Tested Applications
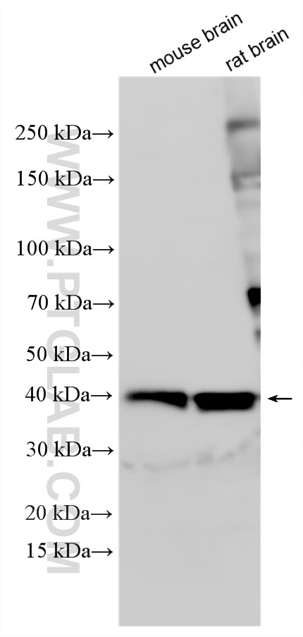
| Positive WB detected in | mouse brain tissue, HeLa cells, human brain tissue, rat brain tissue |
| Positive IP detected in | mouse brain tissue |
| Positive IHC detected in | mouse brain tissue Note: suggested antigen retrieval with TE buffer pH 9.0; (*) Alternatively, antigen retrieval may be performed with citrate buffer pH 6.0 |
| Positive IF/ICC detected in | HepG2 cells |
Recommended dilution
| Application | Dilution |
|---|---|
| Western Blot (WB) | WB : 1:1000-1:6000 |
| Immunoprecipitation (IP) | IP : 0.5-4.0 ug for 1.0-3.0 mg of total protein lysate |
| Immunohistochemistry (IHC) | IHC : 1:50-1:500 |
| Immunofluorescence (IF)/ICC | IF/ICC : 1:200-1:800 |
| It is recommended that this reagent should be titrated in each testing system to obtain optimal results. | |
| Sample-dependent, Check data in validation data gallery. | |
Published Applications
| KD/KO | See 3 publications below |
| WB | See 7 publications below |
Product Information
15450-1-AP targets ASNA1 in WB, IHC, IF/ICC, IP, ELISA applications and shows reactivity with human, mouse, rat samples.
| Tested Reactivity | human, mouse, rat |
| Cited Reactivity | human |
| Host / Isotype | Rabbit / IgG |
| Class | Polyclonal |
| Type | Antibody |
| Immunogen |
CatNo: Ag7713 Product name: Recombinant human ASNA1 protein Source: e coli.-derived, PGEX-4T Tag: GST Domain: 1-348 aa of BC002651 Sequence: MAAGVAGWGVEAEEFEDAPDVEPLEPTLSNIIEQRSLKWIFVGGKGGVGKTTCSCSLAVQLSKGRESVLIISTDPAHNISDAFDQKFSKVPTKVKGYDNLFAMEIDPSLGVAELPDEFFEEDNMLSMGKKMMQEAMSAFPGIDEAMSYAEVMRLVKGMNFSVVVFDTAPTGHTLRLLNFPTIVERGLGRLMQIKNQISPFISQMCNMLGLGDMNADQLASKLEETLPVIRSVSEQFKDPEQTTFICVCIAEFLSLYETERLIQELAKCKIDTHNIIVNQLVFPDPEKPCKMCEARHKIQAKYLDQMEDLYEDFHIVKLPLLPHEVRGADKVNTFSALLLEPYKPPSAQ Predict reactive species |
| Full Name | arsA arsenite transporter, ATP-binding, homolog 1 (bacterial) |
| Calculated Molecular Weight | 38.7 kDa |
| Observed Molecular Weight | 37-41 kDa |
| GenBank Accession Number | BC002651 |
| Gene Symbol | ASNA1 |
| Gene ID (NCBI) | 439 |
| RRID | AB_2060110 |
| Conjugate | Unconjugated |
| Form | Liquid |
| Purification Method | Antigen affinity purification |
| UNIPROT ID | O43681 |
| Storage Buffer | PBS with 0.02% sodium azide and 50% glycerol, pH 7.3. |
| Storage Conditions | Store at -20°C. Stable for one year after shipment. Aliquoting is unnecessary for -20oC storage. 20ul sizes contain 0.1% BSA. |
Background Information
ASNA1 (also known as TRC40) is a highly conserved ATPase involved in efflux of arsenite and antimonite. Reduced ASNA1 expression is associated with significant inhibition of cell growth, increased apoptosis and increased sensitivity to DDP and arsenite.Thus ASNA1 is proposed to be a target to overcome resistance to cancer chemotherapy. In addition, ASNA1 has been identified as an ER targeting factor for tail-anchored proteins in the posttranslational membrane insertion pathway.
Protocols
| Product Specific Protocols | |
|---|---|
| IF protocol for ASNA1 antibody 15450-1-AP | Download protocol |
| IHC protocol for ASNA1 antibody 15450-1-AP | Download protocol |
| IP protocol for ASNA1 antibody 15450-1-AP | Download protocol |
| WB protocol for ASNA1 antibody 15450-1-AP | Download protocol |
| Standard Protocols | |
|---|---|
| Click here to view our Standard Protocols |
Publications
| Species | Application | Title |
|---|---|---|
Mol Cell Molecular machinery for insertion of tail-anchored membrane proteins into the endoplasmic reticulum membrane in mammalian cells. | ||
J Cell Sci Emery-Dreifuss muscular dystrophy mutations impair TRC40-mediated targeting of emerin to the inner nuclear membrane.
| ||
J Cell Sci An alternative membrane topology permits lipid droplet localization of peroxisomal fatty acyl-CoA reductase 1.
| ||
J Biol Chem ER entry pathway and glycosylation of GPI-anchored proteins are determined by N-terminal signal sequence and C-terminal GPI-attachment sequence | ||
FEBS Lett Human SND2 mediates ER targeting of GPI-anchored proteins with low hydrophobic GPI attachment signals. |















