Tested Applications
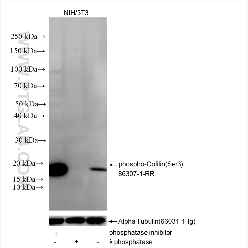
| Positive WB detected in | HeLa cells, NIH/3T3 cells, λ phosphatase treated HeLa cells, λ phosphatase treated NIH/3T3 cells |
| Positive IF/ICC detected in | λ phosphatase treated Hela cells |
| Positive FC (Intra) detected in | λ phosphatase treated HeLa cells |
Recommended dilution
| Application | Dilution |
|---|---|
| Western Blot (WB) | WB : 1:2000-1:10000 |
| Immunofluorescence (IF)/ICC | IF/ICC : 1:200-1:800 |
| Flow Cytometry (FC) (INTRA) | FC (INTRA) : 0.25 ug per 10^6 cells in a 100 µl suspension |
| It is recommended that this reagent should be titrated in each testing system to obtain optimal results. | |
| Sample-dependent, Check data in validation data gallery. | |
Product Information
86307-1-RR targets Phospho-Cofilin (Ser3) in WB, IF/ICC, FC (Intra), ELISA applications and shows reactivity with human, mouse samples.
| Tested Reactivity | human, mouse |
| Host / Isotype | Rabbit / IgG |
| Class | Recombinant |
| Type | Antibody |
| Immunogen |
Peptide Predict reactive species |
| Full Name | cofilin 1 (non-muscle) |
| Calculated Molecular Weight | 18 kDa |
| Observed Molecular Weight | 18 kDa |
| GenBank Accession Number | BC012318 |
| Gene Symbol | Cofilin |
| Gene ID (NCBI) | 1072 |
| Conjugate | Unconjugated |
| Form | Liquid |
| Purification Method | Protein A purification |
| UNIPROT ID | P23528 |
| Storage Buffer | PBS with 0.02% sodium azide and 50% glycerol, pH 7.3. |
| Storage Conditions | Store at -20°C. Stable for one year after shipment. Aliquoting is unnecessary for -20oC storage. 20ul sizes contain 0.1% BSA. |
Background Information
Cofilin is a ubiquitous actin-binding protein required for the reorganization of actin filaments. It is a member of the ADF (actin-depolymerizing factor)/cofilin family that is a key regulator of actin dynamics and essential for cellular motility, cytokinesis, and endocytosis. Cofilin activity is tightly regulated by phosphorylation and dephosphorylation. Phosphorylation at Ser3 can inhibit its activity, also causing translocation from the nucleus to the cytoplasm.
Protocols
| Product Specific Protocols | |
|---|---|
| FC protocol for Phospho-Cofilin (Ser3) antibody 86307-1-RR | Download protocol |
| IF protocol for Phospho-Cofilin (Ser3) antibody 86307-1-RR | Download protocol |
| WB protocol for Phospho-Cofilin (Ser3) antibody 86307-1-RR | Download protocol |
| Standard Protocols | |
|---|---|
| Click here to view our Standard Protocols |







