Tested Applications
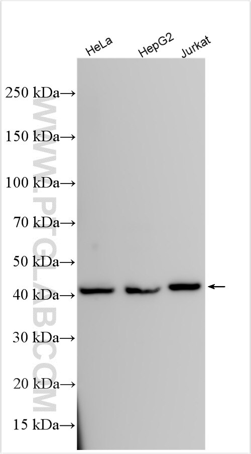
| Positive WB detected in | HeLa cells, HepG2 cells, Jurkat cells |
| Positive IHC detected in | human colon cancer tissue, mouse colon tissue, rat colon tissue Note: suggested antigen retrieval with TE buffer pH 9.0; (*) Alternatively, antigen retrieval may be performed with citrate buffer pH 6.0 |
| Positive IF/ICC detected in | HepG2 cells, A549 cells |
Recommended dilution
| Application | Dilution |
|---|---|
| Western Blot (WB) | WB : 1:500-1:2000 |
| Immunohistochemistry (IHC) | IHC : 1:500-1:2000 |
| Immunofluorescence (IF)/ICC | IF/ICC : 1:200-1:800 |
| It is recommended that this reagent should be titrated in each testing system to obtain optimal results. | |
| Sample-dependent, Check data in validation data gallery. | |
Published Applications
| WB | See 2 publications below |
| IF | See 2 publications below |
Product Information
11165-1-AP targets EIF3G in WB, IHC, IF/ICC, ELISA applications and shows reactivity with human, mouse, rat samples.
| Tested Reactivity | human, mouse, rat |
| Cited Reactivity | human, mouse |
| Host / Isotype | Rabbit / IgG |
| Class | Polyclonal |
| Type | Antibody |
| Immunogen |
CatNo: Ag1653 Product name: Recombinant human EIF3G protein Source: e coli.-derived, PGEX-4T Tag: GST Domain: 1-320 aa of BC000733 Sequence: MPTGDFDSKPSWADQVEEEGEDDKCVTSELLKGIPLATGDTSPEPELLPGAPLPPPKEVINGNIKTVTEYKIDEDGKKFKIVRTFRIETRKASKAVARRKNWKKFGNSEFDPPGPNVATTTVSDDVSMTFITSKEDLNCQEEEDPMNKLKGQKIVSCRICKGDHWTTRCPYKDTLGPMQKELAEQLGLSTGEKEKLPGELEPVQATQNKTGKYVPPSLRDGASRRGESMQPNRRADDNATIRVTNLSEDTRETDLQELFRPFGSISRIYLAKDKTTGQSKGFAFISFHRREDAARAIAGVSGFGYDHLILNVEWAKPSTN Predict reactive species |
| Full Name | eukaryotic translation initiation factor 3, subunit G |
| Calculated Molecular Weight | 36 kDa |
| Observed Molecular Weight | 44 kDa |
| GenBank Accession Number | BC000733 |
| Gene Symbol | EIF3G |
| Gene ID (NCBI) | 8666 |
| RRID | AB_2096911 |
| Conjugate | Unconjugated |
| Form | Liquid |
| Purification Method | Antigen affinity purification |
| UNIPROT ID | O75821 |
| Storage Buffer | PBS with 0.02% sodium azide and 50% glycerol, pH 7.3. |
| Storage Conditions | Store at -20°C. Stable for one year after shipment. Aliquoting is unnecessary for -20oC storage. 20ul sizes contain 0.1% BSA. |
Background Information
Eukaryotic translation initiation factor eIF3, that plays a central role in translation initiation, consists of five core subunits that are present in both the budding yeast and higher eukaryotes. The EIF-3 complex associates with the 40S ribosome and facilitates the recruitment of eIF-1, eIF-1A, eIF-2:GTP:methionyl-tRNAi and eIF-5 to form the 43S preinitiation complex. The complex stimulates mRNA recruitment to the 43S PIC and scanning of the mRNA for AUG recognition. It is also required for disassembly and recycling of post-termination ribosomal complexes and subsequently prevents premature joining of the 40S and 60S ribosomal subunits prior to initiation. EIF3G is a component of the EIF3 complex. [PMID:20679478,20503360]
Protocols
| Product Specific Protocols | |
|---|---|
| IF protocol for EIF3G antibody 11165-1-AP | Download protocol |
| IHC protocol for EIF3G antibody 11165-1-AP | Download protocol |
| WB protocol for EIF3G antibody 11165-1-AP | Download protocol |
| Standard Protocols | |
|---|---|
| Click here to view our Standard Protocols |
Publications
| Species | Application | Title |
|---|---|---|
Nat Chem Biol Dynamic eIF3a O-GlcNAcylation controls translation reinitiation during nutrient stress. | ||
PLoS Pathog The proximal proteome of 17 SARS-CoV-2 proteins links to disrupted antiviral signaling and host translation. | ||
Cell Death Dis Nitric oxide triggers the assembly of "type II" stress granules linked to decreased cell viability. | ||
Circulation ALDH2/eIF3E Interaction Modulates Protein Translation Critical for Cardiomyocyte Ferroptosis in Acute Myocardial Ischemia Injury | ||
Cell Rep N6-methyladenosine in 28S rRNA promotes oncogenic mRNA translation and tyrosine catabolism |

















