Tested Applications
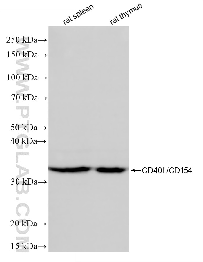
| Positive WB detected in | J774A.1 cells, rat spleen tissue, CTLL-2 cells, rat thymus tissue |
Recommended dilution
| Application | Dilution |
|---|---|
| Western Blot (WB) | WB : 1:2000-1:18000 |
| It is recommended that this reagent should be titrated in each testing system to obtain optimal results. | |
| Sample-dependent, Check data in validation data gallery. | |
Product Information
83884-3-RR targets CD40L/CD154 in WB, ELISA applications and shows reactivity with mouse, rat samples.
| Tested Reactivity | mouse, rat |
| Host / Isotype | Rabbit / IgG |
| Class | Recombinant |
| Type | Antibody |
| Immunogen |
CatNo: Eg0990 Product name: Recombinant Mouse CD40 Ligand/TNFSF5 protein (His Tag) Source: mammalian cells-derived, pHZ-KIsec-C-6*HIS Tag: N-His Domain: 115-260 aa of NM_011616.2 Sequence: GDEDPQIAAHVVSEANSNAASVLQWAKKGYYTMKSNLVMLENGKQLTVKREGLYYVYTQVTFCSNREPSSQRPFIVGLWLKPSSGSERILLKAANTHSSSQLCEQQSVHLGGVFELQAGASVFVNVTEASQVIHRVGFSSFGLLKL Predict reactive species |
| Full Name | CD40 ligand |
| Calculated Molecular Weight | 29 kDa |
| Observed Molecular Weight | 32 kDa |
| GenBank Accession Number | NM_011616.2 |
| Gene Symbol | CD154 |
| Gene ID (NCBI) | 21947 |
| RRID | AB_3671466 |
| Conjugate | Unconjugated |
| Form | Liquid |
| Purification Method | Protein A purfication |
| UNIPROT ID | P27548 |
| Storage Buffer | PBS with 0.02% sodium azide and 50% glycerol, pH 7.3. |
| Storage Conditions | Store at -20°C. Stable for one year after shipment. Aliquoting is unnecessary for -20oC storage. 20ul sizes contain 0.1% BSA. |
Background Information
The CD40 ligand (CD40L, TRAP, CD154), a member of the TNF superfamily of ligands, is expressed as either a 33 kDa transmembrane homologue or an 18 kDa soluble form (sCD154). CD40L is primarily expressed on activated CD4+ T cells and a small proportion of CD8+ T cells and platelets. It binds to CD40 on antigen-presenting cells (APC), which leads to many effects depending on the target cell type. Recent studies have suggested that CD40/CD40L interactions regulate oxidative stress and affect various signaling pathways in both the immunological and the cardiovascular systems. The CD40/CD40L system is also involved in tumorigenesis.
Protocols
| Product Specific Protocols | |
|---|---|
| WB protocol for CD40L/CD154 antibody 83884-3-RR | Download protocol |
| Standard Protocols | |
|---|---|
| Click here to view our Standard Protocols |





