Tested Applications
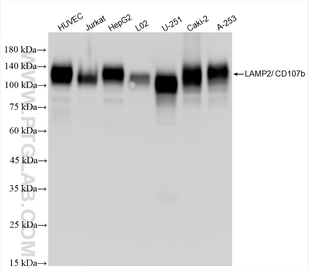
| Positive WB detected in | HUVEC cells, HeLa cells, Jurkat cells, HepG2 cells, L02 cells, U-251 cells, Caki-2 cells, A-253 cells |
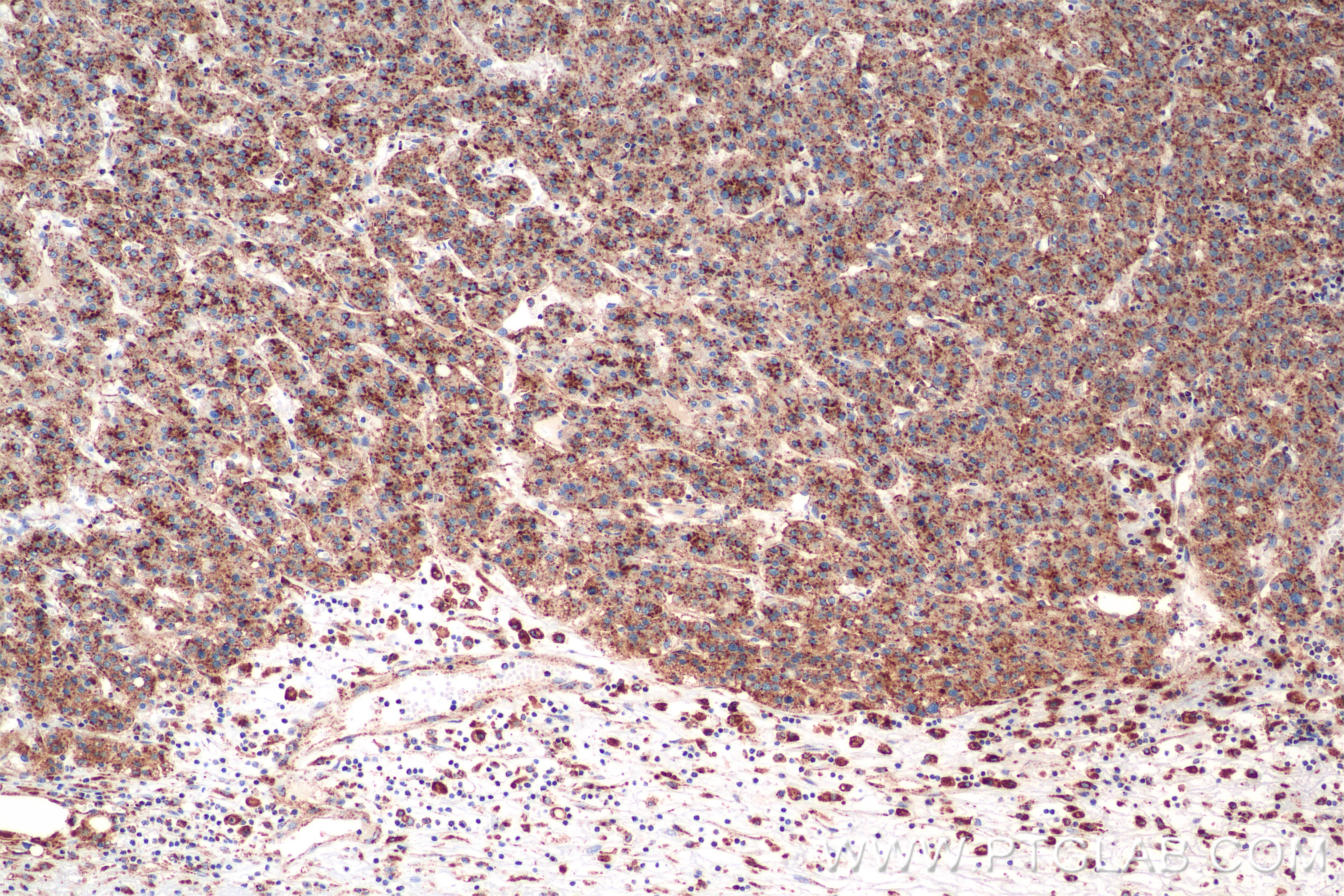
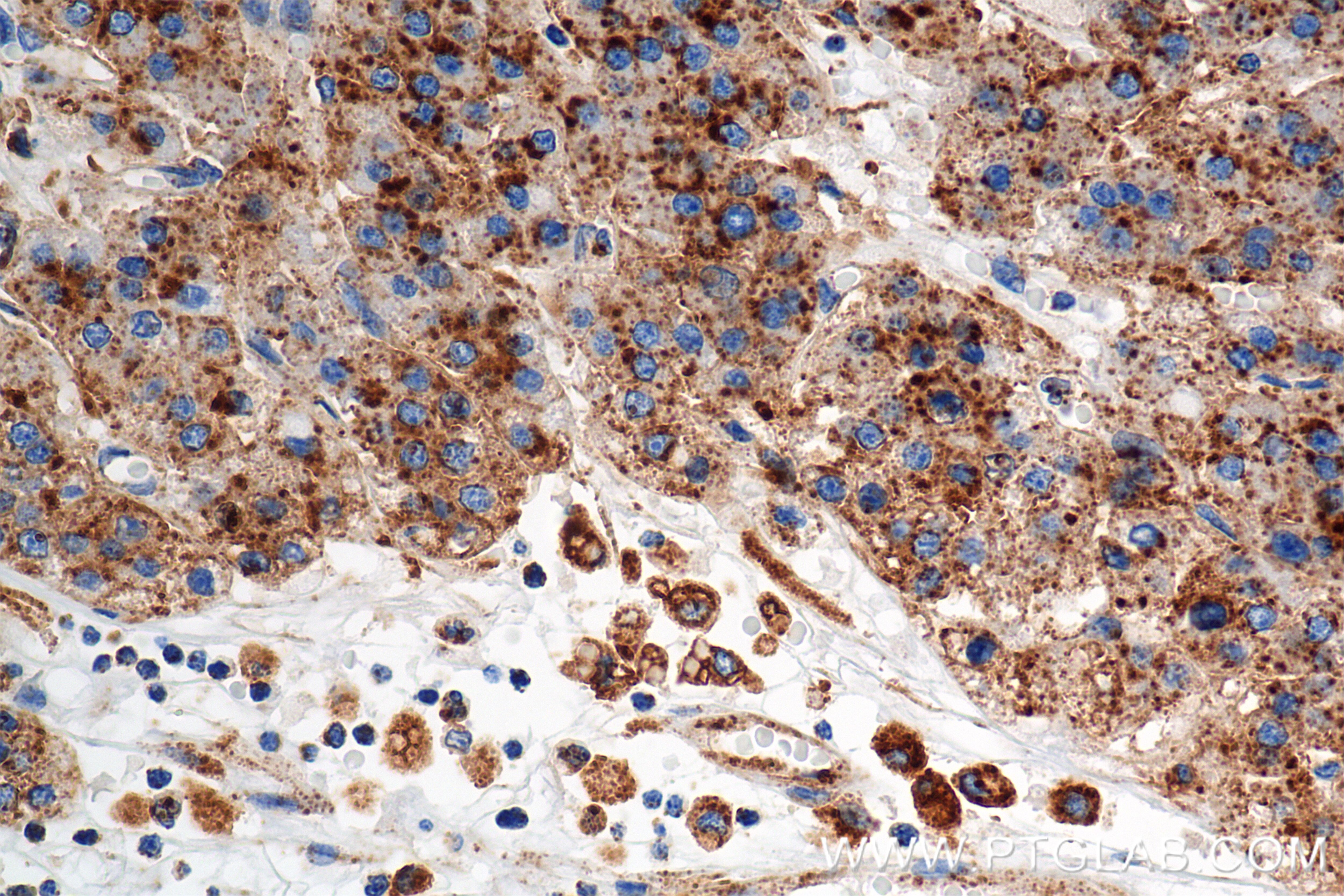
| Positive IHC detected in | human hepatocellular cancer Note: suggested antigen retrieval with TE buffer pH 9.0; (*) Alternatively, antigen retrieval may be performed with citrate buffer pH 6.0 |
| Positive IF/ICC detected in | U-251 cells |
Recommended dilution
| Application | Dilution |
|---|---|
| Western Blot (WB) | WB : 1:5000-1:50000 |
| Immunohistochemistry (IHC) | IHC : 1:500-1:2000 |
| Immunofluorescence (IF)/ICC | IF/ICC : 1:1000-1:4000 |
| It is recommended that this reagent should be titrated in each testing system to obtain optimal results. | |
| Sample-dependent, Check data in validation data gallery. | |
Product Information
86269-3-RR targets CD107b / LAMP2 in WB, IHC, IF/ICC, ELISA applications and shows reactivity with human samples.
| Tested Reactivity | human |
| Host / Isotype | Rabbit / IgG |
| Class | Recombinant |
| Type | Antibody |
| Immunogen |
CatNo: Eg4998 Product name: Recombinant Human LAMP2/ CD107b protein (rFc Tag) Source: mammalian cells-derived, pHZ-KIsec-C-rFc Tag: C-rFc Domain: 29-375 aa of NM_002294.3 Sequence: LELNLTDSENATCLYAKWQMNFTVRYETTNKTYKTVTISDHGTVTYNGSICGDDQNGPKIAVQFGPGFSWIANFTKAASTYSIDSVSFSYNTGDNTTFPDAEDKGILTVDELLAIRIPLNDLFRCNSLSTLEKNDVVQHYWDVLVQAFVQNGTVSTNEFLCDKDKTSTVAPTIHTTVPSPTTTPTPKEKPEAGTYSVNNGNDTCLLATMGLQLNITQDKVASVININPNTTHSTGSCRSHTALLRLNSSTIKYLDFVFAVKNENRFYLKEVNISMYLVNGSVFSIANNNLSYWDAPLGSSYMCNKEQTVSVSGAFQINTFDLRVQPFNVTQGKYSTAQDCSADDDNF Predict reactive species |
| Full Name | lysosomal-associated membrane protein 2 |
| Calculated Molecular Weight | 45 kDa |
| Observed Molecular Weight | 100-130 kDa |
| GenBank Accession Number | NM_002294.3 |
| Gene Symbol | LAMP2 |
| Gene ID (NCBI) | 3920 |
| ENSEMBL Gene ID | ENSG00000005893 |
| RRID | AB_3744768 |
| Conjugate | Unconjugated |
| Form | Liquid |
| Purification Method | Protein A purification |
| UNIPROT ID | P13473-1 |
| Storage Buffer | PBS with 0.02% sodium azide and 50% glycerol, pH 7.3. |
| Storage Conditions | Store at -20°C. Stable for one year after shipment. Aliquoting is unnecessary for -20oC storage. 20ul sizes contain 0.1% BSA. |
Background Information
LAMP2 (CD107b) is a Lysosomal membrane glycoprotein. LAMP2 is extensively glycosylated with asparagine-linked oligosaccharides which protect it from intracellular proteolysis (PMID: 10521503). Although LAMP-2 is localized primarily in the endosome-lysosomal membrane of cells, it is also found on the plasma membrane under certain circumstances, e.g., after platelet activation, during granulocytic differentiation and activation, and in some tumor cells (PMID: 12221139). LAMP is involved in lysosomal stability and autophagy (PMID: 12221139). This glycoprotein provides selectins with carbohydrate ligands. LAMP2 may plays a role in tumor cell metastasis (PMID 9426697).
Protocols
| Product Specific Protocols | |
|---|---|
| IF protocol for CD107b / LAMP2 antibody 86269-3-RR | Download protocol |
| IHC protocol for CD107b / LAMP2 antibody 86269-3-RR | Download protocol |
| WB protocol for CD107b / LAMP2 antibody 86269-3-RR | Download protocol |
| Standard Protocols | |
|---|---|
| Click here to view our Standard Protocols |











