Tested Applications
| Positive WB detected in | A549 cells, HEK-293 cells, HeLa cells, PC-3 cells, K-562 cells |
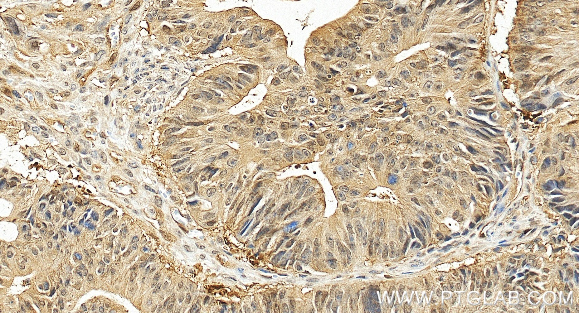
| Positive IHC detected in | human colon cancer tissue Note: suggested antigen retrieval with TE buffer pH 9.0; (*) Alternatively, antigen retrieval may be performed with citrate buffer pH 6.0 |
Recommended dilution
| Application | Dilution |
|---|---|
| Western Blot (WB) | WB : 1:2000-1:10000 |
| Immunohistochemistry (IHC) | IHC : 1:1000-1:4000 |
| It is recommended that this reagent should be titrated in each testing system to obtain optimal results. | |
| Sample-dependent, Check data in validation data gallery. | |
Product Information
86120-2-RR targets PSMD10/Gankyrin in WB, IHC, ELISA applications and shows reactivity with human samples.
| Tested Reactivity | human |
| Host / Isotype | Rabbit / IgG |
| Class | Recombinant |
| Type | Antibody |
| Immunogen |
CatNo: Ag2994 Product name: Recombinant human PSMD10 protein Source: e coli.-derived, PGEX-4T Tag: GST Domain: 4-226 aa of BC011960 Sequence: CVSNLMVCNLAYSGKLEELKESILADKSLATRTDQDSRTALHWACSAGHTEIVEFLLQLGVPVNDKDDAGWSPLHIAASAGRDEIVKALLGKGAQVNAVNQNGCTPLHYAASKNRHEIAVMLLEGGANPDAKDHYEATAMHRAAAKGNLKMIHILLYYKASTNIQDTEGNTPLHLACDEERVEEAKLLVSQGASIYIENKEEKTPLQVAKGGLGLILKRMVEG Predict reactive species |
| Full Name | proteasome (prosome, macropain) 26S subunit, non-ATPase, 10 |
| Calculated Molecular Weight | 226 aa, 24 kDa |
| Observed Molecular Weight | 24-28 kDa |
| GenBank Accession Number | BC011960 |
| Gene Symbol | PSMD10 |
| Gene ID (NCBI) | 5716 |
| Conjugate | Unconjugated |
| Form | Liquid |
| Purification Method | Protein A purification |
| UNIPROT ID | O75832 |
| Storage Buffer | PBS with 0.02% sodium azide and 50% glycerol, pH 7.3. |
| Storage Conditions | Store at -20°C. Stable for one year after shipment. Aliquoting is unnecessary for -20oC storage. 20ul sizes contain 0.1% BSA. |
Background Information
PSMD10, also known as Gankyrin, is a subunit of the 19S regulatory particle of the proteasome and plays a crucial role in protein degradation. It is a small, 25 kDa cytoplasmic-nuclear shuttling protein, highly conserved throughout evolution (~40% identity to yeast Nas6p). PSMD10 is involved in the regulation of cell cycle progression and apoptosis by interacting with key proteins such as p53 and Rb. PSMD10 has been identified as an oncoprotein, promoting tumor cell proliferation and survival in various cancers (PMID: 16581249, PMID: 31576540).
Protocols
| Product Specific Protocols | |
|---|---|
| IHC protocol for PSMD10/Gankyrin antibody 86120-2-RR | Download protocol |
| WB protocol for PSMD10/Gankyrin antibody 86120-2-RR | Download protocol |
| Standard Protocols | |
|---|---|
| Click here to view our Standard Protocols |







