Tested Applications
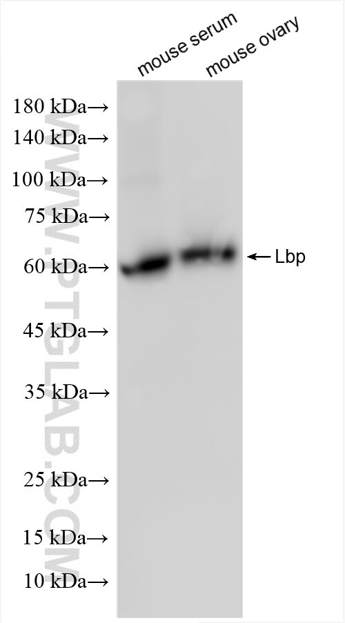
| Positive WB detected in | mouse serum, mouse ovary tissue |
Recommended dilution
| Application | Dilution |
|---|---|
| Western Blot (WB) | WB : 1:5000-1:50000 |
| It is recommended that this reagent should be titrated in each testing system to obtain optimal results. | |
| Sample-dependent, Check data in validation data gallery. | |
Product Information
86253-1-RR targets LBP in WB, ELISA applications and shows reactivity with mouse samples.
| Tested Reactivity | mouse |
| Host / Isotype | Rabbit / IgG |
| Class | Recombinant |
| Type | Antibody |
| Immunogen |
CatNo: Eg3163 Product name: Recombinant Mouse LBP protein (rFc Tag) Source: mammalian cells-derived, V37 Tag: C-rFc Domain: 25-481 aa of NM_008489.2 Sequence: GVNPGVVARITDKGLAYAAKEGLVALQRELYKITLPDFSGDFKIKAVGRGQYEFHSLEIQNCELRGSSLKLLPGQGLSLAISDSSIGVRGKWKVRKSFLKLHGSFDLDVKGVTISVDLLLGMDPSGRPTVSASGCSSRICDLDVHISGNVGWLLNLFHNQIESKLQKVLENKVCEMIQKSVTSDLQPYLQTLPVTAEIDNVLGIDYSLVAAPQAKAQVLDVMFKGEIFNRNHRSPVATPTPTMSLPEDSKQMVYFAISDYAFNIASRVYHQAGYLNFSITDDMLPHDSGIRLNTKAFRPFTPQIYKKYPDMKLELLGTVVSAPILNVSPGNLSLAPQMEIEGFVILPTSAREPVFRLGVVTNVFASLTFNNSKVTGMLHPDKAQVRLIESKVGMFNVNLFQAFLNYYLLNSLYPDVNAELAQGFPLPLPRHIQLHDLDFQIRKDFLYLGANVQYMRV Predict reactive species |
| Full Name | lipopolysaccharide binding protein |
| Calculated Molecular Weight | 53 kDa |
| Observed Molecular Weight | 60 kDa |
| GenBank Accession Number | NM_008489.2 |
| Gene Symbol | Lbp |
| Gene ID (NCBI) | 16803 |
| Conjugate | Unconjugated |
| Form | Liquid |
| Purification Method | Protein A purification |
| UNIPROT ID | Q61805 |
| Storage Buffer | PBS with 0.02% sodium azide and 50% glycerol, pH 7.3. |
| Storage Conditions | Store at -20°C. Stable for one year after shipment. Aliquoting is unnecessary for -20oC storage. 20ul sizes contain 0.1% BSA. |
Background Information
LBP (lipopolysaccharide-binding protein) is an acute-phase protein, predominantly synthesized by hepatocytes. LBP plays an essential role in the body's innate immune response, whereby it protects against infections by recognizing and binding bacterial lipopolysaccharides to activate immune cells.
Protocols
| Product Specific Protocols | |
|---|---|
| WB protocol for LBP antibody 86253-1-RR | Download protocol |
| Standard Protocols | |
|---|---|
| Click here to view our Standard Protocols |

