Tested Applications
| Positive WB detected in | mouse brain tissue |
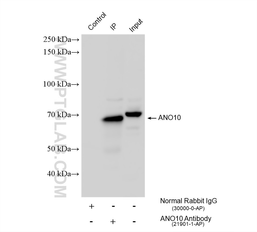
| Positive IP detected in | mouse brain tissue |
| Positive IHC detected in | human testis tissue Note: suggested antigen retrieval with TE buffer pH 9.0; (*) Alternatively, antigen retrieval may be performed with citrate buffer pH 6.0 |
Recommended dilution
| Application | Dilution |
|---|---|
| Western Blot (WB) | WB : 1:1000-1:4000 |
| Immunoprecipitation (IP) | IP : 0.5-4.0 ug for 1.0-3.0 mg of total protein lysate |
| Immunohistochemistry (IHC) | IHC : 1:50-1:500 |
| It is recommended that this reagent should be titrated in each testing system to obtain optimal results. | |
| Sample-dependent, Check data in validation data gallery. | |
Published Applications
| IHC | See 1 publications below |
Product Information
21901-1-AP targets ANO10 in WB, IHC, IP, ELISA applications and shows reactivity with human, mouse samples.
| Tested Reactivity | human, mouse |
| Cited Reactivity | human |
| Host / Isotype | Rabbit / IgG |
| Class | Polyclonal |
| Type | Antibody |
| Immunogen |
CatNo: Ag13983 Product name: Recombinant human ANO10 protein Source: e coli.-derived, PET28a Tag: 6*His Domain: 1-119 aa of BC038855 Sequence: MLLGAEAVGLVKECNDNTMRAFTYRTRQNFKGFDDNNDDFLTMAECQFIIKHELENLRAKDEKMIPGYPQAKLYPGKSLLRRLLTSGIVIQVFPLHDSEALKKLEDTWYTRFALKYQPI Predict reactive species |
| Full Name | anoctamin 10 |
| Calculated Molecular Weight | 660 aa, 76 kDa |
| Observed Molecular Weight | 68 kDa |
| GenBank Accession Number | BC038855 |
| Gene Symbol | ANO10 |
| Gene ID (NCBI) | 55129 |
| RRID | AB_2878940 |
| Conjugate | Unconjugated |
| Form | Liquid |
| Purification Method | Antigen affinity purification |
| UNIPROT ID | Q9NW15 |
| Storage Buffer | PBS with 0.02% sodium azide and 50% glycerol, pH 7.3. |
| Storage Conditions | Store at -20°C. Stable for one year after shipment. Aliquoting is unnecessary for -20oC storage. 20ul sizes contain 0.1% BSA. |
Background Information
ANO10, also named as TMEM16K, is 660 amino acid protein, which belongs to the anoctamin family. ANO10 does not exhibit calcium-activated chloride channel activity and can inhibit the activity of ANO1. ANO10 is Highly expressed in the brain. ANO10 may have an association with Spinocerebellar ataxia, autosomal recessive, 10.
Protocols
| Product Specific Protocols | |
|---|---|
| IHC protocol for ANO10 antibody 21901-1-AP | Download protocol |
| IP protocol for ANO10 antibody 21901-1-AP | Download protocol |
| WB protocol for ANO10 antibody 21901-1-AP | Download protocol |
| Standard Protocols | |
|---|---|
| Click here to view our Standard Protocols |







