Tested Applications
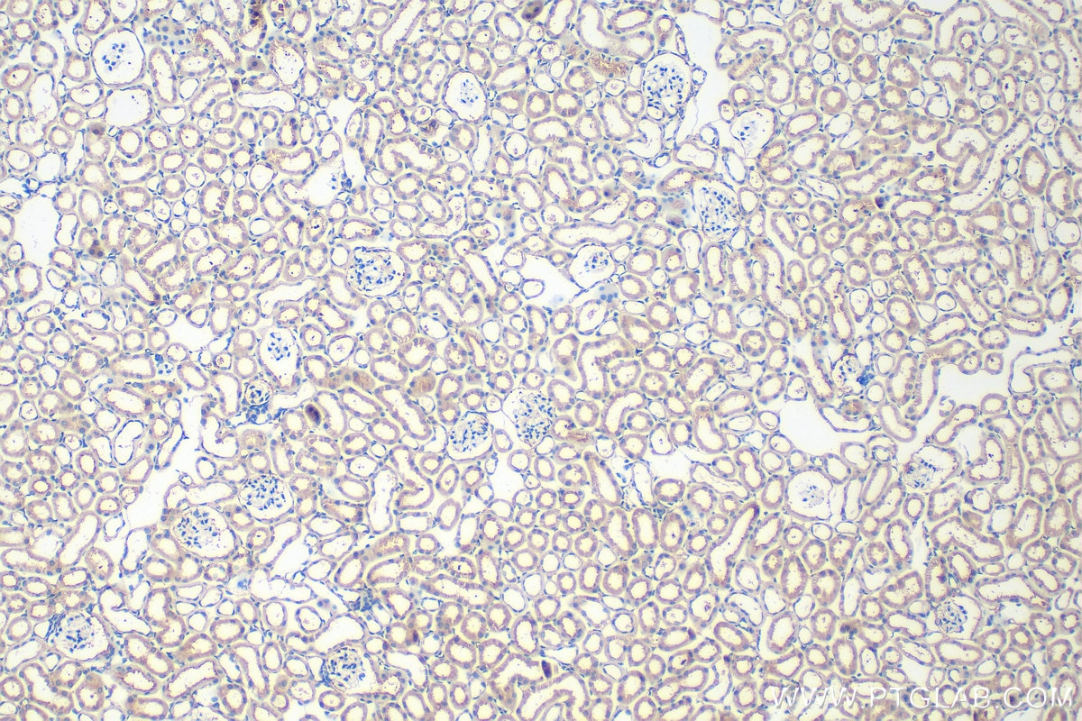
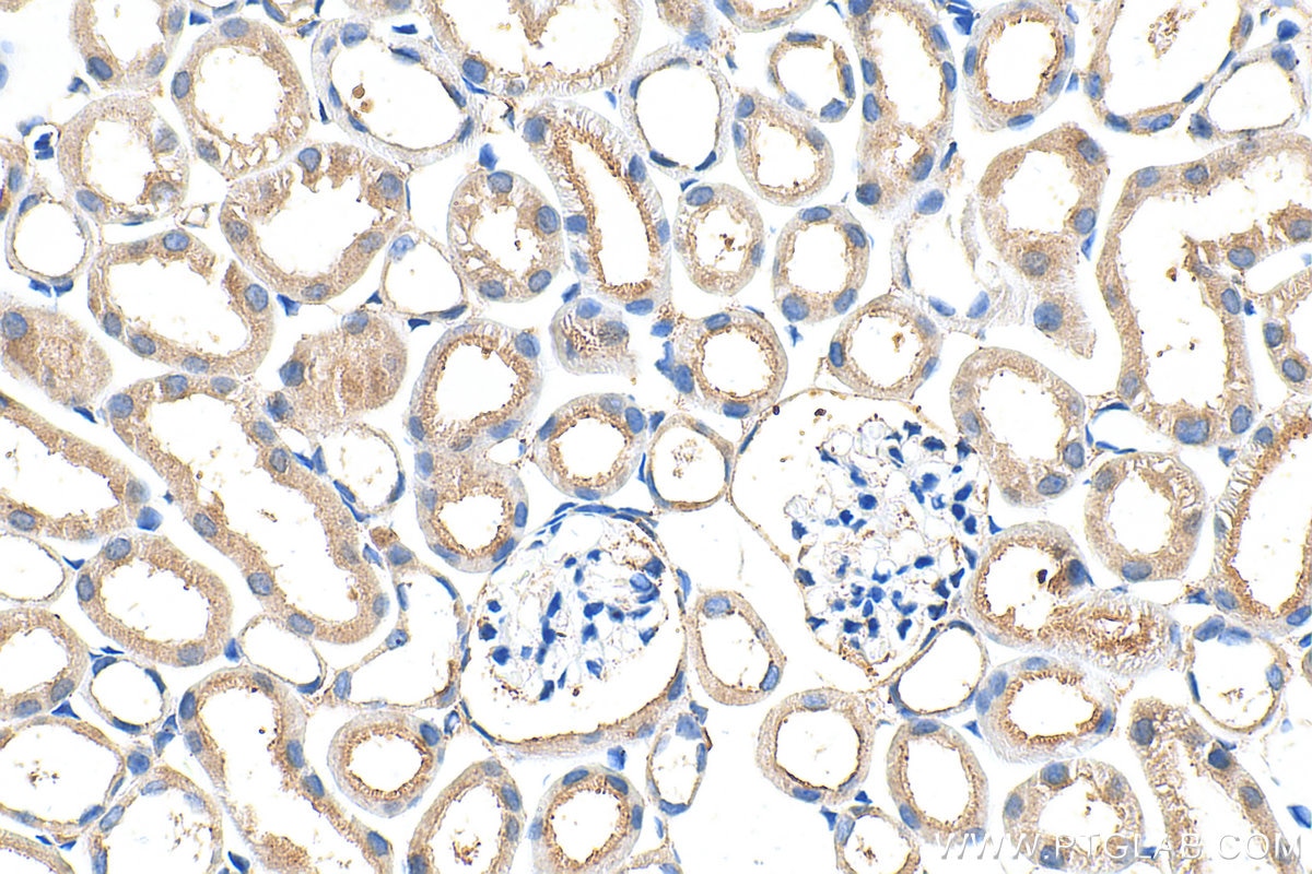
| Positive IHC detected in | mouse kidney tissue Note: suggested antigen retrieval with TE buffer pH 9.0; (*) Alternatively, antigen retrieval may be performed with citrate buffer pH 6.0 |
Recommended dilution
| Application | Dilution |
|---|---|
| Immunohistochemistry (IHC) | IHC : 1:200-1:800 |
| It is recommended that this reagent should be titrated in each testing system to obtain optimal results. | |
| Sample-dependent, Check data in validation data gallery. | |
Product Information
32890-1-AP targets ADAMTS19 in IHC, ELISA applications and shows reactivity with human, mouse samples.
| Tested Reactivity | human, mouse |
| Host / Isotype | Rabbit / IgG |
| Class | Polyclonal |
| Type | Antibody |
| Immunogen |
CatNo: Ag36946 Product name: Recombinant human ADAMTS19 protein Source: e coli.-derived, PGEX-4T Tag: GST Domain: 580-750 aa of NM_133638 Sequence: CQEMQHVICTGLWCKVEGEKECRTKLDPPMDGTDCDLGKWCKAGECTSRTSAPEHLAGEWSLWSPCSRTCSAGISSRERKCPGLDSEARDCNGPRKQYRICENPPCPAGLPGFRDWQCQAYSVRTSSPKHILQWQAVLDEEKPCALFCSPVGKEQPILLSEKVMDGTSCGY Predict reactive species |
| Full Name | ADAM metallopeptidase with thrombospondin type 1 motif, 19 |
| Calculated Molecular Weight | 134kDa |
| GenBank Accession Number | NM_133638 |
| Gene Symbol | ADAMTS19 |
| Gene ID (NCBI) | 171019 |
| RRID | AB_3742778 |
| Conjugate | Unconjugated |
| Form | Liquid |
| Purification Method | Antigen affinity Purification |
| UNIPROT ID | Q8TE59 |
| Storage Buffer | PBS with 0.02% sodium azide and 50% glycerol, pH 7.3. |
| Storage Conditions | Store at -20°C. Stable for one year after shipment. Aliquoting is unnecessary for -20oC storage. 20ul sizes contain 0.1% BSA. |
Background Information
ADAMTS19 encodes a member of the ADAMTS (a disintegrin and metalloproteinase domain with thrombospondin motifs) protein family with emerging roles in carcinogenesis and metastasis. ADAMTS shares several distinct protein modules including a propeptide region, a metalloproteinase domain, a disintegrin-like domain, and a thrombospondin type 1 (TS) motif. The promoter of ADAMTS19 is targeted by hypermethylation in a significant proportion of gastrointestinal cancers, particularly in BRAF-mutant cancers, and that this hypermethylation associates with transcriptional downregulation and reduces the in vitro migration capabilities of Colorectal cancer cells (PMID: 26634009).
Protocols
| Product Specific Protocols | |
|---|---|
| IHC protocol for ADAMTS19 antibody 32890-1-AP | Download protocol |
| Standard Protocols | |
|---|---|
| Click here to view our Standard Protocols |



