PAX8 Recombinant monoclonal antibody

PAX8 Uni-rAb® Recombinant Antibody for IHC, ELISA
Cat No. 80022-1-RR
Clone No.5D20

Host / Isotype

Rabbit / IgG

Reactivity

Human

Applications

IHC, ELISA

paired box 8, Paired box protein Pax 8, PAX8

Formulation:  PBS, Azide, Glycerol
PBS, Azide, Glycerol
Conjugate:  Unconjugated
Size/Concentration: 

-/ -

Freight/Packing: -

Quantity

Please visit your regions distributor:


Tested Applications

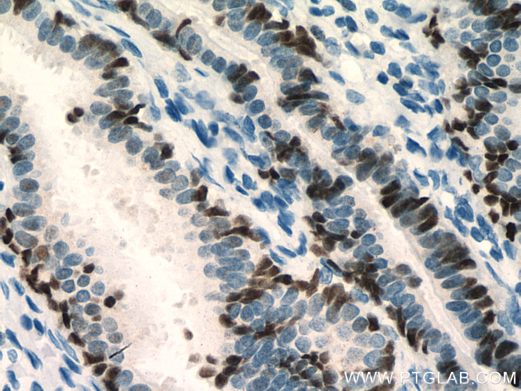
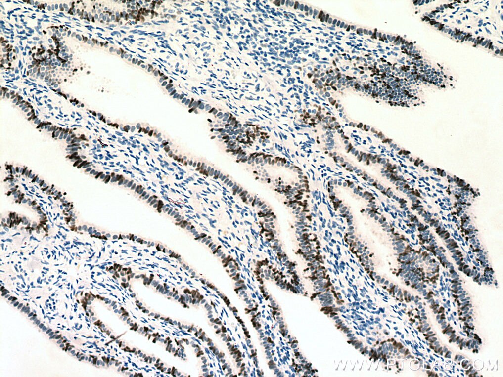
Positive IHC detected inhuman ovary tumor tissue
Note: suggested antigen retrieval with TE buffer pH 9.0; (*) Alternatively, antigen retrieval may be performed with citrate buffer pH 6.0

Recommended dilution

ApplicationDilution
Immunohistochemistry (IHC)IHC : 1:2500-1:10000
It is recommended that this reagent should be titrated in each testing system to obtain optimal results.
Sample-dependent, Check data in validation data gallery.

Product Information

80022-1-RR targets PAX8 in IHC, ELISA applications and shows reactivity with Human samples.

Tested Reactivity Human
Host / Isotype Rabbit / IgG
Class Recombinant
Type Antibody
Immunogen

CatNo: Ag16019

Product name: Recombinant human PAX8 protein

Source: e coli.-derived, PGEX-4T

Tag: GST

Domain: 135-212 aa of BC001060

Sequence: KVQQPFNLPMDSCVATKSLSPGHTLIPSSAVTPPESPQSDSLGSTYSINGLLGIAQPGSDKRKMDDSDQDSCRLSIDS

Predict reactive species
Full Name paired box 8
Calculated Molecular Weight 450 aa, 48 kDa
GenBank Accession NumberBC001060
Gene Symbol PAX8
Gene ID (NCBI) 7849
Conjugate Unconjugated
FormLiquid
Purification MethodProtein A purification
UNIPROT IDQ06710
Storage Buffer PBS with 0.02% sodium azide and 50% glycerol, pH 7.3.
Storage ConditionsStore at -20°C. Aliquoting is unnecessary for -20oC storage. 20ul sizes contain 0.1% BSA.

Background Information

PAX8 is a member of the paired box (PAX) family of transcription factors, typically containing a paired box domain and a paired-type homeodomain. It is expressed during organogenesis of the thyroid gland, kidney and Mullerian system. It is thought to regulate the expression of Wilms tumor suppressor (WT1) gene and mutations in PAX8 have been associated with Wilms tumor cells, thyroid and ovarian carcinomas. PAX8 is a useful marker in distinguishing ovarian carcinomas from mammary carcinomas (PMID: 18724243). PAX8 is expressed in a high percentage of ovarian serous, endometrioid, and clear cell carcinomas, but only rarely in primary ovarian mucinous adenocarcinomas.

Loading...
||
New chat Able
正在加载,请稍候...