Tested Applications
| Positive WB detected in | A375 cells, PANC-1 cells |
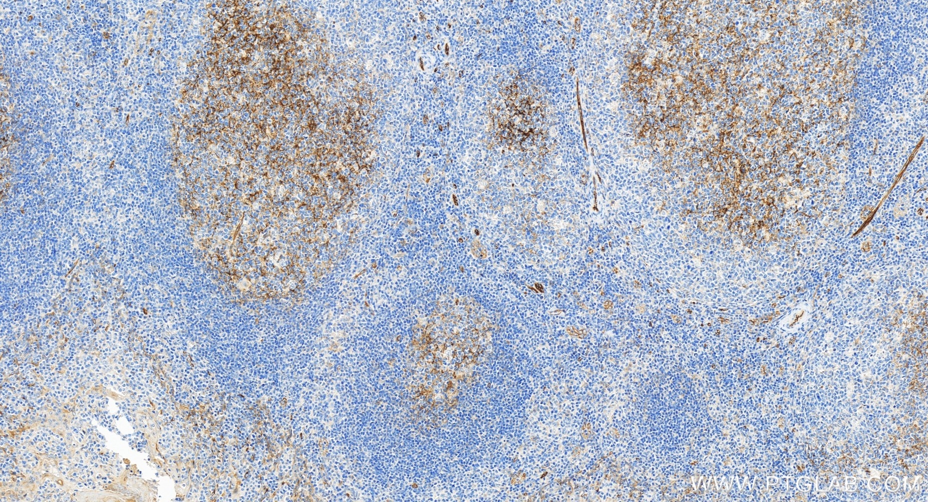
| Positive IHC detected in | human tonsillitis tissue Note: suggested antigen retrieval with TE buffer pH 9.0; (*) Alternatively, antigen retrieval may be performed with citrate buffer pH 6.0 |
Recommended dilution
| Application | Dilution |
|---|---|
| Western Blot (WB) | WB : 1:5000-1:50000 |
| Immunohistochemistry (IHC) | IHC : 1:400-1:1600 |
| It is recommended that this reagent should be titrated in each testing system to obtain optimal results. | |
| Sample-dependent, Check data in validation data gallery. | |
Product Information
85924-4-RR targets CD109 in WB, IHC, ELISA applications and shows reactivity with human samples.
| Tested Reactivity | human |
| Host / Isotype | Rabbit / IgG |
| Class | Recombinant |
| Type | Antibody |
| Immunogen |
CatNo: Eg2673 Product name: Recombinant Human CD109 protein (rFc Tag) Source: mammalian cells-derived, V37 Tag: C-rFc Domain: 22-1268 aa of NM_133493.5 Sequence: VAPGPRFLVTAPGIIRPGGNVTIGVELLEHCPSQVTVKAELLKTASNLTVSVLEAEGVFEKGSFKTLTLPSLPLNSADEIYELRVTGRTQDEILFSNSTRLSFETKRISVFIQTDKALYKPKQEVKFRIVTLFSDFKPYKTSLNILIKDPKSNLIQQWLSQQSDLGVISKTFQLSSHPILGDWSIQVQVNDQTYYQSFQVSEYVLPKFEVTLQTPLYCSMNSKHLNGTITAKYTYGKPVKGDVTLTFLPLSFWGKKKNITKTFKINGSANFSFNDEEMKNVMDSSNGLSEYLDLSSPGPVEILTTVTESVTGISRNVSTNVFFKQHDYIIEFFDYTTVLKPSLNFTATVKVTRADGNQLTLEERRNNVVITVTQRNYTEYWSGSNSGNQKMEAVQKINYTVPQSGTFKIEFPILEDSSELQLKAYFLGSKSSMAVHSLFKSPSKTYIQLKTRDENIKVGSPFELVVSGNKRLKELSYMVVSRGQLVAVGKQNSTMFSLTPENSWTPKACVIVYYIEDDGEIISDVLKIPVQLVFKNKIKLYWSKVKAEPSEKVSLRISVTQPDSIVGIVAVDKSVNLMNASNDITMENVVHELELYNTGYYLGMFMNSFAVFQECGLWVLTDANLTKDYIDGVYDNAEYAERFMEENEGHIVDIHDFSLGSSPHVRKHFPETWIWLDTNMGSRIYQEFEVTVPDSITSWVATGFVISEDLGLGLTTTPVELQAFQPFFIFLNLPYSVIRGEEFALEITIFNYLKDATEVKVIIEKSDKFDILMTSNEINATGHQQTLLVPSEDGATVLFPIRPTHLGEIPITVTALSPTASDAVTQMILVKAEGIEKSYSQSILLDLTDNRLQSTLKTLSFSFPPNTVTGSERVQITAIGDVLGPSINGLASLIRMPYGCGEQNMINFAPNIYILDYLTKKKQLTDNLKEKALSFMRQGYQRELLYQREDGSFSAFGNYDPSGSTWLSAFVLRCFLEADPYIDIDQNVLHRTYTWLKGHQKSNGEFWDPGRVIHSELQGGNKSPVTLTAYIVTSLLGYRKYQPNIDVQESIHFLESEFSRGISDNYTLALITYALSSVGSPKAKEALNMLTWRAEQEGGMQFWVSSESKLSDSWQPRSLDIEVAAYALLSHFLQFQTSEGIPIMRWLSRQRNSLGGFASTQDTTVALKALSEFAALMNTERTNIQVTVTGPSSPSPVKFLIDTHNRLLLQTAELAVVQPMAVNISANGFGFAICQLNVVYNVKASGS Predict reactive species |
| Full Name | CD109 molecule |
| Calculated Molecular Weight | 162 kDa |
| Observed Molecular Weight | 180 kDa |
| GenBank Accession Number | NM_133493.5 |
| Gene Symbol | CD109 |
| Gene ID (NCBI) | 135228 |
| RRID | AB_3744477 |
| Conjugate | Unconjugated |
| Form | Liquid |
| Purification Method | Protein A purification |
| UNIPROT ID | Q6YHK3-1 |
| Storage Buffer | PBS with 0.02% sodium azide and 50% glycerol, pH 7.3. |
| Storage Conditions | Store at -20°C. Stable for one year after shipment. Aliquoting is unnecessary for -20oC storage. 20ul sizes contain 0.1% BSA. |
Background Information
CD109, also named as CPAMD7, is a member of the alpha2-macroglobulin/complement superfamily. It is a glycosylphosphatidylinositol (GPI)-linked cell surface glycoprotein of approximately 170kd which is found on the cell surface of platelets, activated T-cells, and endothelial cells. CD109 binds to and negatively regulates signaling of transforming growth factor beta (TGF-beta). CD109 has been identified as part of the TGF-beta receptor system in human keratinocytes. Up regulation of CD109 expression has been observed in several different types of tumor.CD109 is a glycosyl-phosphatidylinositol-anchored glycoprotein that is a member of the a2-macroglobulin/C3, C4, C5 family of thioester-containing proteins. There're 2 forms of 150 (p150) and 120 kDa (p120) exist due to proteolytic degradation from a 180 kDa form.
Protocols
| Product Specific Protocols | |
|---|---|
| IHC protocol for CD109 antibody 85924-4-RR | Download protocol |
| WB protocol for CD109 antibody 85924-4-RR | Download protocol |
| Standard Protocols | |
|---|---|
| Click here to view our Standard Protocols |



