Tested Applications
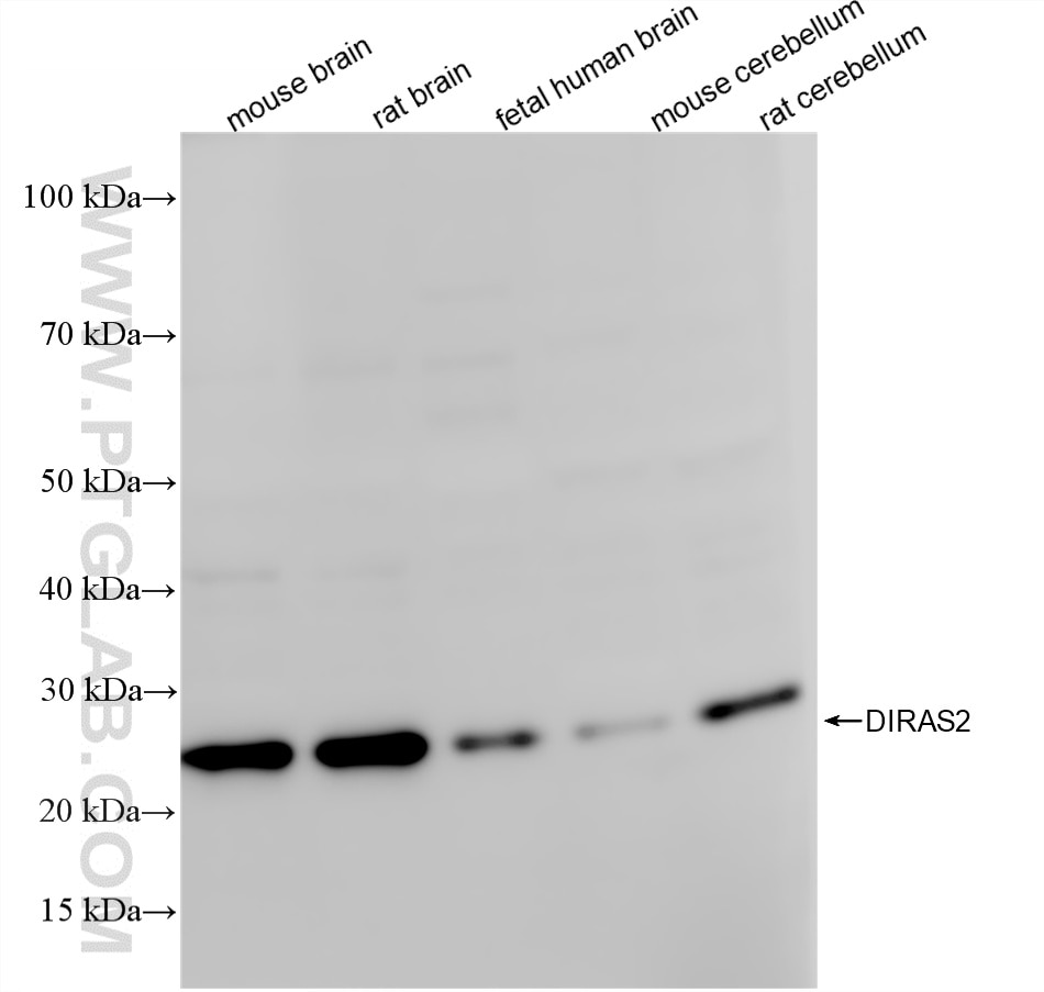
| Positive WB detected in | mouse brain tissue, rat brain tissue, fetal human brain tissue, mouse cerebellum tissue, rat cerebellum tissue |
Recommended dilution
| Application | Dilution |
|---|---|
| Western Blot (WB) | WB : 1:5000-1:50000 |
| It is recommended that this reagent should be titrated in each testing system to obtain optimal results. | |
| Sample-dependent, Check data in validation data gallery. | |
Product Information
86460-1-RR targets DIRAS2 in WB, ELISA applications and shows reactivity with human, mouse, rat samples.
| Tested Reactivity | human, mouse, rat |
| Host / Isotype | Rabbit / IgG |
| Class | Recombinant |
| Type | Antibody |
| Immunogen |
CatNo: Ag7926 Product name: Recombinant human DIRAS2 protein Source: e coli.-derived, PGEX-4T Tag: GST Domain: 1-199 aa of BC008065 Sequence: MPEQSNDYRVAVFGAGGVGKSSLVLRFVKGTFRESYIPTVEDTYRQVISCDKSICTLQITDTTGSHQFPAMQRLSISKGHAFILVYSITSRQSLEELKPIYEQICEIKGDVESIPIMLVGNKCDESPSREVQSSEAEALARTWKCAFMETSAKLNHNVKELFQELLNLEKRRTVSLQIDGKKSKQQKRKEKLKGKCVIM Predict reactive species |
| Full Name | DIRAS family, GTP-binding RAS-like 2 |
| Calculated Molecular Weight | 22 kDa |
| Observed Molecular Weight | 22 kDa |
| GenBank Accession Number | BC008065 |
| Gene Symbol | DIRAS2 |
| Gene ID (NCBI) | 54769 |
| Conjugate | Unconjugated |
| Form | Liquid |
| Purification Method | Protein A purification |
| UNIPROT ID | Q96HU8 |
| Storage Buffer | PBS with 0.02% sodium azide and 50% glycerol, pH 7.3. |
| Storage Conditions | Store at -20°C. Stable for one year after shipment. Aliquoting is unnecessary for -20oC storage. 20ul sizes contain 0.1% BSA. |
Background Information
GTP-binding protein Di-Ras2 (DIRAS2) is a member of the Ras-related small G-protein family. DIRAS2 regulated the phosphorylation of downstream effector proteins and activated the RAS/mitogen-activated protein kinase (MAPK) signaling pathway (PMID: 3216131). DIRAS2 interacted with 26S proteasome non-ATPase regulatory subunit 2, which facilitates the degradation of DIRAS2 in a proteasome-mediated way. DIRAS2 blocked nuclear factor kappa light-chain enhancer of activated B-cell (NF-κB) signaling pathways, inducing G0/G1 arrest. DIRAS2 inhibited CRC cell proliferation and affected cell-cycle protein expression (PMID: 35173535). DIRAS2 was proved to be an oncogene that activated the RAS-MAPK pathway to induce cell proliferation and metastasis in renal cell cancer (PMID: 3216131). DIRAS2 also shows its activity as a tumor-suppressor gene to induce autophagic cell death via modulating nuclear localization FOXO3/FOXO3A and TFEB (PMID: 29368982).
Protocols
| Product Specific Protocols | |
|---|---|
| WB protocol for DIRAS2 antibody 86460-1-RR | Download protocol |
| Standard Protocols | |
|---|---|
| Click here to view our Standard Protocols |

