Tested Applications
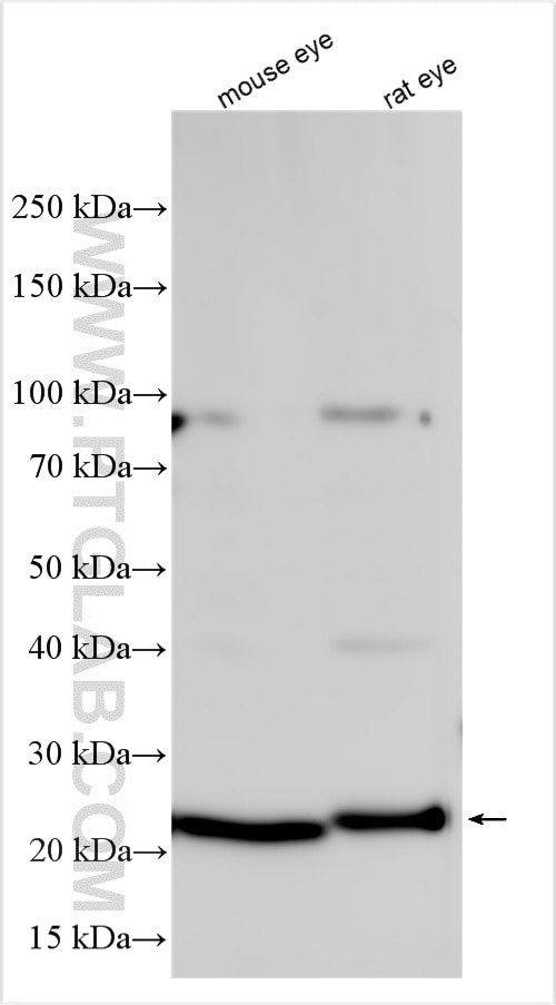
| Positive WB detected in | mouse eye tissue, rat retina tissue, Y79 cells, rat eye tissue |
| Positive IP detected in | mouse eye tissue |
| Positive IHC detected in | mouse eye tissue Note: suggested antigen retrieval with TE buffer pH 9.0; (*) Alternatively, antigen retrieval may be performed with citrate buffer pH 6.0 |
| Positive IF-P detected in | mouse eye tissue, mouse brain tissue |
Recommended dilution
| Application | Dilution |
|---|---|
| Western Blot (WB) | WB : 1:500-1:3000 |
| Immunoprecipitation (IP) | IP : 0.5-4.0 ug for 1.0-3.0 mg of total protein lysate |
| Immunohistochemistry (IHC) | IHC : 1:50-1:500 |
| Immunofluorescence (IF)-P | IF-P : 1:50-1:500 |
| It is recommended that this reagent should be titrated in each testing system to obtain optimal results. | |
| Sample-dependent, Check data in validation data gallery. | |
Published Applications
| WB | See 6 publications below |
| IHC | See 3 publications below |
| IF | See 12 publications below |
Product Information
10073-1-AP targets Recoverin in WB, IHC, IF-P, IP, ELISA applications and shows reactivity with human, mouse, rat samples.
| Tested Reactivity | human, mouse, rat |
| Cited Reactivity | human, mouse, rat, zebrafish |
| Host / Isotype | Rabbit / IgG |
| Class | Polyclonal |
| Type | Antibody |
| Immunogen |
CatNo: Ag0119 Product name: Recombinant human Recoverin protein Source: e coli.-derived, PGEX-4T Tag: GST Domain: 7-166 aa of BC001720 Sequence: GALSKEILEELQLNTKFSEEELCSWYQSFLKDCPTGRITQQQFQSIYAKFFPDTDPKAYAQHVFRSFDSNLDGTLDFKEYVIALHMTTAGKTNQKLEWAFSLYDVDGNGTISKNEVLEIVMAIFKMITPEDVKLLPDDENTPEKRAEKIWKYFGKNDDDK Predict reactive species |
| Full Name | recoverin |
| Calculated Molecular Weight | 24 kDa |
| Observed Molecular Weight | 23 kDa |
| GenBank Accession Number | BC001720 |
| Gene Symbol | Recoverin |
| Gene ID (NCBI) | 5957 |
| RRID | AB_2178005 |
| Conjugate | Unconjugated |
| Form | Liquid |
| Purification Method | Antigen affinity purification |
| UNIPROT ID | P35243 |
| Storage Buffer | PBS with 0.02% sodium azide and 50% glycerol, pH 7.3. |
| Storage Conditions | Store at -20°C. Stable for one year after shipment. Aliquoting is unnecessary for -20oC storage. 20ul sizes contain 0.1% BSA. |
Background Information
Recoverin, belonging to a family of the neuronal calcium sensor (NCS) proteins, has a restricted expression in retinal photoreceptors or neurons or neuroendocrine cells. It has been suggested to play a role in light and dark adaptation by regulating rhodopsin phosphorylation. Recently, it has been found that autoantibodies against recoverin (24 kDa) have been strongly associated with cancer -associated retinopathy (CAR) syndrome, a paraneoplastic disease of the retina. But functions of recoverin in cancer cells remain unknown.
Protocols
| Product Specific Protocols | |
|---|---|
| IF protocol for Recoverin antibody 10073-1-AP | Download protocol |
| IHC protocol for Recoverin antibody 10073-1-AP | Download protocol |
| IP protocol for Recoverin antibody 10073-1-AP | Download protocol |
| WB protocol for Recoverin antibody 10073-1-AP | Download protocol |
| Standard Protocols | |
|---|---|
| Click here to view our Standard Protocols |
Publications
| Species | Application | Title |
|---|---|---|
iScience Identification of early-onset photoreceptor degeneration in transgenic mouse models of Alzheimer's disease. | ||
iScience A Genetic modification that reduces ON-bipolar cells in hESC-derived retinas enhances functional integration after transplantation. | ||
iScience One-step induction of photoreceptor-like cells from human iPSCs by delivering transcription factors. | ||
Sci Rep Preconditioning the Initial State of Feeder-free Human Pluripotent Stem Cells Promotes Self-formation of Three-dimensional Retinal Tissue. | ||
Sci Rep Microglia dynamics in retinitis pigmentosa model: formation of fundus whitening and autofluorescence as an indicator of activity of retinal degeneration. |
Reviews
The reviews below have been submitted by verified Proteintech customers who received an incentive for providing their feedback.
FH Alessandro (Verified Customer) (07-27-2022) | No aspecific staining, great outcome
|













