Tested Applications
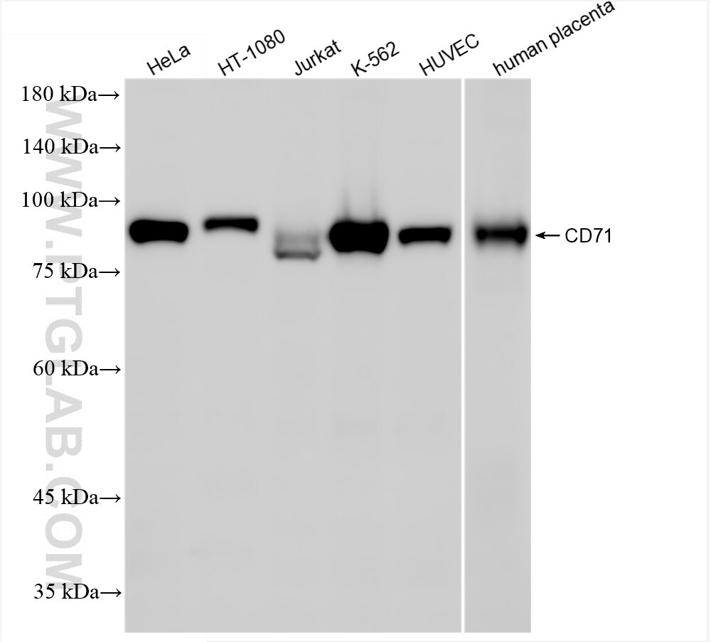
| Positive WB detected in | HeLa cells, HT-1080 cells, Jurkat cells, K-562 cells, HUVEC cells, human placenta tissue |
Recommended dilution
| Application | Dilution |
|---|---|
| Western Blot (WB) | WB : 1:5000-1:50000 |
| It is recommended that this reagent should be titrated in each testing system to obtain optimal results. | |
| Sample-dependent, Check data in validation data gallery. | |
Product Information
81793-5-RR targets CD71 in WB, ELISA applications and shows reactivity with human samples.
| Tested Reactivity | human |
| Host / Isotype | Rabbit / IgG |
| Class | Recombinant |
| Type | Antibody |
| Immunogen |
CatNo: Eg0339 Product name: Recombinant Human Transferrin R/CD71 protein (His Tag) Source: mammalian cells-derived, pHZ-KIsec-C-6*HIS Tag: N-6*HIS Sequence: CKGVEPKTECERLAGTESPVREEPGEDFPAARRLYWDDLKRKLSEKLDSTDFTSTIKLLNENSYVPREAGSQKDENLALYVENQFREFKLSKVWRDQHFVKIQVKDSAQNSVIIVDKNGRLVYLVENPGGYVAYSKAATVTGKLVHANFGTKKDFEDLYTPVNGSIVIVRAGKITFAEKVANAESLNAIGVLIYMDQTKFPIVNAELSFFGHAHLGTGDPYTPGFPSFNHTQFPPSRSSGLPNIPVQTISRAAAEKLFGNMEGDCPSDWKTDSTCRMVTSESKNVKLTVSNVLKEIKILNIFGVIKGFVEPDHYVVVGAQRDAWGPGAAKSGVGTALLLKLAQMFSDMVLKDGFQPSRSIIFASWSAGDFGSVGATEWLEGYLSSLHLKAFTYINLDKAVLGTSNFKVSASPLLYTLIEKTMQNVKHPVTGQFLYQDSNWASKVEKLTLDNAAFPFLAYSGIPAVSFCFCEDTDYPYLGTTMDTYKELIERIPELNKVARAAAEVAGQFVIKLTHDVELNLDYERYNSQLLSFVRDLNQYRADIKEMGLSLQWLYSARGDFFRATSRLTTDFGNAEKTDRFVMKKLNDRVMRVEYHFLSPYVSPKESPFRHVFWGSGSHTLPALLENLKLRKQNNGAFNETLFRNQLALATWTIQGAANALSGDVWDIDNEF Predict reactive species |
| Full Name | transferrin receptor (p90, CD71) |
| Calculated Molecular Weight | 85 kDa |
| Observed Molecular Weight | 85-90 kDa |
| Gene Symbol | CD71 |
| Gene ID (NCBI) | 7037 |
| ENSEMBL Gene ID | ENSG00000072274 |
| Conjugate | Unconjugated |
| Form | Liquid |
| Purification Method | Protein A purification |
| UNIPROT ID | P02786 |
| Storage Buffer | PBS with 0.02% sodium azide and 50% glycerol, pH 7.3. |
| Storage Conditions | Store at -20°C. Stable for one year after shipment. Aliquoting is unnecessary for -20oC storage. 20ul sizes contain 0.1% BSA. |
Background Information
CD71, also known as transferrin receptor protein 1 (TfR1), is a transmembrane glycoprotein composed of two disulfide-linked monomers, each of 90 kDa molecular weight. Each monomer binds one holo-transferrin molecule creating an iron-Tf-TfR complex that enters the cell by endocytosis. CD71 is present on actively proliferating cells and is essential for iron transport into proliferating cells.

