKLKNKRRRSLPRPHDFFDAQTLDAIRHRAICFNLSAHIESLGKGHSVVFHSTVIAKRKEDSGKIKLLLHWMPEDILPDVWVNESERHQLKTKVVHLSKLPKDTALLLDPNIYRTMPQKRLKR Predict reactive species |
| Full Name | AE binding protein 2 |
| Calculated Molecular Weight | 33 kDa, 54 kDa |
| Observed Molecular Weight | 55 kDa |
| GenBank Accession Number | BC015624 |
| Gene Symbol | AEBP2 |
| Gene ID (NCBI) | 121536 |
| RRID | AB_2881538 |
| Conjugate | Unconjugated |
| Form | Liquid |
| Purification Method | Protein G purification |
| UNIPROT ID | Q6ZN18 |
| Storage Buffer | PBS with 0.02% sodium azide and 50% glycerol, pH 7.3. |
| Storage Conditions | Store at -20°C. Stable for one year after shipment. Aliquoting is unnecessary for -20oC storage. 20ul sizes contain 0.1% BSA. |
Background Information
AEBP2 belongs to the AEBP2/jing C2H2-type zinc-finger family. It is a DNA-binding transcriptional repressor. AEBP2 is a zinc finger protein that has been shown to interact with the mammalian Polycomb Repression Complex 2 (PRC2). It may interact with and stimulate the activity of the PRC2 complex, which methylates 'Lys-9' and 'Lys-27' residues of histone H3. AEBP2 is an evolutionarily well-conserved gene that is found in the animals ranging from flying insects to mammals. (PMID:19293275) The antibody recognizes adult-specific larger form (52 kDa) and the embryo-specific smaller form (31 kDa).
Protocols
| Product Specific Protocols | |
|---|---|
| WB protocol for AEBP2 antibody 66141-1-Ig | Download protocol |
| Standard Protocols | |
|---|---|
| Click here to view our Standard Protocols |





