Tested Applications
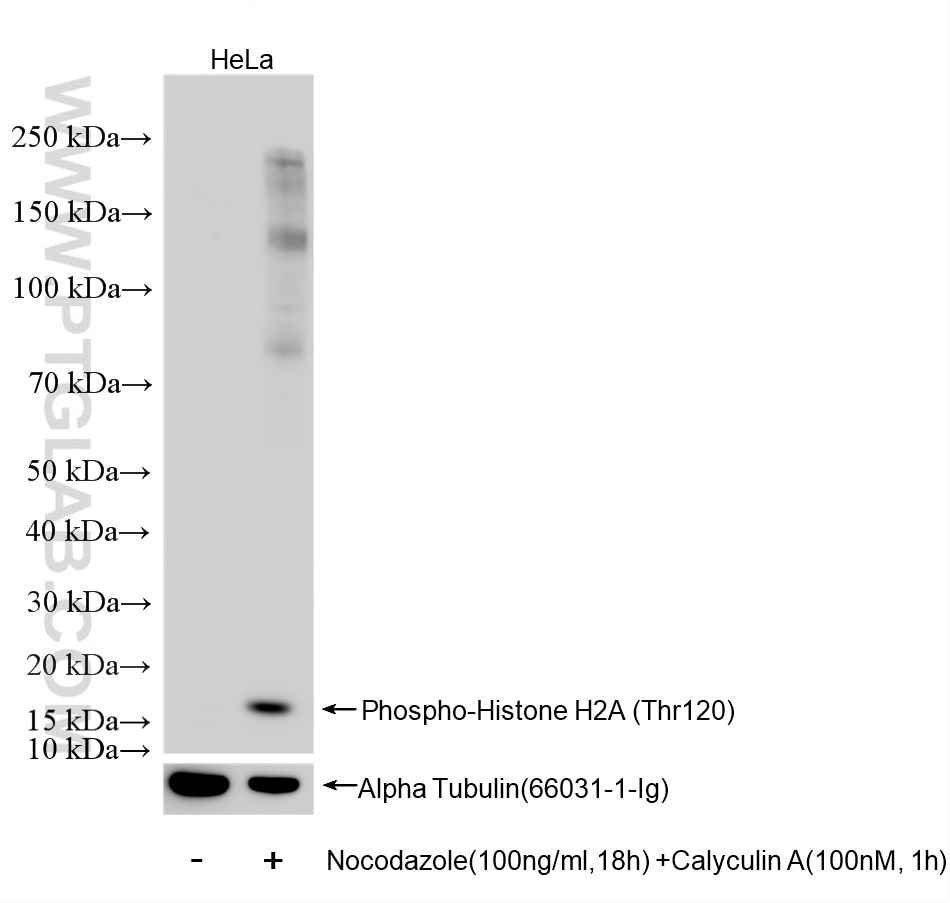
| Positive WB detected in | Nocodazole and Calyculin A treated HeLa cells |
| Positive ChIP-qPCR detected in | Nocodazole (100 ng/ml) for 16 h HeLa cells |
Recommended dilution
| Application | Dilution |
|---|---|
| Western Blot (WB) | WB : 1:2000-1:10000 |
| CHIP-QPCR | CHIP-QPCR : 1:10-1:100 |
| It is recommended that this reagent should be titrated in each testing system to obtain optimal results. | |
| Sample-dependent, Check data in validation data gallery. | |
Product Information
83041-8-RR targets Phospho-Histone H2A (Thr120) in WB, ELISA, ChIP-qPCR applications and shows reactivity with human samples.
| Tested Reactivity | human |
| Host / Isotype | Rabbit / IgG |
| Class | Recombinant |
| Type | Antibody |
| Immunogen |
Peptide Predict reactive species |
| Full Name | histone cluster 1, H2ae |
| Calculated Molecular Weight | 14 kDa |
| Observed Molecular Weight | 15 kDa |
| GenBank Accession Number | BC093836 |
| Gene Symbol | HIST1H2AE |
| Gene ID (NCBI) | 3012 |
| Conjugate | Unconjugated |
| Form | Liquid |
| Purification Method | Protein A purification |
| UNIPROT ID | P04908 |
| Storage Buffer | PBS with 0.02% sodium azide and 50% glycerol, pH 7.3. |
| Storage Conditions | Store at -20°C. Stable for one year after shipment. Aliquoting is unnecessary for -20oC storage. 20ul sizes contain 0.1% BSA. |
Background Information
Phospho-Histone H2A (Thr120) refers to the phosphorylation of threonine 120 on histone H2A, a modification that is increasingly recognized for its roles in chromatin organization, gene regulation, and disease development, particularly in oncogenesis and bone remodeling. The phosphorylation is predominantly associated with gene silencing. High levels of H2AT120p correlate with increased cell proliferation, tumor growth, and poor prognosis, underscoring its role as an oncogenic signal.
Protocols
| Product Specific Protocols | |
|---|---|
| WB protocol for Phospho-Histone H2A (Thr120) antibody 83041-8-RR | Download protocol |
| Standard Protocols | |
|---|---|
| Click here to view our Standard Protocols |



