TFAP2C/AP2 gamma Recombinant monoclonal antibody

TFAP2C/AP2 gamma Uni-rAb® Recombinant Antibody for WB, IF/ICC, ELISA
Cat No. 86365-1-RR
Clone No.250904E9

Host / Isotype

Rabbit / IgG

Reactivity

human

Applications

WB, IF/ICC, ELISA

TFAP2C, Activating enhancer-binding protein 2 gamma, ap 2gamma, AP2 GAMMA, AP2-gamma

Formulation:  PBS, Azide, Glycerol
PBS, Azide, Glycerol
PBS Only
Conjugate:  Unconjugated
Unconjugated
CoraLite® Plus 488
Size/Concentration: 

-/ -

Freight/Packing: -

Quantity

Please visit your regions distributor:


Tested Applications

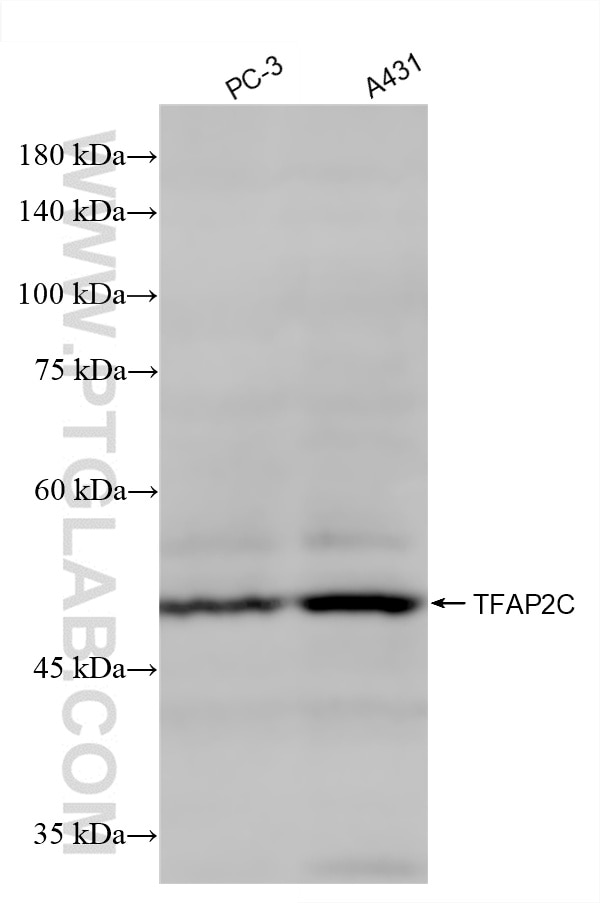
Positive WB detected inMCF-7 cells, PC-3 cells, SK-BR-3 cells, A431 cells
Positive IF/ICC detected inMCF-7 cells

Recommended dilution

ApplicationDilution
Western Blot (WB)WB : 1:5000-1:50000
Immunofluorescence (IF)/ICCIF/ICC : 1:400-1:1600
It is recommended that this reagent should be titrated in each testing system to obtain optimal results.
Sample-dependent, Check data in validation data gallery.

Product Information

86365-1-RR targets TFAP2C/AP2 gamma in WB, IF/ICC, ELISA applications and shows reactivity with human samples.

Tested Reactivity human
Host / Isotype Rabbit / IgG
Class Recombinant
Type Antibody
Immunogen

CatNo: Ag5648

Product name: Recombinant human TFAP2C protein

Source: e coli.-derived, PGEX-4T

Tag: GST

Domain: 1-450 aa of BC035664

Sequence: MLWKITDNVKYEEDCEDRHDGSSNGNPRVPHLSSAGQHLYSPAPPLSHTGVAEYQPPPYFPPPYQQLAYSQSADPYSHLGEAYAAAINPLHQPAPTGSQQQAWPGRQSQEGAGLPSHHGRPAGLLPHLSGLEAGAVSARRDAYRRSDLLLPHAHALDAAGLAENLGLHDMPHQMDEVQNVDDQHLLLHDQTVIRKGPISMTKNPLNLPCQKELVGAVMNPTEVFCSVPGRLSLLSSTSKYKVTVAEVQRRLSPPECLNASLLGGVLRRAKSKNGGRSLREKLDKIGLNLPAGRRKAAHVTLLTSLVEGEAVHLARDFAYVCEAEFPSKPVAEYLTRPHLGGRNEMAARKNMLLAAQQLCKEFTELLSQDRTPHGTSRLAPVLETNIQNCLSHFSLITHGFGSQAICAAVSALQNYIKEALIVIDKSYMNPGDQSPADSNKTLEKMEKHRK

Predict reactive species
Full Name transcription factor AP-2 gamma (activating enhancer binding protein 2 gamma)
Calculated Molecular Weight 49 kDa
Observed Molecular Weight48-50 kDa
GenBank Accession NumberBC035664
Gene Symbol TFAP2C
Gene ID (NCBI) 7022
Conjugate Unconjugated
FormLiquid
Purification MethodProtein A purification
UNIPROT IDQ92754
Storage Buffer PBS with 0.02% sodium azide and 50% glycerol, pH 7.3.
Storage ConditionsStore at -20°C. Stable for one year after shipment. Aliquoting is unnecessary for -20oC storage. 20ul sizes contain 0.1% BSA.

Background Information

TFAP2C (Transcription Factor AP-2 Gamma) is a member of the AP-2 transcription factor family, which plays a crucial role in early embryonic development, specifically in regulating the development of trophoblast cells and maintaining pluripotency. TFAP2C is known to regulate transcription by opening enhancers and is associated with a set of enhancers present in human embryos. It also functions as a regulator of both inner cell mass and trophectoderm differentiation, and controls the expression of cell-polarity genes. This protein binds to specific DNA sequences to activate or repress target genes, making it a key player in cellular processes and a potential therapeutic target in oncology research.

Protocols

Product Specific Protocols
IF protocol for TFAP2C/AP2 gamma antibody 86365-1-RRDownload protocol
WB protocol for TFAP2C/AP2 gamma antibody 86365-1-RRDownload protocol
Standard Protocols
Click here to view our Standard Protocols
Loading...
||
New chat

Able

正在加载,请稍候...