Tested Applications
| Positive WB detected in | mouse liver tissue, rat liver tissue |
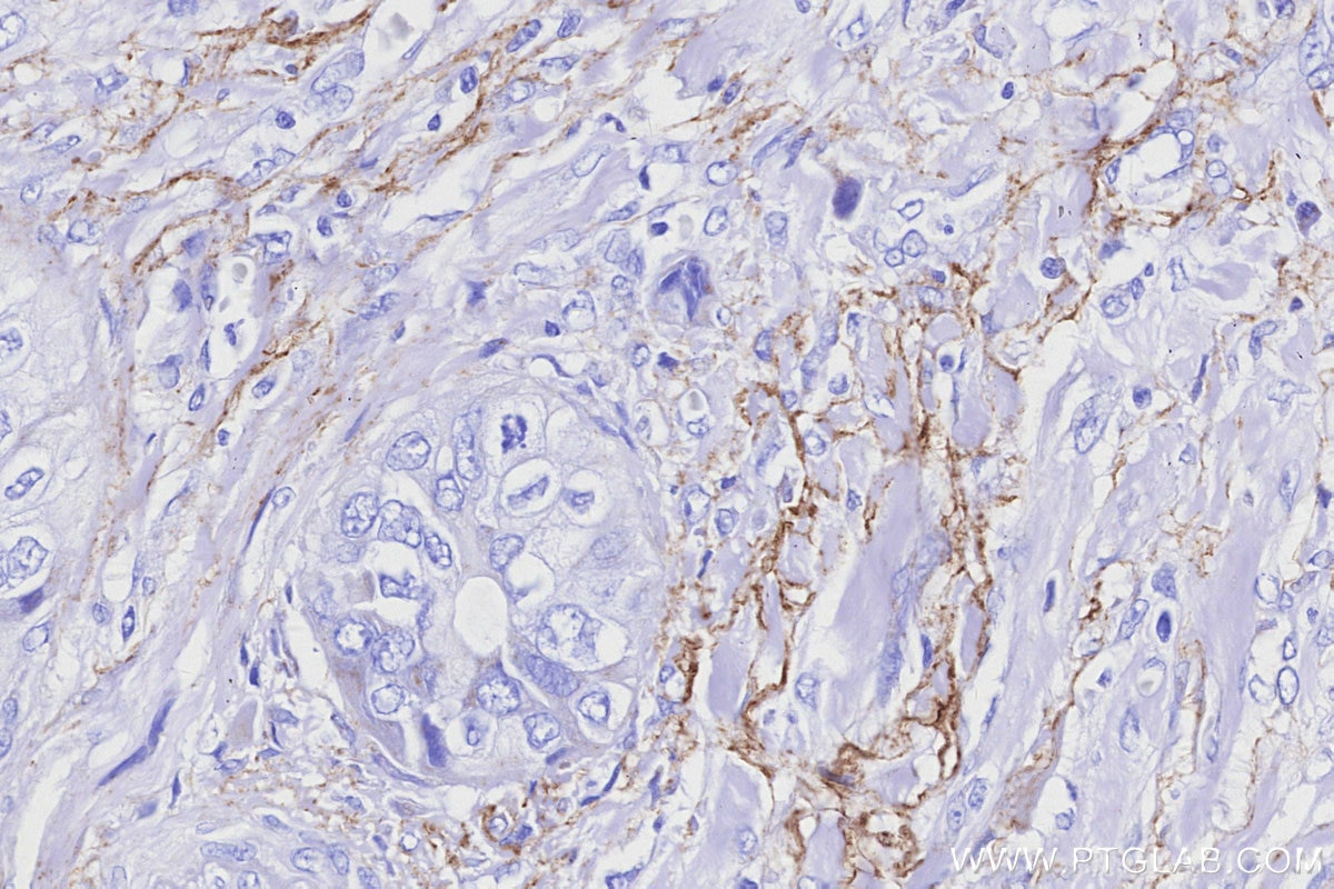
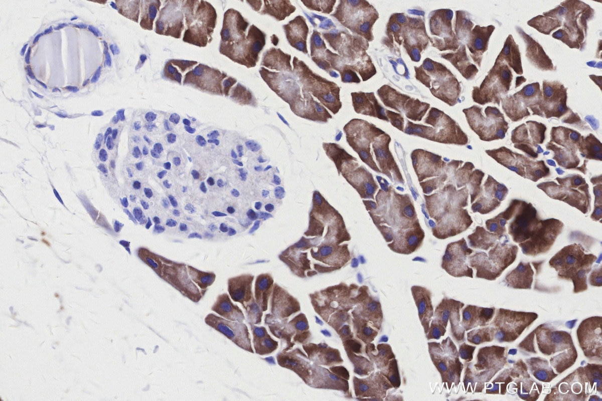
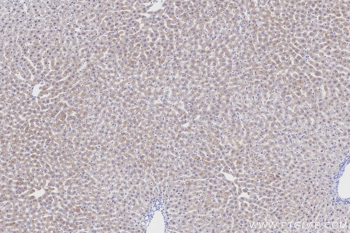
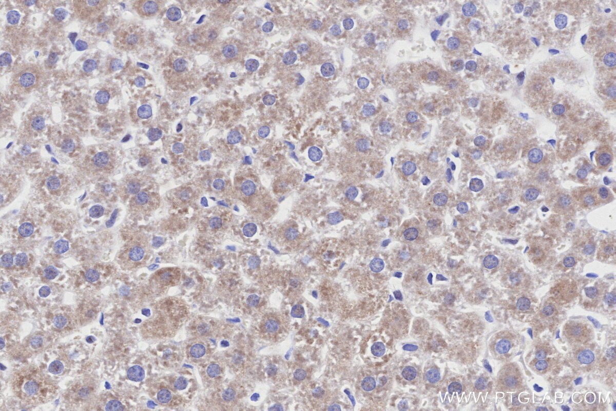
| Positive IHC detected in | rat liver tissue, human pancreas cancer tissue, mouse pancreas tissue Note: suggested antigen retrieval with TE buffer pH 9.0; (*) Alternatively, antigen retrieval may be performed with citrate buffer pH 6.0 |
| Positive IF/ICC detected in | Neuro-2a cells |
Recommended dilution
| Application | Dilution |
|---|---|
| Western Blot (WB) | WB : 1:5000-1:50000 |
| Immunohistochemistry (IHC) | IHC : 1:4000-1:16000 |
| Immunofluorescence (IF)/ICC | IF/ICC : 1:250-1:1000 |
| It is recommended that this reagent should be titrated in each testing system to obtain optimal results. | |
| Sample-dependent, Check data in validation data gallery. | |
Product Information
85980-2-RR targets ALDH1L1 in WB, IHC, IF/ICC, ELISA applications and shows reactivity with human, mouse, rat samples.
| Tested Reactivity | human, mouse, rat |
| Host / Isotype | Rabbit / IgG |
| Class | Recombinant |
| Type | Antibody |
| Immunogen |
CatNo: Ag11285 Product name: Recombinant human ALDH1L1 protein Source: e coli.-derived, PGEX-4T Tag: GST Domain: 157-505 aa of BC027241 Sequence: DDTVSTLYNRFLFPEGIKGMVQAVRLIAEGKAPRLPQPEEGATYEGIQKKETAKINWDQPAEAIHNWIRGNDKVPGAWTEACEQKLTFFNSTLNTSGLVPEGDALPIPGAHRPGVVTKAGLILFGNDDKMLLVKNIQLEDGKMILASNFFKGAASSVLELTEAELVTAEAVRSVWQRILPKVLEVEDSTDFFKSGAASVDVVRLVEEVKELCDGLELENEDVYMASTFGDFIQLLVRKLRGDDEEGECSIDYVEMAVNKRTVRMPHQLFIGGEFVDAEGAKTSETINPTDGSVICQVSLAQVTDVDKAVAAAKDAFENGRWGKISARDRGRLMYRAPPSPSTRPDPTAT Predict reactive species |
| Full Name | aldehyde dehydrogenase 1 family, member L1 |
| Calculated Molecular Weight | 99 kDa |
| Observed Molecular Weight | 100 kDa |
| GenBank Accession Number | BC027241 |
| Gene Symbol | ALDH1L1 |
| Gene ID (NCBI) | 10840 |
| RRID | AB_3744521 |
| Conjugate | Unconjugated |
| Form | Liquid |
| Purification Method | Protein A purification |
| UNIPROT ID | O75891 |
| Storage Buffer | PBS with 0.02% sodium azide and 50% glycerol, pH 7.3. |
| Storage Conditions | Store at -20°C. Stable for one year after shipment. Aliquoting is unnecessary for -20oC storage. 20ul sizes contain 0.1% BSA. |
Background Information
Aldehyde dehydrogenase 1 family member L1 (ALDH1L1), belongs to the aldehyde dehydrogenase family of proteins and is responsible for formate oxidation in vivo. Loss of ALDH1L1 is associated with decreased apoptosis, increased cell motility, and cancer progression. ALDH1L1 catalyzes the conversion of 10-formyltetrahydrofolate, nicotinamide adenine dinucleotide phosphate (NADP+), and water to tetrahydrofolate, NADPH, and carbon dioxide. ALDH1L1 has some isoforms with MW of 99, 88 and 55 kDa.
Protocols
| Product Specific Protocols | |
|---|---|
| IF protocol for ALDH1L1 antibody 85980-2-RR | Download protocol |
| IHC protocol for ALDH1L1 antibody 85980-2-RR | Download protocol |
| WB protocol for ALDH1L1 antibody 85980-2-RR | Download protocol |
| Standard Protocols | |
|---|---|
| Click here to view our Standard Protocols |













