Tested Applications
| Positive WB detected in | Jurkat cells, HL-60 cells, THP-1 cells |
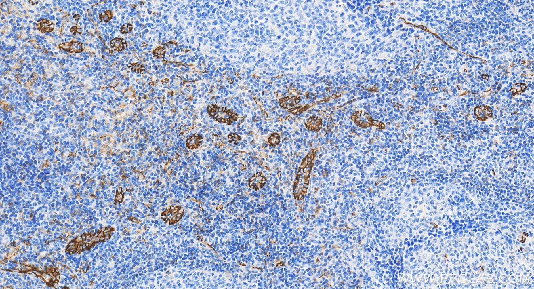
| Positive IHC detected in | human tonsillitis tissue, human placenta tissue Note: suggested antigen retrieval with TE buffer pH 9.0; (*) Alternatively, antigen retrieval may be performed with citrate buffer pH 6.0 |
| Positive IF/ICC detected in | HUVEC cells |
Recommended dilution
| Application | Dilution |
|---|---|
| Western Blot (WB) | WB : 1:5000-1:50000 |
| Immunohistochemistry (IHC) | IHC : 1:500-1:2000 |
| Immunofluorescence (IF)/ICC | IF/ICC : 1:400-1:1600 |
| It is recommended that this reagent should be titrated in each testing system to obtain optimal results. | |
| Sample-dependent, Check data in validation data gallery. | |
Product Information
80773-4-RR targets CD31 in WB, IHC, IF/ICC, ELISA applications and shows reactivity with human samples.
| Tested Reactivity | human |
| Host / Isotype | Rabbit / IgG |
| Class | Recombinant |
| Type | Antibody |
| Immunogen |
CatNo: Eg4658 Product name: Recombinant Human CD31 protein (rFc Tag) Source: mammalian cells-derived, V37 Tag: C-rFc Domain: 28-601 aa of NM_000442.5 Sequence: QENSFTINSVDMKSLPDWTVQNGKNLTLQCFADVSTTSHVKPQHQMLFYKDDVLFYNISSMKSTESYFIPEVRIYDSGTYKCTVIVNNKEKTTAEYQVLVEGVPSPRVTLDKKEAIQGGIVRVNCSVPEEKAPIHFTIEKLELNEKMVKLKREKNSRDQNFVILEFPVEEQDRVLSFRCQARIISGIHMQTSESTKSELVTVTESFSTPKFHISPTGMIMEGAQLHIKCTIQVTHLAQEFPEIIIQKDKAIVAHNRHGNKAVYSVMAMVEHSGNYTCKVESSRISKVSSIVVNITELFSKPELESSFTHLDQGERLNLSCSIPGAPPANFTIQKEDTIVSQTQDFTKIASKSDSGTYICTAGIDKVVKKSNTVQIVVCEMLSQPRISYDAQFEVIKGQTIEVRCESISGTLPISYQLLKTSKVLENSTKNSNDPAVFKDNPTEDVEYQCVADNCHSHAKMLSEVLRVKVIAPVDEVQISILSSKVVESGEDIVLQCAVNEGSGPITYKFYREKEGKPFYQMTSNATQAFWTKQKASKEQEGEYYCTAFNRANHASSVPRSKILTVRVILAPWKK Predict reactive species |
| Full Name | platelet/endothelial cell adhesion molecule |
| Calculated Molecular Weight | 83 kDa |
| Observed Molecular Weight | 130-150 kDa |
| GenBank Accession Number | NM_000442.5 |
| Gene Symbol | CD31 |
| Gene ID (NCBI) | 5175 |
| ENSEMBL Gene ID | ENSG00000261371 |
| RRID | AB_3743354 |
| Conjugate | Unconjugated |
| Form | Liquid |
| Purification Method | Protein A purification |
| UNIPROT ID | P16284-1 |
| Storage Buffer | PBS with 0.02% sodium azide and 50% glycerol, pH 7.3. |
| Storage Conditions | Store at -20°C. Stable for one year after shipment. Aliquoting is unnecessary for -20oC storage. 20ul sizes contain 0.1% BSA. |
Background Information
Platelet endothelial cell adhesion molecule-1 (PECAM-1, CD31) is a member of the immunoglobulin gene superfamily of cell adhesion molecules. CD31 is a transmembrane glycoprotein that is highly expressed on the surface of the endothelium, making up a large portion of its intracellular junctions. PECAM-1 is also present on the surface of hematopoietic cells and immune cells including platelets, monocytes, neutrophils, natural killer cells, megakaryocytes and some types of T-cell (PMID: 9011572). As well as its role in cell-cell adhesion, PECAM-1 functions as a signaling receptor, and is involved in important physiological events such as nitric oxide production, regulation of T-cell immunity and tolerance, leukocyte transendothelial migration and inflammation and angiogenesis (PMID: 21183735; 20978210; 17872453; 20634489).
Protocols
| Product Specific Protocols | |
|---|---|
| IF protocol for CD31 antibody 80773-4-RR | Download protocol |
| IHC protocol for CD31 antibody 80773-4-RR | Download protocol |
| WB protocol for CD31 antibody 80773-4-RR | Download protocol |
| Standard Protocols | |
|---|---|
| Click here to view our Standard Protocols |







