FSTL1 Recombinant monoclonal antibody

FSTL1 Uni-rAb® Recombinant Antibody for WB, ELISA
Cat No. 86444-1-RR
Clone No.251240E12

Host / Isotype

Rabbit / IgG

Reactivity

human, mouse, rat

Applications

WB, ELISA

Follistatin-like protein 1, Follistatin-related protein 1, Frp, Fstl, TGF-beta-inducible protein TSC-36

Formulation:  PBS, Azide, Glycerol
PBS, Azide, Glycerol
PBS Only
Conjugate:  Unconjugated
Unconjugated
Size/Concentration: 

-/ -

Freight/Packing: -

Quantity

Please visit your regions distributor:


Tested Applications

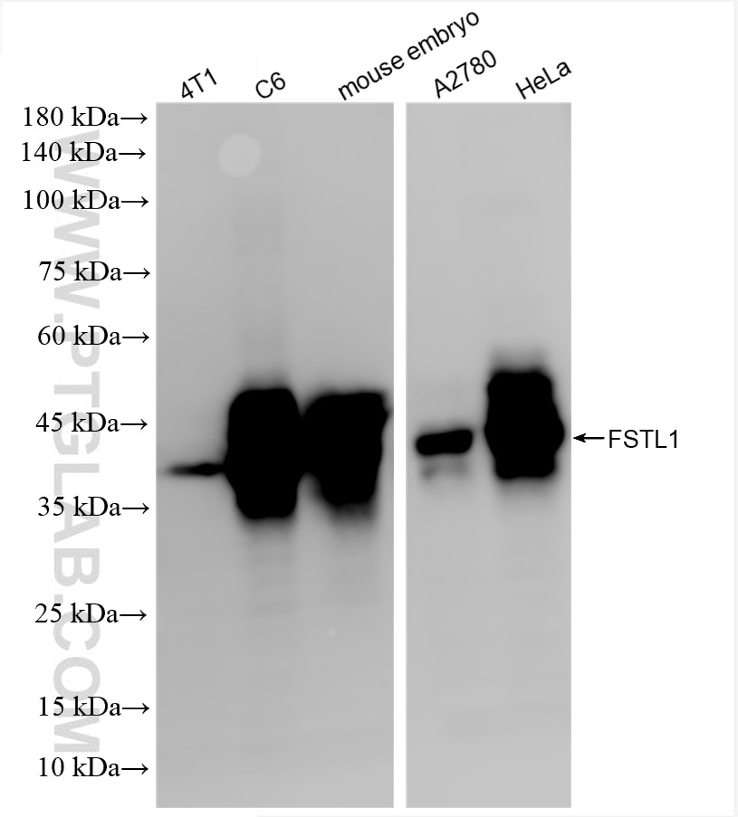
Positive WB detected in4T1 cells, C6 cells, mouse embryo tissue, A2780 cells, HeLa cells

Recommended dilution

ApplicationDilution
Western Blot (WB)WB : 1:5000-1:50000
It is recommended that this reagent should be titrated in each testing system to obtain optimal results.
Sample-dependent, Check data in validation data gallery.

Product Information

86444-1-RR targets FSTL1 in WB, ELISA applications and shows reactivity with human, mouse, rat samples.

Tested Reactivity human, mouse, rat
Host / Isotype Rabbit / IgG
Class Recombinant
Type Antibody
Immunogen

CatNo: Eg2859

Product name: Recombinant Mouse FSTL1 protein (rFc Tag)

Source: mammalian cells-derived, V37

Tag: C-rFc

Domain: 19-306 aa of NM_008047.5

Sequence: EEEPRSKSKICANVFCGAGRECAVTEKGEPTCLCIEQCKPHKRPVCGSNGKTYLNHCELHRDACLTGSKIQVDYDGHCKEKKSASPSASPVVCYQANRDELRRRLIQWLEAEIIPDGWFSKGSNYSEILDKYFKSFDNGDSHLDSSEFLKFVEQNETAINITTYADQENNKLLRSLCVDALIELSDENADWKLSFQEFLKCLNPSFNPPEKKCALEDETYADGAETEVDCNRCVCSCGHWVCTAMTCDGKNQKGVQTHTEEEKTGYVQELQKHQGTAEKTKKVNTKEI

Predict reactive species
Full Name follistatin-like 1
Calculated Molecular Weight35 kDa
Observed Molecular Weight35-45 kDa
GenBank Accession NumberNM_008047.5
Gene Symbol Fstl1
Gene ID (NCBI) 14314
Conjugate Unconjugated
FormLiquid
Purification MethodProtein A purification
UNIPROT IDQ62356
Storage Buffer PBS with 0.02% sodium azide and 50% glycerol, pH 7.3.
Storage ConditionsStore at -20°C. Stable for one year after shipment. Aliquoting is unnecessary for -20oC storage. 20ul sizes contain 0.1% BSA.

Background Information

Follistatin-like 1 (FSTL1), initially discovered as a TGF-β1-induced gene, encodes a 308 amino acid secreted 45-55 kDa glycoprotein with a follistatin domain and two non-functional calcium-binding motifs. FSTL1 has been reported to be involved in the fate determination and maturation of epithelial cells. Ablation of the FSTL1 gene in the mouse results in several structural developmental defects and neonatal lethality due to respiratory failure, demonstrating its functional importance. FSTL1 has been reported to exhibit both pro- and anti-inflammatory actions, with a specific anti-apoptotic and protective effect in cardiac or renal cell injury. Zwijsen et al. (1994) detected several isoforms of FSTL1 with molecular masses of 40 to 48 kD, which differ from the 50- to 55-kD products detected by Tanaka et al. (1998) (OMIM). (PMID: 26386648; PMID: 23723173; PMID: 20176958).

Protocols

Product Specific Protocols
WB protocol for FSTL1 antibody 86444-1-RRDownload protocol
Standard Protocols
Click here to view our Standard Protocols
Loading...
||
New chat

Able

正在加载,请稍候...