Tested Applications
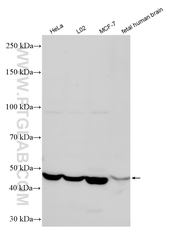
| Positive WB detected in | HeLa cells, human brain tissue, L02 cells, MCF-7 cells, mouse kidney tissue, mouse ovary tissue, fetal human brain tissue |
| Positive IF/ICC detected in | MCF-7 cells |
Recommended dilution
| Application | Dilution |
|---|---|
| Western Blot (WB) | WB : 1:1000-1:4000 |
| Immunofluorescence (IF)/ICC | IF/ICC : 1:50-1:500 |
| It is recommended that this reagent should be titrated in each testing system to obtain optimal results. | |
| Sample-dependent, Check data in validation data gallery. | |
Product Information
21278-1-AP targets AMIGO3 in WB, IF/ICC, ELISA applications and shows reactivity with human, mouse, rat samples.
| Tested Reactivity | human, mouse, rat |
| Host / Isotype | Rabbit / IgG |
| Class | Polyclonal |
| Type | Antibody |
| Immunogen |
CatNo: Ag15790 Product name: Recombinant human AMIGO3 protein Source: e coli.-derived, PGEX-4T Tag: GST Domain: 221-504 aa of BC110418 Sequence: LPCDCRLYHLLQRWHQRGLSAVRDFAREYVCLAFKVPASRVRFFQHSRVFENCSSAPALGLERPEEHLYALVGRSLRLYCNTSVPAMRIAWVSPQQELLRAPGSRDGSIAVLADGSLAIGNVQEQHAGLFVCLATGPRLHHNQTHEYNVSVHFPRPEPEAFNTGFTTLLGCAVGLVLVLLYLFAPPCRCCRRACRCRRWPQTPSPLQELSAQSSVLSTTPPDAPSRKASVHKHVVFLEPGRRGLNGRVQLAVAEEFDLYNPGGLQLKAGSESASSIGSEGPMTT Predict reactive species |
| Full Name | adhesion molecule with Ig-like domain 3 |
| Calculated Molecular Weight | 504 aa, 55 kDa |
| Observed Molecular Weight | 45-50 kDa |
| GenBank Accession Number | BC110418 |
| Gene Symbol | AMIGO3 |
| Gene ID (NCBI) | 386724 |
| RRID | AB_10733101 |
| Conjugate | Unconjugated |
| Form | Liquid |
| Purification Method | Antigen affinity purification |
| UNIPROT ID | Q86WK7 |
| Storage Buffer | PBS with 0.02% sodium azide and 50% glycerol, pH 7.3. |
| Storage Conditions | Store at -20°C. Stable for one year after shipment. Aliquoting is unnecessary for -20oC storage. 20ul sizes contain 0.1% BSA. |
Protocols
| Product Specific Protocols | |
|---|---|
| IF protocol for AMIGO3 antibody 21278-1-AP | Download protocol |
| WB protocol for AMIGO3 antibody 21278-1-AP | Download protocol |
| Standard Protocols | |
|---|---|
| Click here to view our Standard Protocols |















