Tested Applications
| Positive WB detected in | MCF-7 cells, A549 cells, L02 cells |
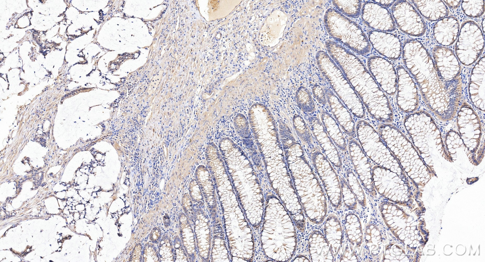
| Positive IHC detected in | human colon cancer tissue Note: suggested antigen retrieval with TE buffer pH 9.0; (*) Alternatively, antigen retrieval may be performed with citrate buffer pH 6.0 |
| Positive IF/ICC detected in | MCF-7 cells |
Recommended dilution
| Application | Dilution |
|---|---|
| Western Blot (WB) | WB : 1:2000-1:10000 |
| Immunohistochemistry (IHC) | IHC : 1:500-1:2000 |
| Immunofluorescence (IF)/ICC | IF/ICC : 1:200-1:800 |
| It is recommended that this reagent should be titrated in each testing system to obtain optimal results. | |
| Sample-dependent, Check data in validation data gallery. | |
Product Information
84385-3-RR targets IGF1R/CD221 in WB, IHC, IF/ICC, ELISA applications and shows reactivity with human samples.
| Tested Reactivity | human |
| Host / Isotype | Rabbit / IgG |
| Class | Recombinant |
| Type | Antibody |
| Immunogen |
Recombinant Protein Predict reactive species |
| Full Name | IGF I receptor |
| Calculated Molecular Weight | 1367 aa, 155 kDa |
| Observed Molecular Weight | 130 kDa |
| GenBank Accession Number | BC113612 |
| Gene Symbol | IGF1R |
| Gene ID (NCBI) | 3480 |
| RRID | AB_3671921 |
| Conjugate | Unconjugated |
| Form | Liquid |
| Purification Method | Protein A purfication |
| UNIPROT ID | P08069 |
| Storage Buffer | PBS with 0.02% sodium azide and 50% glycerol, pH 7.3. |
| Storage Conditions | Store at -20°C. Stable for one year after shipment. Aliquoting is unnecessary for -20oC storage. 20ul sizes contain 0.1% BSA. |
Background Information
IGF1R, also named as CD221, is a receptor tyrosine kinase which mediates actions of INS-like growth factor 1 (IGF1). IGF1R binds IGF1 with high affinity and IGF2 and INS with a lower affinity, the activated IGF1R is involved in cell growth and survival control. It is crucial for tumor transformation and survival of malignant cells. IGF1R is translated as ~220 kDa pro-receptors (PMID: 33969359). IGF1R is a heterotetrameric receptor, composed of two alpha subunits (~130 kDa) and two beta subunits (~100-120 kDa) (PMID: 6279656). Both the alpha and beta subunits are synthesized from a single mRNA precursor. The precursor is then glycosylated, proteolytically cleaved, and crosslinked by cysteine bonds.
Protocols
| Product Specific Protocols | |
|---|---|
| IF protocol for IGF1R/CD221 antibody 84385-3-RR | Download protocol |
| IHC protocol for IGF1R/CD221 antibody 84385-3-RR | Download protocol |
| WB protocol for IGF1R/CD221 antibody 84385-3-RR | Download protocol |
| Standard Protocols | |
|---|---|
| Click here to view our Standard Protocols |







