Tested Applications
| Positive WB detected in | SH-SY5Y cells, human brain tissue, mouse brain tissue |
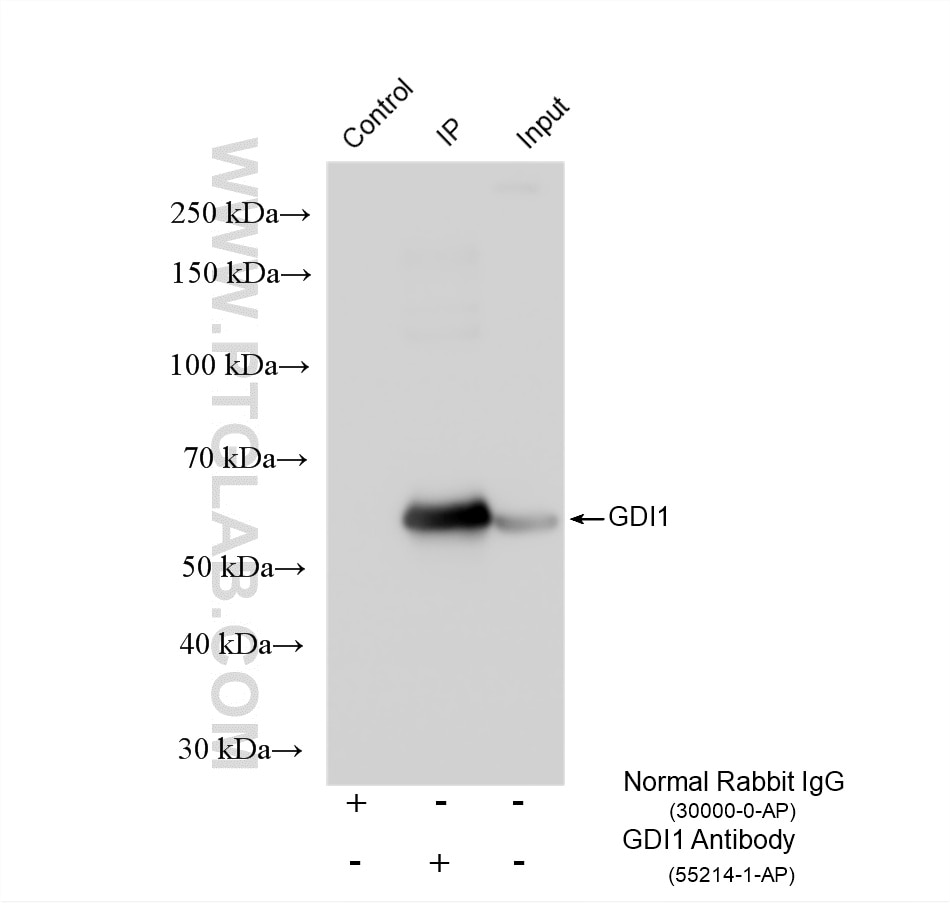
| Positive IP detected in | SH-SY5Y cells |
Recommended dilution
| Application | Dilution |
|---|---|
| Western Blot (WB) | WB : 1:500-1:2000 |
| Immunoprecipitation (IP) | IP : 0.5-4.0 ug for 1.0-3.0 mg of total protein lysate |
| It is recommended that this reagent should be titrated in each testing system to obtain optimal results. | |
| Sample-dependent, Check data in validation data gallery. | |
Product Information
55214-1-AP targets GDI1 in WB, IP, ELISA applications and shows reactivity with human, mouse, rat samples.
| Tested Reactivity | human, mouse, rat |
| Host / Isotype | Rabbit / IgG |
| Class | Polyclonal |
| Type | Antibody |
| Immunogen |
Peptide Predict reactive species |
| Full Name | GDP dissociation inhibitor 1 |
| Calculated Molecular Weight | 51 kDa |
| Observed Molecular Weight | 51-55 kDa |
| GenBank Accession Number | NM_001493 |
| Gene Symbol | GDI1 |
| Gene ID (NCBI) | 2664 |
| RRID | AB_10858798 |
| Conjugate | Unconjugated |
| Form | Liquid |
| Purification Method | Antigen affinity purification |
| UNIPROT ID | P31150 |
| Storage Buffer | PBS with 0.02% sodium azide and 50% glycerol, pH 7.3. |
| Storage Conditions | Store at -20°C. Stable for one year after shipment. Aliquoting is unnecessary for -20oC storage. 20ul sizes contain 0.1% BSA. |
Background Information
GDP dissociation inhibitors (GDIs) are proteins that regulate the GDP-GTP exchange reaction of members of the rab family. GDIs can bind and release GDP-bound Rab proteins from membranes. Two GDI proteins towards different Rab proteins have been identified. GDI1 interacts with almost all of the Rab proteins, while GDI2 interacts with Rabll but not Rab3A. GDI1 is expressed primarily in neural and sensory tissues and also in secretory cells, displaying a diffuse, cytoplasmic distribution in cells. It runs as a 55kda protein in SDS-PAGE. (PMID: 7929030,PMID: 19570034). Defects in GDI1 are the cause of mental retardation X-linked type 41 (MRX41). Defects in GDI1 are the cause of mental retardation X-linked type 48 (MRX48). The antibody is specific to GDI1. And it has no cross reaction to GDI2.
Protocols
| Product Specific Protocols | |
|---|---|
| IP protocol for GDI1 antibody 55214-1-AP | Download protocol |
| WB protocol for GDI1 antibody 55214-1-AP | Download protocol |
| Standard Protocols | |
|---|---|
| Click here to view our Standard Protocols |













