Tested Applications
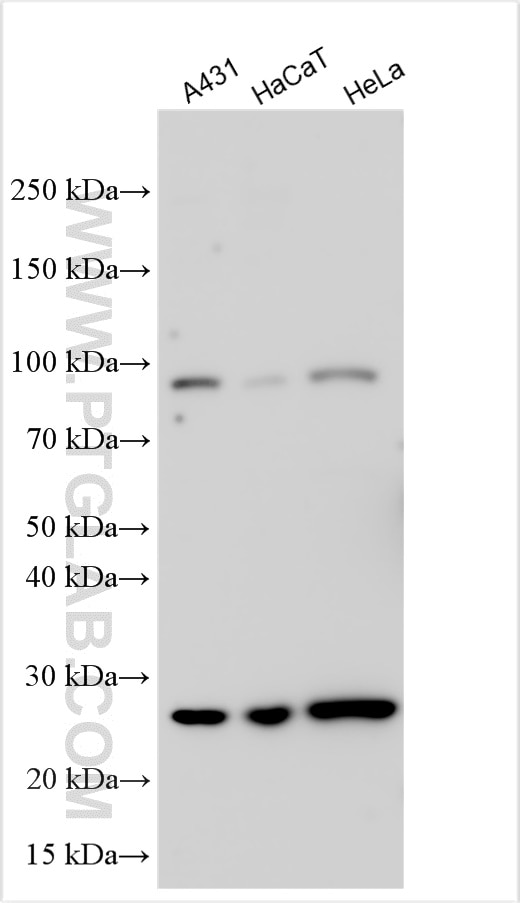
| Positive WB detected in | A431 cells, HaCaT cells, HeLa cells |
Recommended dilution
| Application | Dilution |
|---|---|
| Western Blot (WB) | WB : 1:1000-1:8000 |
| It is recommended that this reagent should be titrated in each testing system to obtain optimal results. | |
| Sample-dependent, Check data in validation data gallery. | |
Product Information
32937-1-AP targets ALS2CL in WB, ELISA applications and shows reactivity with human samples.
| Tested Reactivity | human |
| Host / Isotype | Rabbit / IgG |
| Class | Polyclonal |
| Type | Antibody |
| Immunogen |
CatNo: Ag36619 Product name: Recombinant human ALS2CL protein Source: e coli.-derived, PGEX-4T Tag: GST Domain: 780-953 aa of BC075825 Sequence: HEREDSFYSQGIANLSLFPDTQLLEFLDVQKHLWPLKDLTLTSNQRYSLVRDKCFLSATECLQKIMTTVDPREKLEVLERTYGEIEGTVSRVLGREYKLPMDDLLPLLIYVVSRARIQHLGAEIHLIRDMMDPNHTGGLYDFLLTALESCYEHIQKEDMRLHRLPGHWHSRELW Predict reactive species |
| Full Name | ALS2 C-terminal like |
| Observed Molecular Weight | 27kDa, 90-100kDa |
| GenBank Accession Number | BC075825 |
| Gene Symbol | ALS2CL |
| Gene ID (NCBI) | 259173 |
| RRID | AB_3742797 |
| Conjugate | Unconjugated |
| Form | Liquid |
| Purification Method | Antigen affinity Purification |
| UNIPROT ID | Q60I27 |
| Storage Buffer | PBS with 0.02% sodium azide and 50% glycerol, pH 7.3. |
| Storage Conditions | Store at -20°C. Stable for one year after shipment. Aliquoting is unnecessary for -20oC storage. 20ul sizes contain 0.1% BSA. |
Protocols
| Product Specific Protocols | |
|---|---|
| WB protocol for ALS2CL antibody 32937-1-AP | Download protocol |
| Standard Protocols | |
|---|---|
| Click here to view our Standard Protocols |

