Klk1 Recombinant monoclonal antibody

Klk1 Uni-rAb® Recombinant Antibody for WB, IHC, IF-P, ELISA
Cat No. 86143-1-RR
Clone No.250034D2

Host / Isotype

Rabbit / IgG

Reactivity

mouse

Applications

WB, IHC, IF-P, ELISA

Kallikrein 1, EC:3.4.21.35, Glandular kallikrein K1, KAL-B, Kallikrein-1

Formulation:  PBS, Azide, Glycerol
PBS, Azide, Glycerol
PBS Only
Conjugate:  Unconjugated
Unconjugated
Size/Concentration: 

-/ -

Freight/Packing: -

Quantity

Please visit your regions distributor:


Tested Applications

Positive WB detected inmouse pancreas tissue
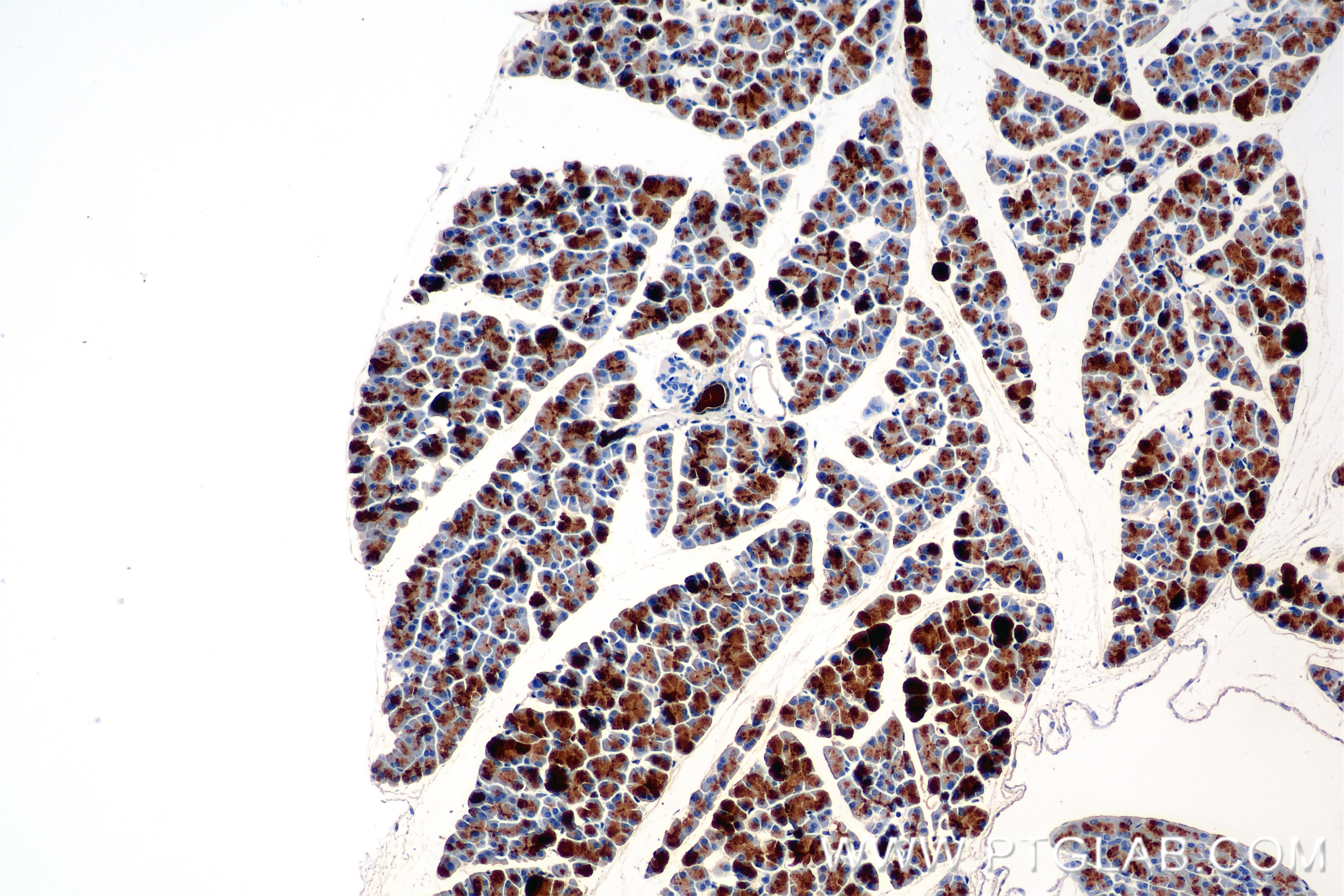
Positive IHC detected inmouse pancreas tissue
Note: suggested antigen retrieval with TE buffer pH 9.0; (*) Alternatively, antigen retrieval may be performed with citrate buffer pH 6.0
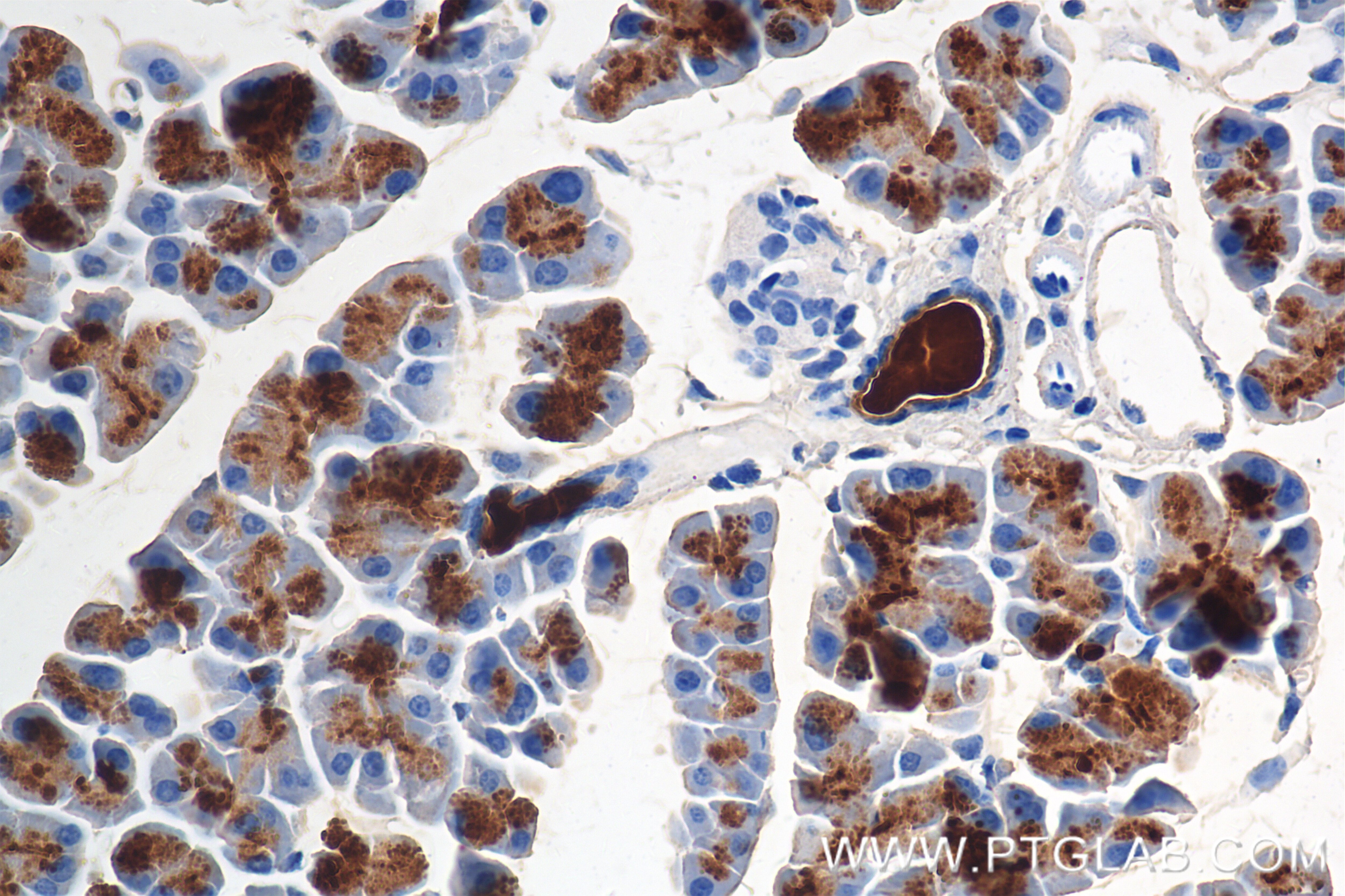
Positive IF-P detected inmouse pancreas tissue

Recommended dilution

ApplicationDilution
Western Blot (WB)WB : 1:2000-1:10000
Immunohistochemistry (IHC)IHC : 1:500-1:2000
Immunofluorescence (IF)-PIF-P : 1:50-1:500
It is recommended that this reagent should be titrated in each testing system to obtain optimal results.
Sample-dependent, Check data in validation data gallery.

Product Information

86143-1-RR targets Klk1 in WB, IHC, IF-P, ELISA applications and shows reactivity with mouse samples.

Tested Reactivity mouse
Host / Isotype Rabbit / IgG
Class Recombinant
Type Antibody
Immunogen

CatNo: Eg2996

Product name: recombinant mouse Klk1 protein

Source: mammalian cells-derived, V37

Tag: C-rFc

Domain: 19-261 aa of NM_001320331.1

Sequence: PPVQSRIVGGFNCEKNSQPWQVAVYRFTKYQCGGILLNANWVLTAAHCHNDKYQVWLGKNNFLEDEPSAQHRLVSKAIPHPDFNMSLLNEHTPQPEDDYSNDLMLLRLKKPADITDVVKPIDLPTEEPKLGSTCLASGWGSITPVKYEYPDELQCVNLKLLPNEDCAKAHIEKVTDDMLCAGDMDGGKDTCAGDSGGPLICDGVLQGITSWGPSPCGKPNVPGIYTRVLNFNTWIRETMAEND

Predict reactive species
Full Name kallikrein 1
Calculated Molecular Weight29 kDa
Observed Molecular Weight28-34 kDa
GenBank Accession NumberNM_001320331.1
Gene Symbol Klk1
Gene ID (NCBI) 16612
Conjugate Unconjugated
FormLiquid
Purification MethodProtein A purification
UNIPROT IDP15947
Storage Buffer PBS with 0.02% sodium azide and 50% glycerol, pH 7.3.
Storage ConditionsStore at -20°C. Stable for one year after shipment. Aliquoting is unnecessary for -20oC storage. 20ul sizes contain 0.1% BSA.

Background Information

Mouse KLK1 (Kallikrein-Related Peptidase 1) is a serine protease belonging to the kallikrein family with important physiological functions. KLK1 can cleave the Met-Lys and Arg-Ser bonds in kininogen to release Lys-bradykinin. Bradykinin plays an important role in regulating vasodilation, lowering blood pressure, smooth muscle relaxation and contraction, pain induction and inflammatory response.

Protocols

Product Specific Protocols
IF protocol for Klk1 antibody 86143-1-RRDownload protocol
IHC protocol for Klk1 antibody 86143-1-RRDownload protocol
WB protocol for Klk1 antibody 86143-1-RRDownload protocol
Standard Protocols
Click here to view our Standard Protocols
Loading...
||
New chat

Able

正在加载,请稍候...