Tested Applications
| Positive WB detected in | A375 cells, HeLa cells, HEK-293 cells, mouse liver tissue, rat liver tissue, mouse kidney tissue, rat kidney tissue |
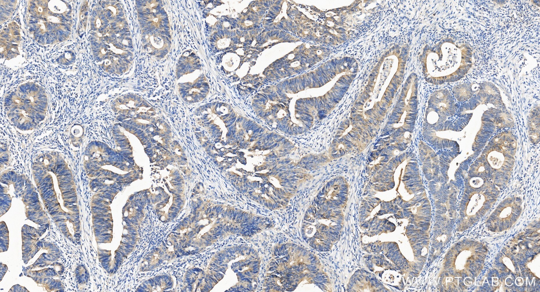
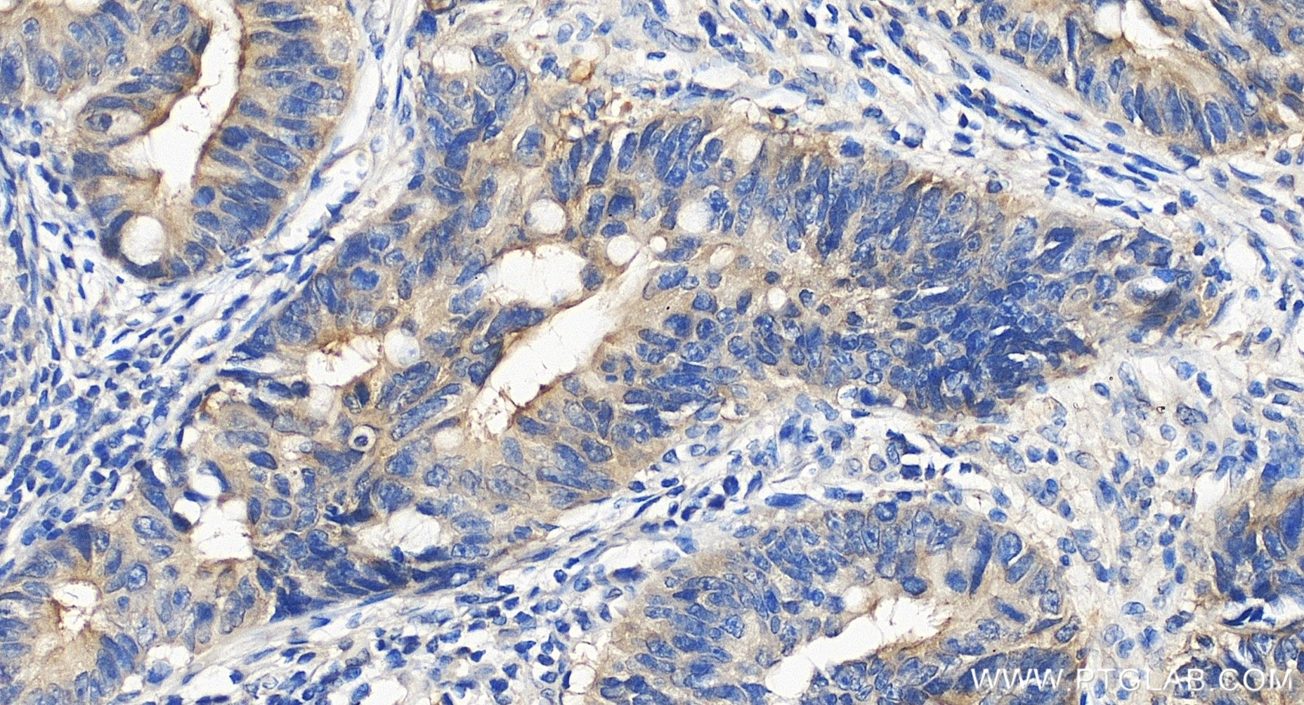
| Positive IHC detected in | human colon cancer tissue Note: suggested antigen retrieval with TE buffer pH 9.0; (*) Alternatively, antigen retrieval may be performed with citrate buffer pH 6.0 |
Recommended dilution
| Application | Dilution |
|---|---|
| Western Blot (WB) | WB : 1:5000-1:50000 |
| Immunohistochemistry (IHC) | IHC : 1:1000-1:4000 |
| It is recommended that this reagent should be titrated in each testing system to obtain optimal results. | |
| Sample-dependent, Check data in validation data gallery. | |
Product Information
86551-3-RR targets MMS2 in WB, IHC, ELISA applications and shows reactivity with human, mouse, rat samples.
| Tested Reactivity | human, mouse, rat |
| Host / Isotype | Rabbit / IgG |
| Class | Recombinant |
| Type | Antibody |
| Immunogen |
CatNo: Ag1111 Product name: Recombinant human UBE2V2 protein Source: e coli.-derived, PGEX-4T Tag: GST Domain: 1-145 aa of BC007051 Sequence: MAVSTGVKVPRNFRLLEELEEGQKGVGDGTVSWGLEDDEDMTLTRWTGMIIGPPRTNYENRIYSLKVECGPKYPEAPPSVRFVTKINMNGINNSSGMVDARSIPVLAKWQNSYSIKVVLQELRRLMMSKENMKLPQPPEGQTYNN Predict reactive species |
| Full Name | ubiquitin-conjugating enzyme E2 variant 2 |
| Calculated Molecular Weight | 16 kDa |
| Observed Molecular Weight | 16-18 kDa |
| GenBank Accession Number | BC007051 |
| Gene Symbol | MMS2 |
| Gene ID (NCBI) | 7336 |
| Conjugate | Unconjugated |
| Form | Liquid |
| Purification Method | Protein A purification |
| UNIPROT ID | Q15819 |
| Storage Buffer | PBS with 0.02% sodium azide and 50% glycerol, pH 7.3. |
| Storage Conditions | Store at -20°C. Stable for one year after shipment. Aliquoting is unnecessary for -20oC storage. 20ul sizes contain 0.1% BSA. |
Background Information
MMS2 encodes a 137-amino acid, 15.2-kDa protein with significant sequence homology to a conserved family of ubiquitin-conjugating (Ubc) proteins (PMID: 9576943). Mms2 is a ubiquitin E2-variant protein with a very well-documented function in the tolerance pathway that protects both human and yeast cells from the lethal and mutagenic effects of DNA damage (PMID: 36934633). A high expression level of human MMS2 is associated with poor survival prognosis in different cancer diseases (PMID: 36934633).
Protocols
| Product Specific Protocols | |
|---|---|
| IHC protocol for MMS2 antibody 86551-3-RR | Download protocol |
| WB protocol for MMS2 antibody 86551-3-RR | Download protocol |
| Standard Protocols | |
|---|---|
| Click here to view our Standard Protocols |





