Tested Applications
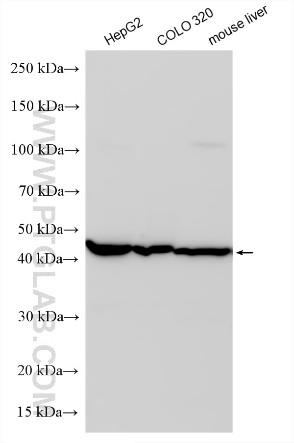
| Positive WB detected in | HepG2 cells, COLO 320 cells, HeLa cells, mouse liver tissue, Jurkat cells, rat liver tissue |
| Positive IHC detected in | human colon cancer tissue Note: suggested antigen retrieval with TE buffer pH 9.0; (*) Alternatively, antigen retrieval may be performed with citrate buffer pH 6.0 |
Recommended dilution
| Application | Dilution |
|---|---|
| Western Blot (WB) | WB : 1:2000-1:10000 |
| Immunohistochemistry (IHC) | IHC : 1:500-1:2000 |
| It is recommended that this reagent should be titrated in each testing system to obtain optimal results. | |
| Sample-dependent, Check data in validation data gallery. | |
Published Applications
| KD/KO | See 3 publications below |
| WB | See 22 publications below |
| IHC | See 4 publications below |
| IF | See 4 publications below |
| IP | See 1 publications below |
| RIP | See 1 publications below |
Product Information
10757-2-AP targets AHCY in WB, IHC, IF, IP, RIP, ELISA applications and shows reactivity with human, mouse, rat samples.
| Tested Reactivity | human, mouse, rat |
| Cited Reactivity | human, mouse, rat, pig, branchiostoma belcheri |
| Host / Isotype | Rabbit / IgG |
| Class | Polyclonal |
| Type | Antibody |
| Immunogen |
CatNo: Ag1208 Product name: Recombinant human AHCY protein Source: e coli.-derived, PGEX-4T Tag: GST Domain: 116-432 aa of BC011606 Sequence: QTLYFKDGPLNMILDDGGDLTNLIHTKYPQLLPGIRGISEETTTGVHNLYKMMANGILKVPAINVNDSVTKSKFDNLYGCRESLIDGIKRATDVMIAGKVAVVAGYGDVGKGCAQALRGFGARVIITEIDPINALQAAMEGYEVTTMDEACQEGNIFVTTTGCIDIILGRHFEQMKDDAIVCNIGHFDVEIDVKWLNENAVEKVNIKPQVDRYRLKNGRRIILLAEGRLVNLGCAMGHPSFVMSNSFTNQVMAQIELWTHPDKYPVGVHFLPKKLDEAVAEAHLGKLNVKLTKLTEKQAQYLGMSCDGPFKPDHYRY Predict reactive species |
| Full Name | S-adenosylhomocysteine hydrolase |
| Calculated Molecular Weight | 48 kDa |
| Observed Molecular Weight | 45-48 kDa |
| GenBank Accession Number | BC011606 |
| Gene Symbol | AHCY |
| Gene ID (NCBI) | 191 |
| RRID | AB_2289488 |
| Conjugate | Unconjugated |
| Form | Liquid |
| Purification Method | Antigen affinity purification |
| UNIPROT ID | P23526 |
| Storage Buffer | PBS with 0.02% sodium azide and 50% glycerol, pH 7.3. |
| Storage Conditions | Store at -20°C. Stable for one year after shipment. Aliquoting is unnecessary for -20oC storage. 20ul sizes contain 0.1% BSA. |
Background Information
AHCY, also named as SAHH, belongs to the adenosylhomocysteinase family. AHCY is a competitive inhibitor of S-adenosyl-L-methionine-dependent methyl transferase reactions; therefore AHCY may play a key role in the control of methylations via regulation of the intracellular concentration of adenosylhomocysteine. AHCY catalyzes the reversible hydrolysis of S-adenosylhomocysteine to adenosine and L-homocysteine.(PMID:21220475).
Protocols
| Product Specific Protocols | |
|---|---|
| IHC protocol for AHCY antibody 10757-2-AP | Download protocol |
| WB protocol for AHCY antibody 10757-2-AP | Download protocol |
| Standard Protocols | |
|---|---|
| Click here to view our Standard Protocols |
Publications
| Species | Application | Title |
|---|---|---|
Cell Stem Cell Disrupting Mitochondrial Copper Distribution Inhibits Leukemic Stem Cell Self-Renewal. | ||
Nat Commun H19 lncRNA alters DNA methylation genome wide by regulating S-adenosylhomocysteine hydrolase.
| ||
Autophagy AHCYL1 senses SAH to inhibit autophagy through interaction with PIK3C3 in an MTORC1-independent manner.
| ||
Clin Cancer Res Digital transcript profile analysis with aRNA-LongSAGE validates FERMT1 as a potential novel prognostic marker for colon cancer. | ||
Arterioscler Thromb Vasc Biol Increased plasma S-adenosylhomocysteine-accelerated atherosclerosis is associated with epigenetic regulation of endoplasmic reticulum stress in apoE-/- mice.
|
Reviews
The reviews below have been submitted by verified Proteintech customers who received an incentive for providing their feedback.
FH Kamal (Verified Customer) (01-26-2024) | Antibody worked well for western blot analysis when diluted with 1X TBST at the provided dilution.
|











