Tested Applications
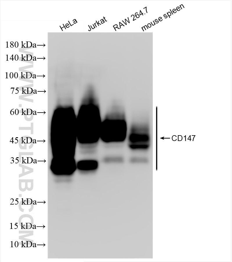
| Positive WB detected in | HeLa cells, Jurkat cells, RAW 264.7 cells, mouse spleen tissue |
| Positive IF/ICC detected in | A431 cells |
Recommended dilution
| Application | Dilution |
|---|---|
| Western Blot (WB) | WB : 1:5000-1:50000 |
| Immunofluorescence (IF)/ICC | IF/ICC : 1:500-1:2000 |
| It is recommended that this reagent should be titrated in each testing system to obtain optimal results. | |
| Sample-dependent, Check data in validation data gallery. | |
Product Information
82909-8-RR targets CD147 in WB, IF/ICC, ELISA applications and shows reactivity with human, mouse samples.
| Tested Reactivity | human, mouse |
| Host / Isotype | Rabbit / IgG |
| Class | Recombinant |
| Type | Antibody |
| Immunogen |
CatNo: Eg0436 Product name: Recombinant Human CD147 protein (His Tag)(HPLC verified) Source: mammalian cells-derived, pHZ-KIsec-C-6*HIS Tag: C-6*HIS Domain: 138-323 aa of BC009040 Sequence: EPGTVFTTVEDLGSKILLTCSLNDSATEVTGHRWLKGGVVLKEDALPGQKTEFKVDSDDQWGEYSCVFLPEPMGTANIQLHGPPRVKAVKSSEHINEGETAMLVCKSESVPPVTDWAWYKITDSEDKALMNGSESRFFVSSSQGRSELHIENLNMEADPGQYRCNGTSSKGSDQAIITLRVRSHLA Predict reactive species |
| Full Name | basigin (Ok blood group) |
| Calculated Molecular Weight | 385 aa, 42 kDa |
| Observed Molecular Weight | 35-60 kDa |
| GenBank Accession Number | BC009040 |
| Gene Symbol | CD147 |
| Gene ID (NCBI) | 682 |
| Conjugate | Unconjugated |
| Form | Liquid |
| Purification Method | Protein A purification |
| UNIPROT ID | P35613 |
| Storage Buffer | PBS with 0.02% sodium azide and 50% glycerol, pH 7.3. |
| Storage Conditions | Store at -20°C. Stable for one year after shipment. Aliquoting is unnecessary for -20oC storage. 20ul sizes contain 0.1% BSA. |
Background Information
CD147, also known as Basigin or extracellular matrix metalloproteinase inducer (EMMPRIN), is a transmembrane glycoprotein that belongs to the immunoglobulin superfamily (PMID: 7812975). The molecule is composed of an intracellular portion, an extracellular portion and a single transmembrane region. CD147 is expressed on a variety of cell types (e.g., hematopoietic, epithelial, and endothelial cells) and at varying levels (PMID: 32968061). Increased expression of CD147 occurs in many tumors. CD147 is a pleiotropic molecule that plays an important role in fetal, neuronal, lymphocyte and extracellular matrix development (PMID: 17945211). CD147 has been identified as a receptor essential for erythrocyte invasion by Plasmodium falciparum (PMID: 22080952). It has been reported that spike protein of SARS-CoV-2 binds to CD147 on host cells, thereby mediating the viral invasion (Wang, Ke, et al, BioRxiv, 2020).





