Tested Applications
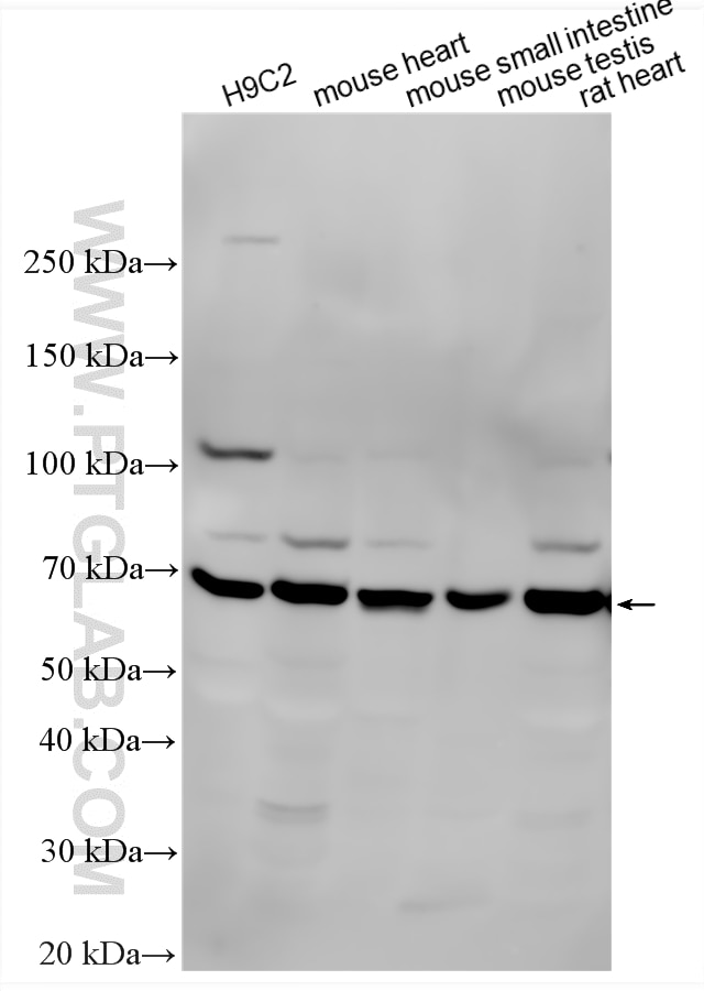
| Positive WB detected in | H9C2 cells, 3T3-L1 cells, mouse spleen tissue, mouse heart tissue, mouse small intestine, mouse testis tissue, rat heart tissue |
| Positive IP detected in | mouse testis tissue |
| Positive IHC detected in | human colon cancer tissue, human heart tissue, human spleen tissue Note: suggested antigen retrieval with TE buffer pH 9.0; (*) Alternatively, antigen retrieval may be performed with citrate buffer pH 6.0 |
Recommended dilution
| Application | Dilution |
|---|---|
| Western Blot (WB) | WB : 1:1000-1:4000 |
| Immunoprecipitation (IP) | IP : 0.5-4.0 ug for 1.0-3.0 mg of total protein lysate |
| Immunohistochemistry (IHC) | IHC : 1:50-1:500 |
| It is recommended that this reagent should be titrated in each testing system to obtain optimal results. | |
| Sample-dependent, Check data in validation data gallery. | |
Published Applications
| KD/KO | See 4 publications below |
| WB | See 12 publications below |
| IHC | See 10 publications below |
| IF | See 3 publications below |
Product Information
12316-1-AP targets ANGPTL2 in WB, IHC, IF, IP, ELISA applications and shows reactivity with human, mouse, rat samples.
| Tested Reactivity | human, mouse, rat |
| Cited Reactivity | human, mouse, rat |
| Host / Isotype | Rabbit / IgG |
| Class | Polyclonal |
| Type | Antibody |
| Immunogen |
CatNo: Ag2969 Product name: Recombinant human ANGPTL2 protein Source: e coli.-derived, PGEX-4T Tag: GST Domain: 193-493 aa of BC012368 Sequence: QSEIIAQLEEHCQRVPSARPVPQPPPAAPPRVYQPPTYNRIINQISTNEIQSDQNLKVLPPPLPTMPTLTSLPSSTDKPSGPWRDCLQALEDGHDTSSIYLVKPENTNRLMQVWCDQRHDPGGWTVIQRRLDGSVNFFRNWETYKQGFGNIDGEYWLGLENIYWLTNQGNYKLLVTMEDWSGRKVFAEYASFRLEPESEYYKLRLGRYHGNAGDSFTWHNGKQFTTLDRDHDVYTGNCAHYQKGGWWYNACAHSNLNGVWYRGGHYRSRYQDGVYWAEFRGGSYSLKKVVMMIRPNPNTFH Predict reactive species |
| Full Name | angiopoietin-like 2 |
| Calculated Molecular Weight | 493 aa, 57 kDa |
| Observed Molecular Weight | 57-64 kDa |
| GenBank Accession Number | BC012368 |
| Gene Symbol | ANGPTL2 |
| Gene ID (NCBI) | 23452 |
| RRID | AB_2226307 |
| Conjugate | Unconjugated |
| Form | Liquid |
| Purification Method | Antigen affinity purification |
| UNIPROT ID | Q9UKU9 |
| Storage Buffer | PBS with 0.02% sodium azide and 50% glycerol, pH 7.3. |
| Storage Conditions | Store at -20°C. Stable for one year after shipment. Aliquoting is unnecessary for -20oC storage. 20ul sizes contain 0.1% BSA. |
Background Information
ANGPTL2 (angiopoietin-like 2), a member of the Angptl protein family, is predominantly secreted from adipose tissue and the heart. ANGPTL2 consists of an N-terminus with a conserved coiled-coil domain, two glycosylation sites and a C-terminus with a conserved fibrinogen-like domain. It is a key adipocyte-derived inflammatory mediator that links obesity to systemic INS resistance. ANGPTL2 may play an important role in the pathogenesis of diabetic glomerulopathy.
Protocols
| Product Specific Protocols | |
|---|---|
| IHC protocol for ANGPTL2 antibody 12316-1-AP | Download protocol |
| IP protocol for ANGPTL2 antibody 12316-1-AP | Download protocol |
| WB protocol for ANGPTL2 antibody 12316-1-AP | Download protocol |
| Standard Protocols | |
|---|---|
| Click here to view our Standard Protocols |
Publications
| Species | Application | Title |
|---|---|---|
ACS Nano Oxidation of Reduced Graphene Oxide via Cellular Redox Signaling Modulates Actin-Mediated Neurotransmission. | ||
J Nanobiotechnology Delivery of an ERK inhibitor using bioactive lipid nanoparticles reduces angiogenesis and prevents oral squamous cell carcinoma development | ||
World J Gastroenterol Leukocyte immunoglobulin-like receptor B2 overexpression as a promising therapeutic target and noninvasive screening biomarker for colorectal cancer | ||
Biomolecules Identification of a Fibroblast-Related Prognostic Model in Glioma Based on Bioinformatics Methods | ||
Sci Rep PET-CT and RNA sequencing reveal novel targets for acupuncture-induced lowering of blood pressure in spontaneously hypertensive rats. | ||
J Periodontol Angiopoietin-like protein 2 deficiency promotes periodontal inflammation and alveolar bone loss. |



















