BST2 Recombinant monoclonal antibody

BST2 Uni-rAb® Recombinant Antibody for WB, IHC, ELISA
Cat No. 85614-4-RR
Clone No.242938E6

Host / Isotype

Rabbit / IgG

Reactivity

mouse

Applications

WB, IHC, ELISA

Bone marrow stromal antigen 2, BST-2, CD317, HM1.24 antigen

Formulation:  PBS, Azide, Glycerol
PBS, Azide, Glycerol
PBS Only
Conjugate:  Unconjugated
Unconjugated
Size/Concentration: 

-/ -

Freight/Packing: -

Quantity

Please visit your regions distributor:


Tested Applications

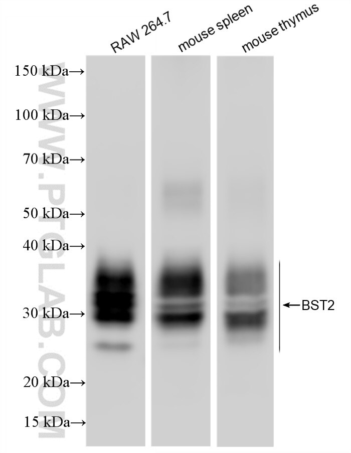
Positive WB detected inRAW 264.7 cells, mouse spleen tissue, mouse thymus tissue
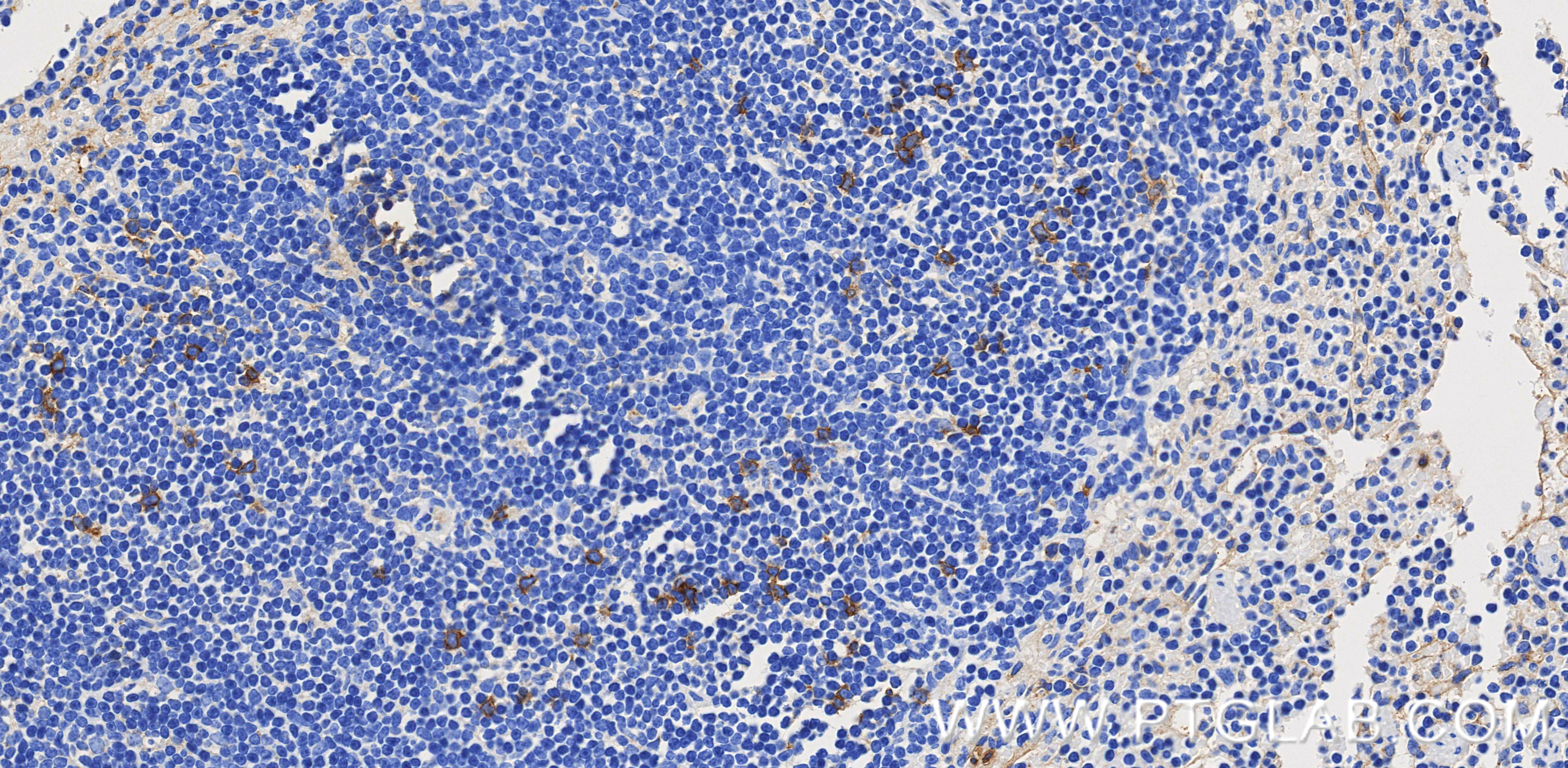
Positive IHC detected inmouse spleen tissue
Note: suggested antigen retrieval with TE buffer pH 9.0; (*) Alternatively, antigen retrieval may be performed with citrate buffer pH 6.0

Recommended dilution

ApplicationDilution
Western Blot (WB)WB : 1:2000-1:10000
Immunohistochemistry (IHC)IHC : 1:1000-1:4000
It is recommended that this reagent should be titrated in each testing system to obtain optimal results.
Sample-dependent, Check data in validation data gallery.

Product Information

85614-4-RR targets BST2 in WB, IHC, ELISA applications and shows reactivity with mouse samples.

Tested Reactivity mouse
Host / Isotype Rabbit / IgG
Class Recombinant
Type Antibody
Immunogen

CatNo: Eg2669

Product name: Recombinant Mouse Bst2 protein (rFc Tag)

Source: mammalian cells-derived, V37

Tag: C-rFc

Domain: 52-152 aa of NM_198095.2

Sequence: TANSVACRDGLRAQAECRNTTHLLQRQLTRTQDSLLQAETQANSCNLTVVTLQESLEKKVSQALEQQARIKELENEVTKLNQELENLRIQKETSSTVQVNS

Predict reactive species
Full Name bone marrow stromal cell antigen 2
Calculated Molecular Weight19 kDa
Observed Molecular Weight 30-36 kDa
GenBank Accession NumberNM_198095.2
Gene Symbol Bst2
Gene ID (NCBI) 69550
Conjugate Unconjugated
FormLiquid
Purification MethodProtein A purification
UNIPROT IDQ8R2Q8
Storage Buffer PBS with 0.02% sodium azide and 50% glycerol, pH 7.3.
Storage ConditionsStore at -20°C. Stable for one year after shipment. Aliquoting is unnecessary for -20oC storage. 20ul sizes contain 0.1% BSA.

Background Information

BST2, also named as CD317 and Tetherin, belongs to the tetherin family. It may be involved in the sorting of secreted proteins and it is involved in pre-B-cell growth. BST2 is an antiretroviral defense protein, that blocks release of retrovirus from the cell surface. Depleted unpon HIV-1 infection by viral VPU protein through 20S proteasome degradation. Depleted upon infection by human Kaposi's sarcoma-associated herpesvirus (KSHV) through ubiquitination and subsequent degradation. BST2 may play a role in B-cell activation in rheumatoid arthritis. It is recently identified interferon-induced cellular proteins that restrict infections by retroviruses and filoviruses and of influenza virus and flaviviruses, respectively. BST2 is a plasma membrane proteins, tetherin inhibits virion particle release from infected cells. BST2 is effective against retroviruses and flavoviruses whilst IFITMs disrupt influenza and flavivirus infection. Observed MW of BST2 is 30-36 kDa (PMID: 19196977; 21237475).

Protocols

Product Specific Protocols
IHC protocol for BST2 antibody 85614-4-RRDownload protocol
WB protocol for BST2 antibody 85614-4-RRDownload protocol
Standard Protocols
Click here to view our Standard Protocols
Loading...
||
New chat

Able

正在加载,请稍候...