Tested Applications
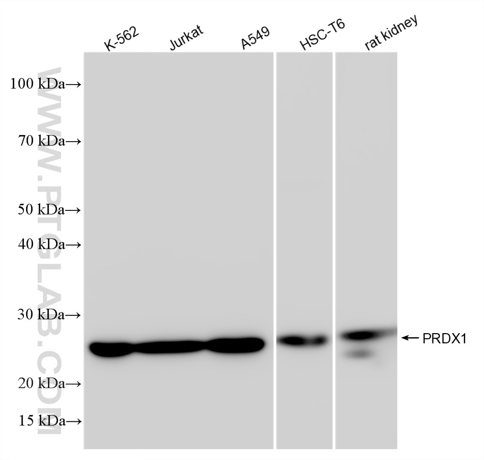
| Positive WB detected in | K-562 cells, Jurkat cells, A549 cells, HSC-T6 cells, rat kidney tissue |
Recommended dilution
| Application | Dilution |
|---|---|
| Western Blot (WB) | WB : 1:5000-1:50000 |
| It is recommended that this reagent should be titrated in each testing system to obtain optimal results. | |
| Sample-dependent, Check data in validation data gallery. | |
Product Information
86589-2-RR targets PRDX1 in WB, ELISA applications and shows reactivity with human, rat samples.
| Tested Reactivity | human, rat |
| Host / Isotype | Rabbit / IgG |
| Class | Recombinant |
| Type | Antibody |
| Immunogen |
CatNo: Ag8602 Product name: Recombinant human PRDX1 protein Source: e coli.-derived, PGEX-4T Tag: GST Domain: 1-199 aa of BC007063 Sequence: MSSGNAKIGHPAPNFKATAVMPDGQFKDISLSDYKGKYVVFFFYPLDFTFVCPTEIIAFSDRAEEFKKLNCQVIGASVDSHFCHLAWVNTPKKQGGLGPMNIPLVSDPKRTIAQDYGVLKADEGISFRGLFIIDDKGILRQITVNDLPVGRSVDETLRLVQAFQFTDKHGEVCPAGWKPGSDTIKPDVQKSKEYFSKQK Predict reactive species |
| Full Name | peroxiredoxin 1 |
| Calculated Molecular Weight | 199 aa, 22 kDa |
| Observed Molecular Weight | 23 kDa |
| GenBank Accession Number | BC007063 |
| Gene Symbol | PRDX1 |
| Gene ID (NCBI) | 5052 |
| Conjugate | Unconjugated |
| Form | Liquid |
| Purification Method | Protein A purification |
| UNIPROT ID | Q06830 |
| Storage Buffer | PBS with 0.02% sodium azide and 50% glycerol, pH 7.3. |
| Storage Conditions | Store at -20°C. Stable for one year after shipment. Aliquoting is unnecessary for -20oC storage. 20ul sizes contain 0.1% BSA. |
Background Information
PRDX1 (Peroxiredoxin-1), also named as PAGA, PAGB, TDPX2, PAG or NKEF-A, belongs to the ahpC/TSA family. PRDX1 is a thiol reductase that plays critical roles in oxidative and thermal stress defense mechanisms through its abilities to metabolize H2O2 and act as a molecular chaperone, respectively. PRDX1 might participate in the signaling cascades of growth factors and tumor necrosis factor-alpha by regulating the intracellular concentrations of H2O2 (PMID: 9497357). It reduces an intramolecular disulfide bond in GDPD5 that gates the ability to GDPD5 to drive postmitotic motor neuron differentiation. PRDX1 can form a dimer, and also can be phosphorylated on Thr-90 during the M-phase, which leads to a more than 80% decrease in enzymatic activity (PMID: 22583657, 11986303).

