CDK5RAP3 Recombinant monoclonal antibody

CDK5RAP3 Uni-rAb® Recombinant Antibody for WB, IHC, IF/ICC, ELISA
Cat No. 86177-2-RR
Clone No.250801G11

Host / Isotype

Rabbit / IgG

Reactivity

human

Applications

WB, IHC, IF/ICC, ELISA

C53, CDK5 activator-binding protein C53, CDK5 regulatory subunit-associated protein 3, HSF 27, HSF27

Formulation:  PBS, Azide, Glycerol
PBS, Azide, Glycerol
PBS Only
Conjugate:  Unconjugated
Unconjugated
Size/Concentration: 

-/ -

Freight/Packing: -

Quantity

Please visit your regions distributor:


Tested Applications

Positive WB detected inHeLa cells, HepG2 cells, A431 cells, HEK-293T cells, Jurkat cells
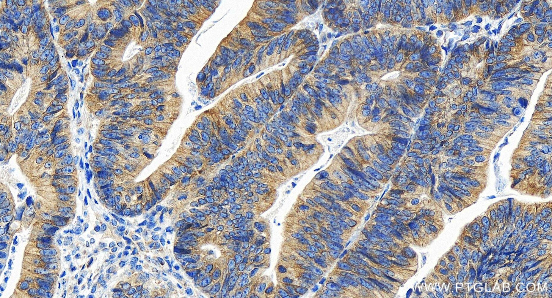
Positive IHC detected inhuman colon cancer tissue
Note: suggested antigen retrieval with TE buffer pH 9.0; (*) Alternatively, antigen retrieval may be performed with citrate buffer pH 6.0
Positive IF/ICC detected inHepG2 cells

Recommended dilution

ApplicationDilution
Western Blot (WB)WB : 1:5000-1:50000
Immunohistochemistry (IHC)IHC : 1:250-1:1000
Immunofluorescence (IF)/ICCIF/ICC : 1:50-1:500
It is recommended that this reagent should be titrated in each testing system to obtain optimal results.
Sample-dependent, Check data in validation data gallery.

Product Information

86177-2-RR targets CDK5RAP3 in WB, IHC, IF/ICC, ELISA applications and shows reactivity with human samples.

Tested Reactivity human
Host / Isotype Rabbit / IgG
Class Recombinant
Type Antibody
Immunogen

CatNo: Ag1474

Product name: Recombinant human CDK5RAP3 protein

Source: e coli.-derived, PGEX-4T

Tag: GST

Domain: 1-300 aa of BC009957

Sequence: MEDHQHVPIDIQTSKLLDWLVDRRHCSLKWQSLVLTIREKINAAIQDMPESEEIAQLLSGSYIHYFHCLRILDLLKGTEASTKNIFGRYSSQRMKDWQEIIALYEKDNTYLVELSSLLVRNVNYEIPSLKKQIAKCQQLQQEYSRKEEECQAGAAEMREQFYHSCKQYGITGENVRGELLALVKDLPSQLAEIGAAAQQSLGEAIDVYQASVGFVCESPTEQVLPMLRFVQKRGNSTVYEWRTGTEPSVVERPHLEELPEQVAEDAIDWGDFGVEAVSEGTDSGISAEAAGIDWGIFPES

Predict reactive species
Full Name CDK5 regulatory subunit associated protein 3
Calculated Molecular Weight 57 kDa
Observed Molecular Weight 65 kDa
GenBank Accession NumberBC009957
Gene Symbol CDK5RAP3
Gene ID (NCBI) 80279
Conjugate Unconjugated
FormLiquid
Purification MethodProtein A purification
UNIPROT IDQ96JB5
Storage Buffer PBS with 0.02% sodium azide and 50% glycerol, pH 7.3.
Storage ConditionsStore at -20°C. Stable for one year after shipment. Aliquoting is unnecessary for -20oC storage. 20ul sizes contain 0.1% BSA.

Background Information

Cyclin-dependent kinase 5 (CDK5) regulatory subunit associated protein 3 (CDK5RAP3, also named as C53 or LZAP) was initially identified as a binding protein of CDK5 activator p35. CDK5RAP3 is widely expressed in human tissues and broadly located in subcellular compartments. By interacting with other proteins, CDK5RAP3 participates in the regulation of multiple cellular processes including cell cycle, apoptosis, cell invasion, signaling transduction, autophagy, UFMylation and endoplasmic reticulum (ER) stress.

Protocols

Product Specific Protocols
IF protocol for CDK5RAP3 antibody 86177-2-RRDownload protocol
IHC protocol for CDK5RAP3 antibody 86177-2-RRDownload protocol
WB protocol for CDK5RAP3 antibody 86177-2-RRDownload protocol
Standard Protocols
Click here to view our Standard Protocols
Loading...
||
New chat

Able

正在加载,请稍候...