Tested Applications
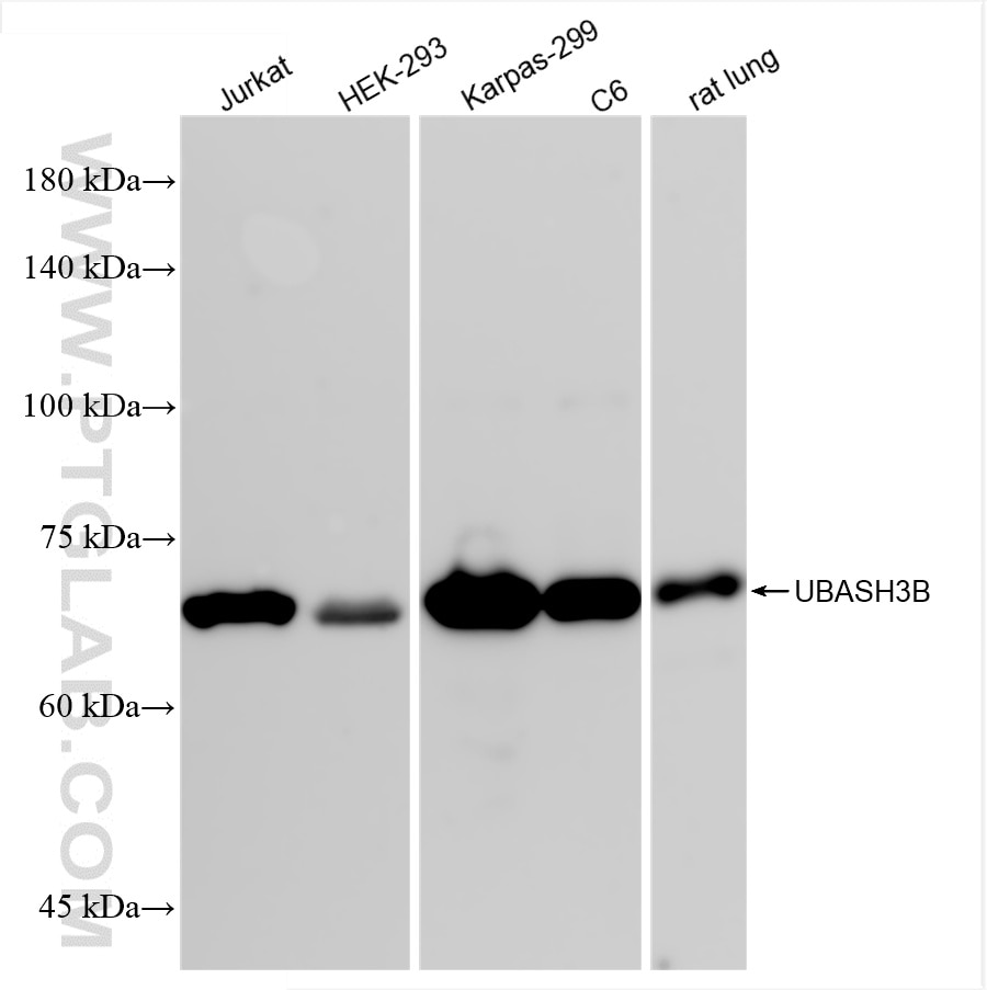
| Positive WB detected in | Jurkat cells, HEK-293 cells, Karpas-299 cells, C6 cells, rat lung tissue |
| Positive IF/ICC detected in | Jurkat cells |
Recommended dilution
| Application | Dilution |
|---|---|
| Western Blot (WB) | WB : 1:5000-1:50000 |
| Immunofluorescence (IF)/ICC | IF/ICC : 1:50-1:500 |
| It is recommended that this reagent should be titrated in each testing system to obtain optimal results. | |
| Sample-dependent, Check data in validation data gallery. | |
Product Information
85904-1-RR targets UBASH3B in WB, IF/ICC, ELISA applications and shows reactivity with human, rat samples.
| Tested Reactivity | human, rat |
| Host / Isotype | Rabbit / IgG |
| Class | Recombinant |
| Type | Antibody |
| Immunogen |
Peptide Predict reactive species |
| Full Name | ubiquitin associated and SH3 domain containing, B |
| Calculated Molecular Weight | 73 kDa |
| Observed Molecular Weight | 66-70 kDa |
| GenBank Accession Number | NM_032873 |
| Gene Symbol | UBASH3B |
| Gene ID (NCBI) | 84959 |
| Conjugate | Unconjugated |
| Form | Liquid |
| Purification Method | Protein A purification |
| UNIPROT ID | Q8TF42 |
| Storage Buffer | PBS with 0.02% sodium azide and 50% glycerol, pH 7.3. |
| Storage Conditions | Store at -20°C. Stable for one year after shipment. Aliquoting is unnecessary for -20oC storage. 20ul sizes contain 0.1% BSA. |
Background Information
UBASH3B, also named STS1 or TULA-2, is a protein that contains a ubiquitin-associated domain at the N-terminus, a SH3 domain, and a C-terminal domain with similarities to the catalytic motif of phosphoglycerate mutase. TULA-2 is supposed to form homodimer and interact with ubiquitin and mono-ubiquitinated proteins. TULA-2 functions to promote accumulation of activated target receptors, such as T-cell receptors and EGFR on the cell surface.
Protocols
| Product Specific Protocols | |
|---|---|
| IF protocol for UBASH3B antibody 85904-1-RR | Download protocol |
| WB protocol for UBASH3B antibody 85904-1-RR | Download protocol |
| Standard Protocols | |
|---|---|
| Click here to view our Standard Protocols |



