Tested Applications
| Positive WB detected in | mouse spleen tissue, rat spleen tissue, mouse thymus tissue, rat thymus tissue |
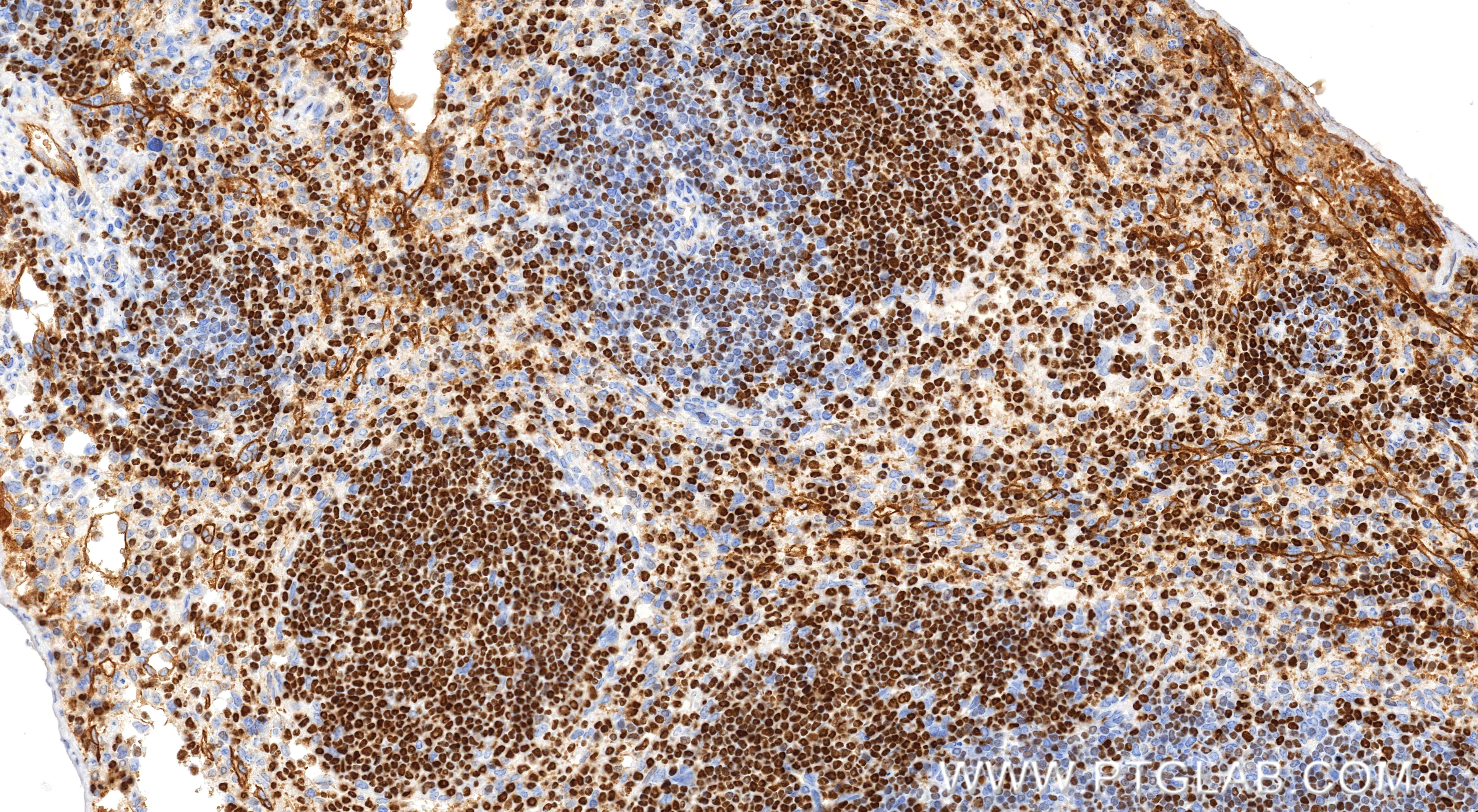
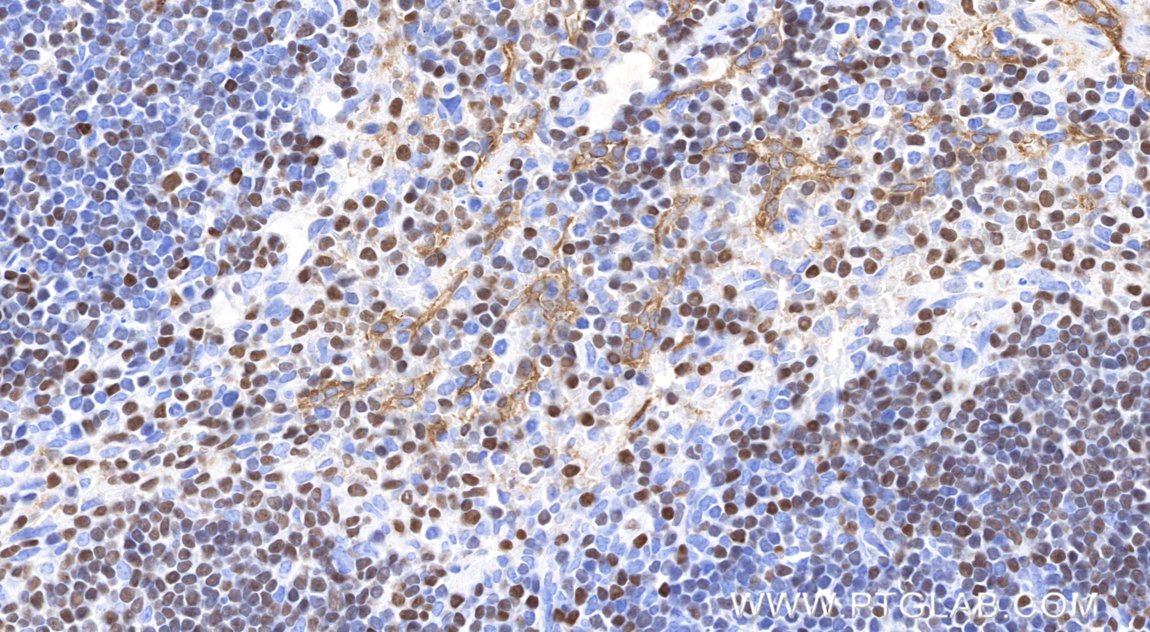
| Positive IHC detected in | mouse spleen tissue Note: suggested antigen retrieval with TE buffer pH 9.0; (*) Alternatively, antigen retrieval may be performed with citrate buffer pH 6.0 |
Recommended dilution
| Application | Dilution |
|---|---|
| Western Blot (WB) | WB : 1:5000-1:50000 |
| Immunohistochemistry (IHC) | IHC : 1:2500-1:10000 |
| It is recommended that this reagent should be titrated in each testing system to obtain optimal results. | |
| Sample-dependent, Check data in validation data gallery. | |
Product Information
85752-2-RR targets Aiolos/IKZF3 in WB, IHC, ELISA applications and shows reactivity with human, mouse, rat samples.
| Tested Reactivity | human, mouse, rat |
| Host / Isotype | Rabbit / IgG |
| Class | Recombinant |
| Type | Antibody |
| Immunogen |
CatNo: Ag5537 Product name: Recombinant human IKZF3 protein Source: e coli.-derived, PET28a Tag: 6*His Domain: 209-509 aa of BC032707 Sequence: RSYKQRSSLEEHKERCRTFLQSTDPGDTASAEARHIKAEMGSERALVLDRLASNVAKRKSSMPQKFIGEKRHCFDVNYNSSYMYEKESELIQTRMMDQAINNAISYLGAEALRPLVQTPPAPTSEMVPVISSMYPIALTRAEMSNGAPQELEKKSIHLPEKSVPSERGLSPNNSGHDSTDTDSNHEERQNHIYQQNHMVLSRARNGMPLLKEVPRSYELLKPPPICPRDSVKVINKEGEVMDVYRCDHCRVLFLDYVMFTIHMGCHGFRDPFECNMCGYRSHDRYEFSSHIARGEHRALLK Predict reactive species |
| Full Name | IKAROS family zinc finger 3 (Aiolos) |
| Calculated Molecular Weight | 509 aa, 58 kDa |
| Observed Molecular Weight | 70 kDa |
| GenBank Accession Number | BC032707 |
| Gene Symbol | IKZF3 |
| Gene ID (NCBI) | 22806 |
| Conjugate | Unconjugated |
| Form | Liquid |
| Purification Method | Protein A purification |
| UNIPROT ID | Q9UKT9 |
| Storage Buffer | PBS with 0.02% sodium azide and 50% glycerol, pH 7.3. |
| Storage Conditions | Store at -20°C. Stable for one year after shipment. Aliquoting is unnecessary for -20oC storage. 20ul sizes contain 0.1% BSA. |
Background Information
IKZF3, also named as Zinc finger protein Aiolos or ZNFN1A3, is a 509 amino acid protein, which contains 6 C2H2-type zinc fingers and belongs to the Ikaros C2H2-type zinc-finger protein family. IKZF3 localizes in the nucleus and cytoplasm. IKZF3 can form homodimer, and heterodimer with other IKAROS family members. IKZF3 is expressed most strongly in peripheral blood leukocytes, the spleen, and the thymus. IKZF3 as a transcription factor plays an important role in the regulation of lymphocyte differentiation. The calculated molecular weight of IKZF3 is 58 kDa, but the modified IKZF3 protein is about 65-70 kDa.
Protocols
| Product Specific Protocols | |
|---|---|
| IHC protocol for Aiolos/IKZF3 antibody 85752-2-RR | Download protocol |
| WB protocol for Aiolos/IKZF3 antibody 85752-2-RR | Download protocol |
| Standard Protocols | |
|---|---|
| Click here to view our Standard Protocols |





