Serpinc1 Recombinant monoclonal antibody

Serpinc1 Uni-rAb® Recombinant Antibody for WB, ELISA
Cat No. 86029-1-RR
Clone No.250597D2

Host / Isotype

Rabbit / IgG

Reactivity

mouse, rat

Applications

WB, ELISA

Antithrombin-III, At3, ATIII, Serpin C1

Formulation:  PBS, Azide, Glycerol
PBS, Azide, Glycerol
PBS Only
Conjugate:  Unconjugated
Unconjugated
Size/Concentration: 

-/ -

Freight/Packing: -

Quantity

Please visit your regions distributor:


Tested Applications

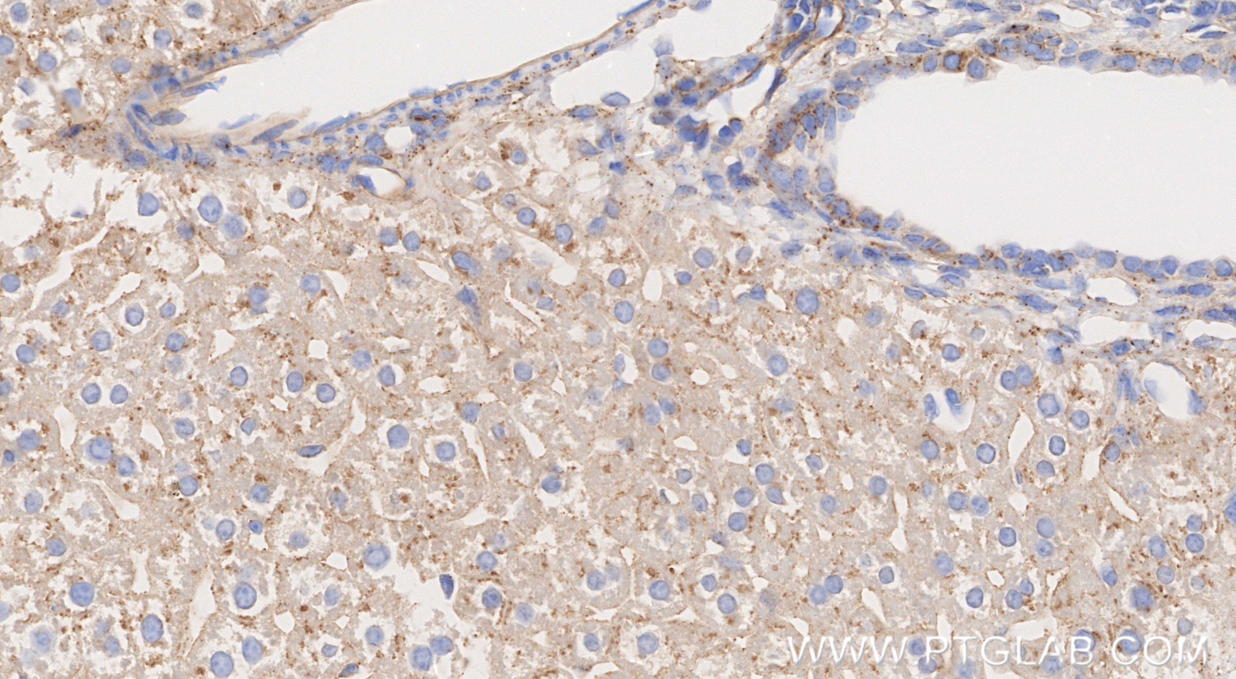
Positive WB detected inmouse serum, rat serum, mouse liver tissue

Recommended dilution

ApplicationDilution
Western Blot (WB)WB : 1:5000-1:50000
It is recommended that this reagent should be titrated in each testing system to obtain optimal results.
Sample-dependent, Check data in validation data gallery.

Product Information

86029-1-RR targets Serpinc1 in WB, ELISA applications and shows reactivity with mouse, rat samples.

Tested Reactivity mouse, rat
Host / Isotype Rabbit / IgG
Class Recombinant
Type Antibody
Immunogen

CatNo: Eg2949

Product name: recombinant mouse Serpinc1 protein

Source: mammalian cells-derived, V37

Tag: C-rFc

Domain: 33-465 aa of NM_080844.4

Sequence: HGNPVDDICIAKPRDIPVNPLCIYRSPGKKATEEDGSEQKVPEATNRRVWELSKANSRFATNFYQHLADSKNDNDNIFLSPLSISTAFAMTKLGACNDTLKQLMEVFKFDTISEKTSDQIHFFFAKLNCRLYRKANKSSDLVSANRLFGDKSLTFNESYQDVSEVVYGAKLQPLDFKENPEQSRVTINNWVANKTEGRIKDVIPQGAINELTALVLVNTIYFKGLWKSKFSPENTRKEPFYKVDGQSCPVPMMYQEGKFKYRRVAEGTQVLELPFKGDDITMVLILPKPEKSLAKVEQELTPELLQEWLDELSETMLVVHMPRFRTEDGFSLKEQLQDMGLIDLFSPEKSQLPGIVAGGRDDLYVSDAFHKAFLEVNEEGSEAAASTSVVITGRSLNPNRVTFKANRPFLVLIREVALNTIIFMGRVANPCVN

Predict reactive species
Full Name serine (or cysteine) peptidase inhibitor, clade C (antithrombin), member 1
Calculated Molecular Weight52 kDa
Observed Molecular Weight52 kDa
GenBank Accession NumberNM_080844.4
Gene Symbol Serpinc1
Gene ID (NCBI) 11905
Conjugate Unconjugated
FormLiquid
Purification MethodProtein A purification
UNIPROT IDP32261
Storage Buffer PBS with 0.02% sodium azide and 50% glycerol, pH 7.3.
Storage ConditionsStore at -20°C. Stable for one year after shipment. Aliquoting is unnecessary for -20oC storage. 20ul sizes contain 0.1% BSA.

Background Information

SERPINC1 is a gene encoding antithrombin, also known as antithrombin III. The main function of antithrombin is to inhibit coagulation proteases such as thrombin and factor Xa, thereby preventing excessive coagulation and maintaining normal hemostasis and blood flow. Mutations in the SERPINC1 gene can lead to antithrombin deficiency (ATD), which is an autosomal dominant genetic disorder. The expression profile/molecular weight observed is consistent with what has been described in the literature (PMID: 3609301, PMID: 25485983, PMID: 35935621).

Protocols

Product Specific Protocols
WB protocol for Serpinc1 antibody 86029-1-RRDownload protocol
Standard Protocols
Click here to view our Standard Protocols
Loading...
||
New chat Able
正在加载,请稍候...