Tested Applications
| Positive WB detected in | LNCaP cells, HEK-293 cells, MCF-7 cells, HepG2 cells, DU 145 cells |
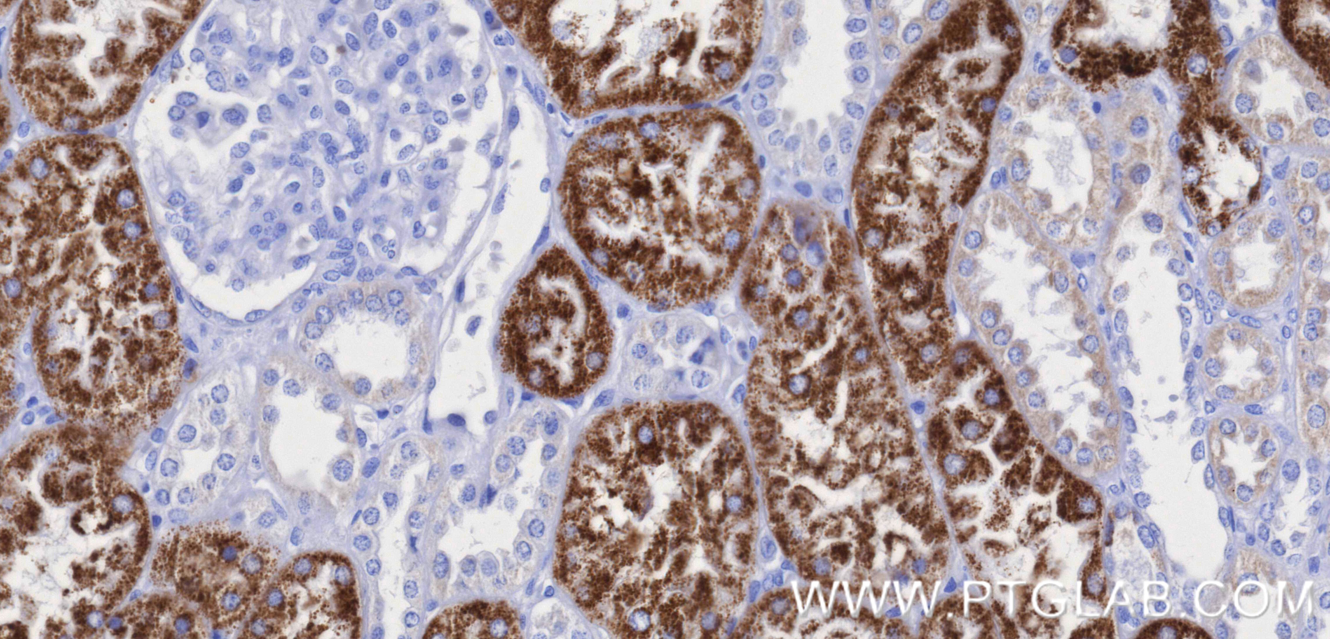
| Positive IHC detected in | human prostate cancer tissue, human kidney tissue Note: suggested antigen retrieval with TE buffer pH 9.0; (*) Alternatively, antigen retrieval may be performed with citrate buffer pH 6.0 |
| Positive IF/ICC detected in | LNCaP cells |
Recommended dilution
| Application | Dilution |
|---|---|
| Western Blot (WB) | WB : 1:5000-1:50000 |
| Immunohistochemistry (IHC) | IHC : 1:250-1:1000 |
| Immunofluorescence (IF)/ICC | IF/ICC : 1:200-1:800 |
| It is recommended that this reagent should be titrated in each testing system to obtain optimal results. | |
| Sample-dependent, Check data in validation data gallery. | |
Product Information
84891-2-RR targets AMACR/p504S in WB, IHC, IF/ICC, ELISA applications and shows reactivity with human samples.
| Tested Reactivity | human |
| Host / Isotype | Rabbit / IgG |
| Class | Recombinant |
| Type | Antibody |
| Immunogen |
CatNo: Ag8720 Product name: Recombinant human p504S,AMACR protein Source: e coli.-derived, PGEX-4T Tag: GST Domain: 1-135 aa of BC009471 Sequence: MALQGISVMELSGLAPGPFCAMVLADFGARVVRVDRPGSRYDVSRLGRGKRSLVLDLKQPRGAAVLRRLCKRSDVLLEPFRRGVMEKLQLGPEILQRENPRLIYARLSGFGQSGSFCRLAGHDINYLALSGGRNS Predict reactive species |
| Full Name | alpha-methylacyl-CoA racemase |
| Calculated Molecular Weight | 382 aa, 42 kDa |
| Observed Molecular Weight | 42 kDa |
| GenBank Accession Number | BC009471 |
| Gene Symbol | AMACR |
| Gene ID (NCBI) | 23600 |
| Conjugate | Unconjugated |
| Form | Liquid |
| Purification Method | Protein A purification |
| UNIPROT ID | Q9UHK6 |
| Storage Buffer | PBS with 0.02% sodium azide and 50% glycerol, pH 7.3. |
| Storage Conditions | Store at -20°C. Stable for one year after shipment. Aliquoting is unnecessary for -20oC storage. 20ul sizes contain 0.1% BSA. |
Background Information
AMACR(Alpha-methyl acyl-CoA racemase) belongs to the CaiB/BaiF CoA-transferase family. A mitochondrial and peroxisomal enzyme catalyzes the conversion of 2R stereoisomers of phytanic and pristanic acid to their S counterparts. AMACR has previously been shown to be a highly sensitive marker for colorectal and clinically localized prostate cancer (PCa). However, AMACR expression is down-regulated at the transcript and protein level in hormone-refractory metastatic PCa, suggesting a hormone-dependent expression of AMACR(PMID:12213712). It has 3 isoforms produced by alternative splicing and can form a dimer of 70-75 kDa(PMID:21812041). Defects in AMACR cause alpha-methyl acyl-CoA racemase deficiency (AMACRD) and congenital bile acid synthesis defect type 4 (CBAS4).
Protocols
| Product Specific Protocols | |
|---|---|
| IF protocol for AMACR/p504S antibody 84891-2-RR | Download protocol |
| IHC protocol for AMACR/p504S antibody 84891-2-RR | Download protocol |
| WB protocol for AMACR/p504S antibody 84891-2-RR | Download protocol |
| Standard Protocols | |
|---|---|
| Click here to view our Standard Protocols |









